The Art of Braces
Home Transformations

Before & After Results

Patient Transformations

Behind every smile, an artist. Behind every result, a masterpiece.

Before Metal Self-Ligating Braces & Orthognathic Surgery: The Surgical Comeback case study at AOB Orthodontics in Las Vegas. Clinical diagnosis: showing a severe skeletal imbalance that braces alone could not correct. Before
After Metal Self-Ligating Braces & Orthognathic Surgery: The Surgical Comeback smile results by Las Vegas Orthodontist Dr. Saoly Benson. Treatment approach: this transformation was designed with intention. After
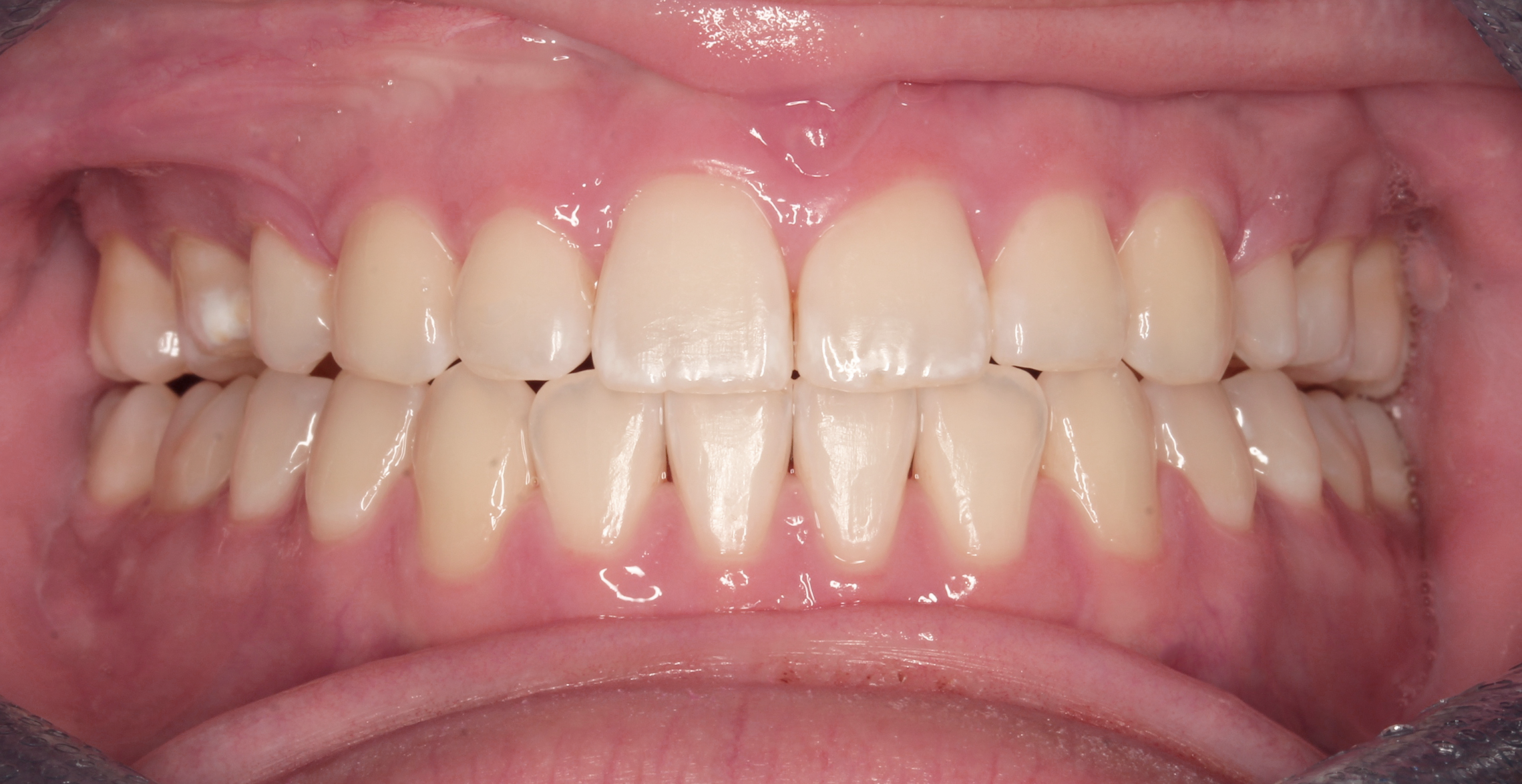
Before teeth alignment comparison: Intraoral before photo of Metal Self-Ligating Braces & Orthognathic Surgery showing the intraoral records reveal the magnitude of this correction. Before
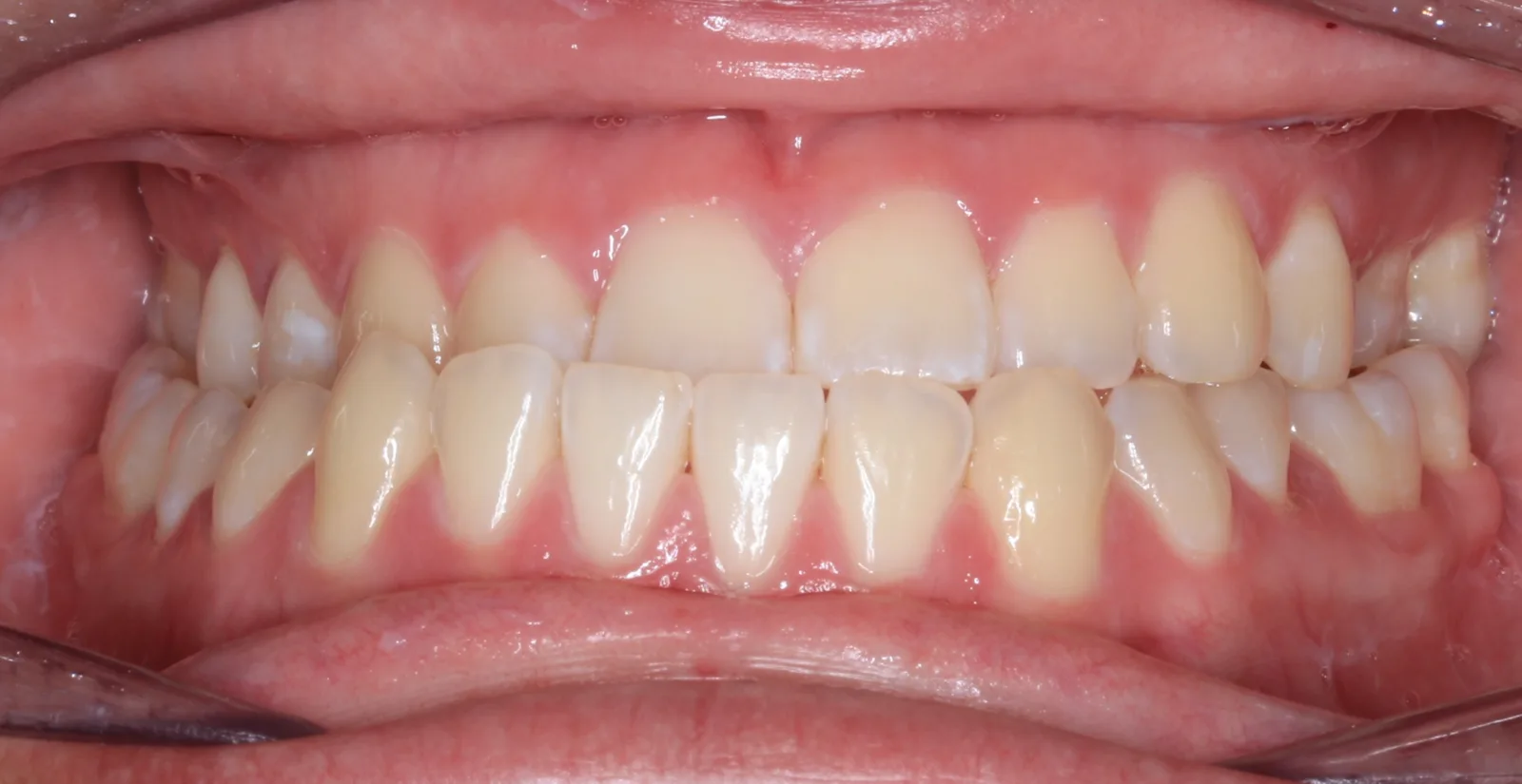
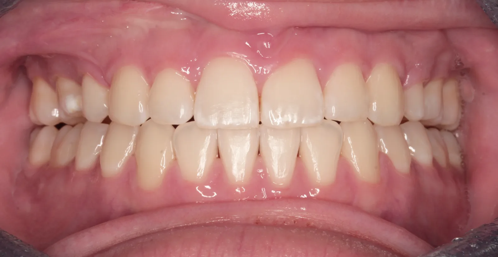
After teeth alignment comparison: Intraoral after photo of Metal Self-Ligating Braces & Orthognathic Surgery showing this transformation was designed with intention. After
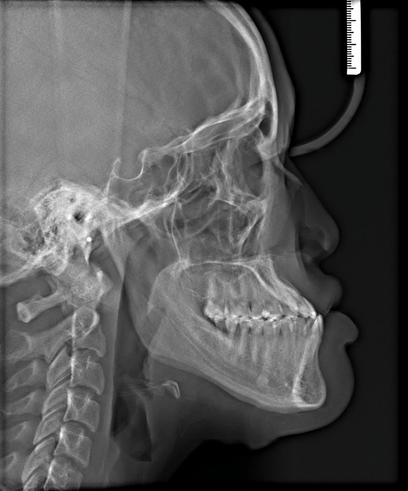
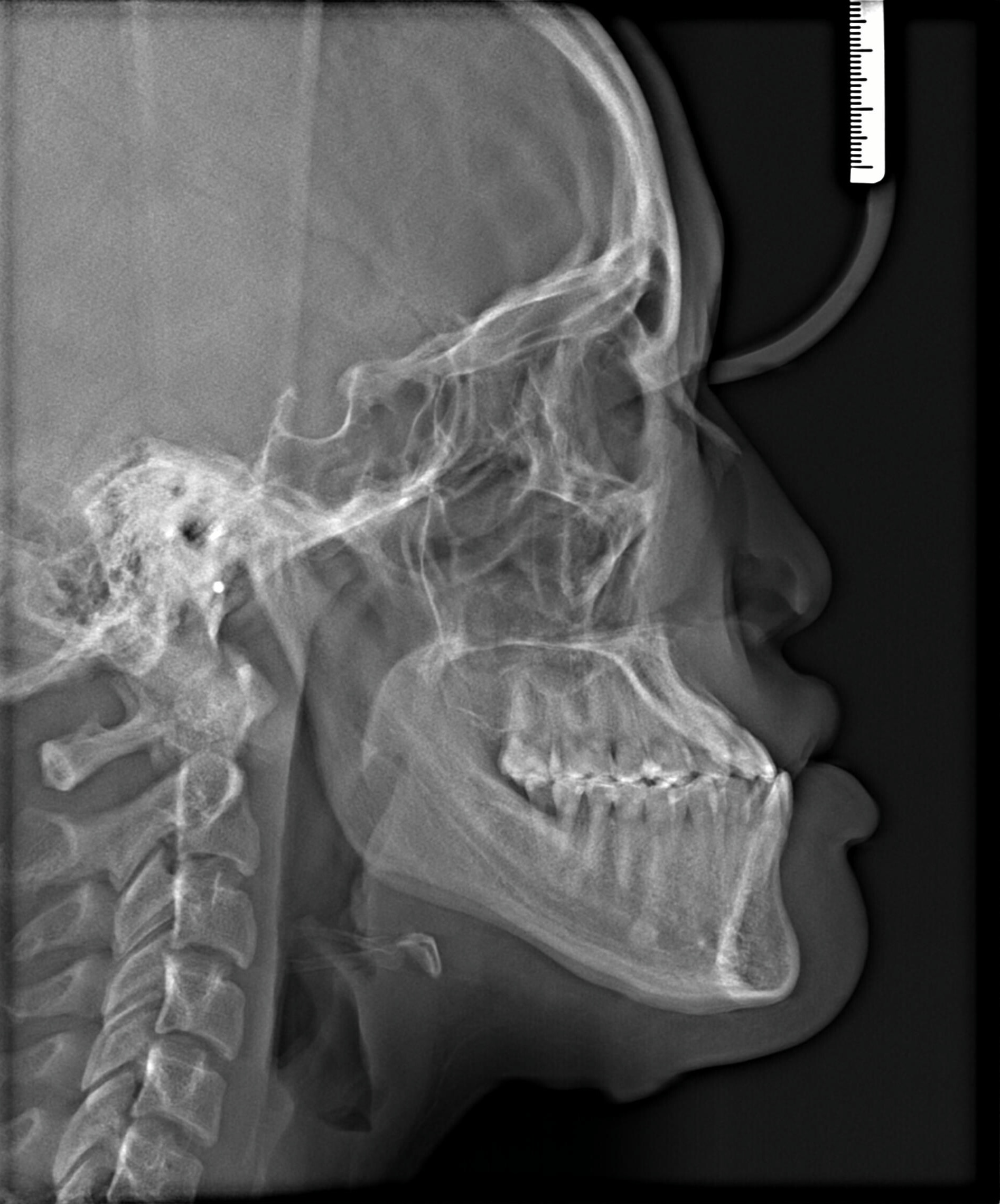
Before orthodontic x-ray: Cephalometric profile before Metal Self-Ligating Braces & Orthognathic Surgery showing skeletal relationship. Before
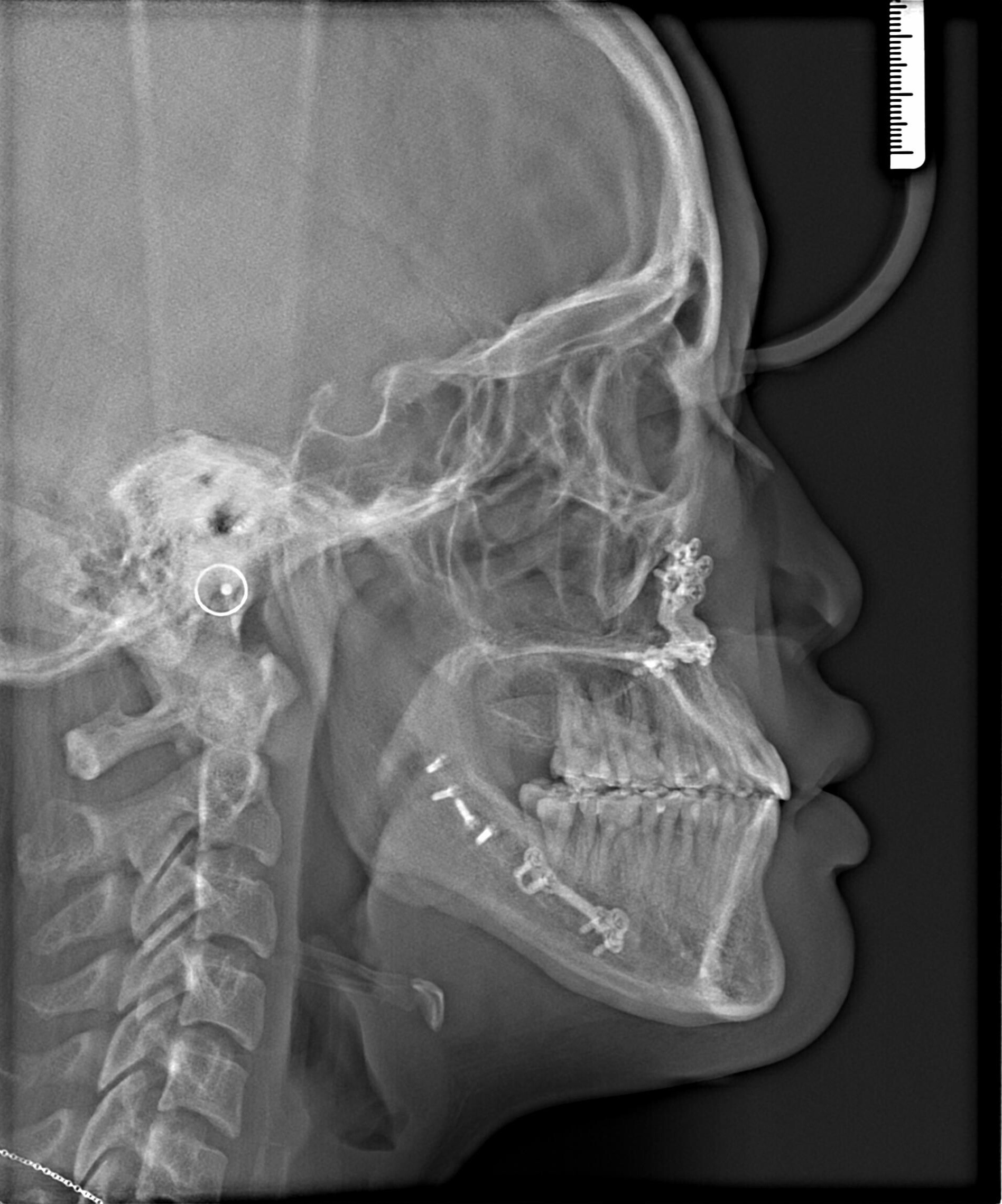
After orthodontic x-ray: Cephalometric profile after Metal Self-Ligating Braces & Orthognathic Surgery showing skeletal correction by Dr. Saoly Benson. After
SURGICAL ORTHODONTICS 27 Months Self-Ligating Brackets Orthognathic Surgery

The Surgical Comeback

This case began with a severe skeletal imbalance that braces alone could not correct. The patient presented with a significant Class III bite, asymmetric mandibular prognathism, anterior crossbite, and midline deviation. Because the jaw relationship was the root of the problem, a combined orthodontic and surgical approach was required to achieve the best stable, long-term result.

This transformation was designed with intention. Dr. Benson used braces to sculpt alignment and prepare the bite, then collaborated with an oral surgeon to reposition the mandible through orthognathic surgery. The result: a stable bite, restored facial balance, and symmetry achieved.

More Transformations

Every smile tells a story. These are the ones that define ours.

Invisalign & Clear Aligner Before & After Results

Before Removable Clear Aligners treatment Before
After Removable Clear Aligners treatment After
CLEAR ALIGNERS 18 Months

Clear Path Forward

Diagnosis: This case began with upper spacing, lower crowding, a deep overbite, and excess overjet. The goal was to align both arches, close spacing, relieve crowding, and bring the bite into a healthier, more stable relationship — all while keeping treatment discreet and flexible for the patient's lifestyle.

Approach: This case highlights how digital precision made all the difference. Every movement was mapped digitally before the first aligner was ever made — like a blueprint for the finished smile. Each aligner in the sequence was designed to move specific teeth by fractions of a millimeter - a choreographed process steadily improving alignment while correcting the bite. The final result is clean, balanced, and natural — proof that clear aligners can be the quietest way to create something remarkable.

Read the full story
Before Removable Clear Aligners treatment Before
After Removable Clear Aligners treatment After
CLEAR ALIGNERS 15 Months

A Smile That Started a New Life

Diagnosis: The patient sought a discreet, minimally invasive treatment option and was treated with removable clear aligners. She presented with crowding, a deep overbite, multiple teeth with prior dental work and uneven discoloration, and worn incisal edges. The approach focused on predictable tooth movement, preservation of natural tooth structure, and a refined finish that would look natural with a mature face. The aligner plan corrected alignment, reduced the overbite, and restored a stable occlusion while prioritizing long-term function.

Approach: The artistry was less about "perfect teeth" and more about designing a smile that fit her life and identity. Every movement was planned to support the lip frame, preserve facial balance, and create a wide, natural smile arc that reads as effortless and age-appropriate. Technically, that vision was realized through precise aligner mechanics and a careful finishing sequence: light enamel recontouring to smooth uneven edges, conservative in-office bleaching and shade management to harmonize restorations and discoloration, and meticulous attention to the smile arc and lip support. That subtle design became transformational — she went from never sharing photos to becoming bright, social, and visible, competing in bodybuilding contests and embarking on a transformational journey. Her new smile was the catalyst: not just an aesthetic change, but a renewed confidence that reshaped how she lived, worked, and shared herself with the world.

Read the full story

InBrace & Hidden Lingual Braces Transformations

Before InSmile (formerly InBrace) treatment Before
After InSmile (formerly InBrace) treatment After
INVISIBLE TREATMENT 18 Months

Hidden in Plain Sight

Diagnosis: This case began with mild crowding in the upper teeth, moderate crowding and rotations in the lower teeth, and a slight overbite. The front teeth also had a natural size imbalance — the lateral incisors were smaller — which affected how the bite fit together. To create the most stable result without veneers, we used a conservative approach and performed small, precise enamel reshaping (IPR) in the lower arch to improve tooth balance and achieve a clean final bite.

Approach: The goal was a completely invisible treatment that still delivered a high-level result. InSmile lingual braces were placed behind the teeth, allowing full control while staying hidden from view. The artistry was in the finishing — especially in how the smaller lateral incisors were positioned and subtly angled to catch and reflect light, making them appear larger and more proportional within the smile. The final result is refined, natural, and beautifully balanced — exactly what the patient wanted, without veneers.

Read the full story

Metal & Clear Ceramic Braces Transformations

Before Metal Self-Ligating Braces treatment Before
After Metal Self-Ligating Braces treatment After
SMILE TRANSFORMATION 17 Months

The Open Bite Breakthrough

Diagnosis: This case began with a severe open bite, where the front teeth did not even come close to touching. Beyond aesthetics, this affected everyday function — especially the ability to bite and chew efficiently. A comprehensive approach was needed to close the open bite, align both arches, and create a stable, long-term bite without surgery.

Approach: Using Pitts 21 self-ligating braces, Dr. Benson corrected this severe open bite through precise mechanics and intentional finishing — proving that dramatic changes can be achieved nonsurgically when the plan is designed correctly. The artistry was in the control: guiding the teeth into a functional relationship while shaping a smile that feels balanced and natural. The final result was truly life-changing — not only in confidence, but in the patient's ability to chew comfortably and close his mouth with ease.

Read the full story
Before Metal Self-Ligating Braces treatment Before
After Metal Self-Ligating Braces treatment After
FULL TREATMENT 22 Months

Balanced, Not Restored

Diagnosis: The patient presented with anterior spacing, a tooth-size discrepancy and asymmetry, off-center midlines, and a slightly reverse smile curve. He initially asked about veneers after orthodontic treatment to address proportions. Treatment was with Pitts 21 metal self-ligating braces to close the spaces, correct alignment, and optimize tooth relationships so the bite and proportions functioned properly.

Approach: Dr. Benson carefully shifted the lower midline left while using Smile Arc Protection bracket placement to restore a natural smile arc and better fill the lip frame. Subtle proportioning and limited interproximal reduction harmonized tooth sizes, and a small gingivectomy evened the gumline to reveal balanced tooth lengths. By letting orthodontics do the heavy lifting, the patient loved the result and ultimately declined veneers — a conservative, confident finish driven by meticulous mechanics and tasteful finishing.

Read the full story
Before Metal Self-Ligating Braces treatment Before
After Metal Self-Ligating Braces treatment After
COMPREHENSIVE TREATMENT 30 Months

A Smile Worth Growing Into

Diagnosis: This case began with severe crowding in both arches, including blocked-out upper canines, upper lateral incisors in crossbite, and a deep, impinging overbite. The patient also had a narrow upper jaw, which contributed to the crowding and crossbite. Treatment began in the late mixed dentition, before all permanent teeth had erupted. Although this extended the timeline (30 months), it allowed us to create space early, guide eruption, and prevent future complications. A comprehensive, non-extraction approach was used to align both arches, correct the crossbite, and open the overbite into a healthy, stable bite.

Approach: She started with a narrow smile that didn't fully fill her lip frame. Using Pitts 21 self-ligating braces with Smile Arc Protection, Dr. Benson treated this severe crowding without extractions and without the need for an expander. The artistry was in the balance — carefully widening the smile, guiding the canines into place, and preserving the natural curvature of her smile as she grew. The final result is a healthy bite, a beautifully shaped smile, and the confidence of a young lady stepping fully into her own.

Read the full story
Before Phase I Braces treatment Before
After Phase I Braces treatment After
EARLY INTERVENTION 12 Months

The Early Advantage

Diagnosis: This case captures the power of early intervention. The patient presented in the mixed dentition with developing crowding and a deep overbite that would have worsened as more permanent teeth erupted. Phase I treatment allowed us to align the front teeth early, improve the overbite, and protect the space needed for the remaining permanent teeth to erupt properly. The beauty of early treatment is what you prevent — by guiding development at the right moment, we can often eliminate the need for more invasive correction later.

Approach: Using Phase I upper and lower braces, Dr. Benson guided this smile into balance without expanders. The artistry was in working with growth — widening the arches naturally, creating a broader smile, and shaping the bite as the teeth came into place. The result is a healthier foundation, a wider smile that fits his face beautifully, and a simpler path forward as the remaining teeth erupt.

Read the full story
Before Herbst Growth-Guidance Appliance treatment Before
After Herbst Growth-Guidance Appliance treatment After
IMPLANT AVOIDED 30 Months

A Smile Preserved

Diagnosis: This patient presented with a Class II relationship, excess overjet, and a congenitally missing lower-left second premolar. Treatment combined a Herbst growth-guidance appliance with controlled fixed-appliance mechanics to protract the lower left molars and close the missing-tooth space — avoiding a future implant. The Herbst guided forward mandibular growth while we advanced the lower molars, which prevented over-retraction of the upper and lower teeth and loss of overjet. The coordinated approach maintained midlines, corrected the bite, and produced a stable intercuspation and long-term occlusion.

Approach: The artistry was in timing and balance. Using the Herbst to support forward jaw growth allowed us to protract the lower molars without relying on heavy retraction mechanics that would have risked flattening the profile or collapsing upper lip support. By protecting the forward, supported position of the upper lip, Dr. Benson preserved facial balance while shifting teeth into the missing-tooth site. The finishing touches — precise mechanics, midline control, and a wide smile arc that fills the lip frame — delivered a conservative, elegant outcome: no implant, improved function, and a natural, well-framed smile.

Read the full story

Explore 100+ Documented Results

Our Smile Gallery contains over a hundred before-and-after cases organized by treatment type, condition, and patient age. Dive deeper into the full archive.

View Full Smile Gallery

Ready for Your Transformation?

Schedule a complimentary consultation with Dr. Benson to discover your best treatment path.

Virtual Consult Send photos, Dr. Benson replies by video
Questions? Call us: (702) 800-4698
Dr. Saoly Benson

Dr. Saoly Benson

Free consult · up to 60 min
Children & Teens Clear Aligners Hidden Braces Smile Design Adult Treatment
Las Vegas 5.0 (600+ Google Reviews)
Board-certified | 13+ years | 0% financing | 25+ insurance plans
More about Dr. Benson →
Next available: Loading soonest slot...

When works best?

Pick a day that works

SunMonTueWedThuFriSat

Time with Dr. Benson — built around your case, not a clock.
Your consult ends with a written treatment plan, not a verbal quote.

We'll find you a time.

Call or text. A human being here in Las Vegas takes it from there.

Keep Exploring