Orthodontist Las Vegas, NV
Welcome
Welcome to The Art of Braces, where the science and art of smile design meet. You have a choice in selecting the designer of your smile, and it is important to choose an orthodontist who will treat your smile as a masterpiece!
Orthodontists are architects of their patients' smiles, and there's much more to smile design than just getting teeth straight! While achieving a technically perfect bite is always Dr. Benson's goal for your treatment, an even more important goal is to create an attractive, youthful smile that complements your facial structures and will age well with you.
With 584+ five-star reviews, families across Las Vegas trust Dr. Benson as one of the best orthodontists in the valley.
Services
Orthodontics is an art form first and a science second.
Board-certified orthodontist Dr. Saoly Benson offers many state-of-the-art techniques and treatments that focus on not only your teeth but also your overall facial structure and soft tissues to develop a treatment plan that will help you obtain a beautiful, youthful smile.
MetalSelf-LigatingBraces
Braces with the highest-quality Pitts 21 brackets.
ClearBraces
Enjoy the benefits of braces without visible metal.
InvisibleBraces
Lingual braces fit behind your teeth so they're not visible from the front.
Children
Proactive care to monitor your child's growth and development, support a beautiful smile from the start, healthy airways, and avoid extractions when possible.
ClearAligners
Custom removable clear aligners made right here at The Art of Braces.
Revisions
Dr. Benson specializes in complex cases and correcting unsatisfactory results from previous orthodontic treatment.
Dr. Saoly Benson
An artist at heart, Dr. Benson believes orthodontics is esthetic art first and a science second. Board-certified immediately after residency, she combines 13+ years of expertise with a boutique, family-owned practice where every patient receives exceptional personal attention.
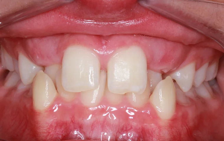
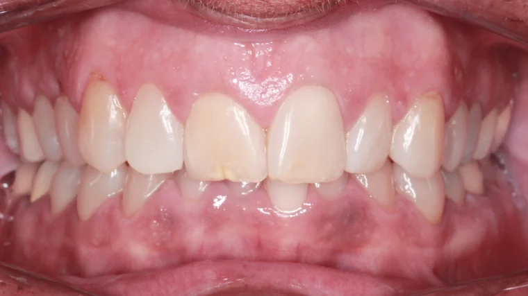
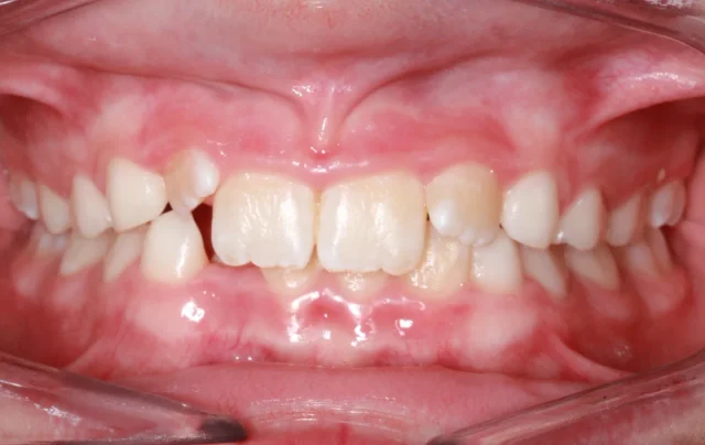
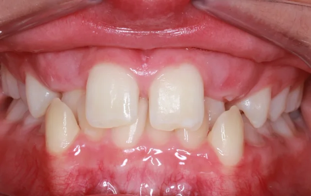
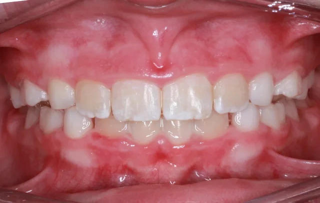
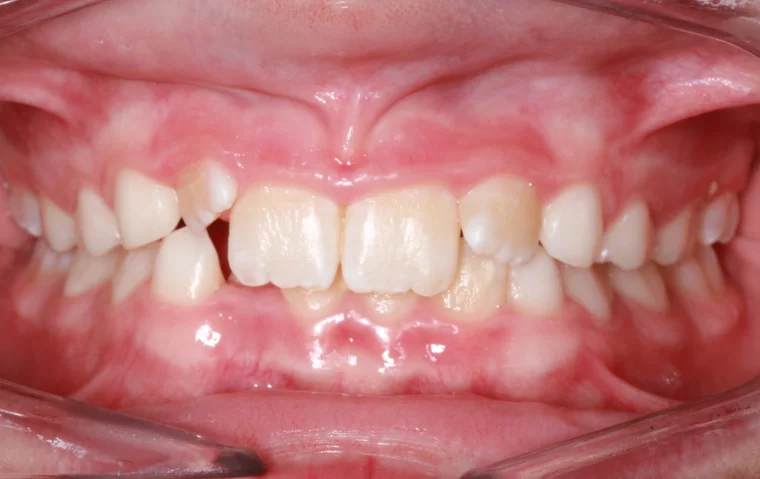
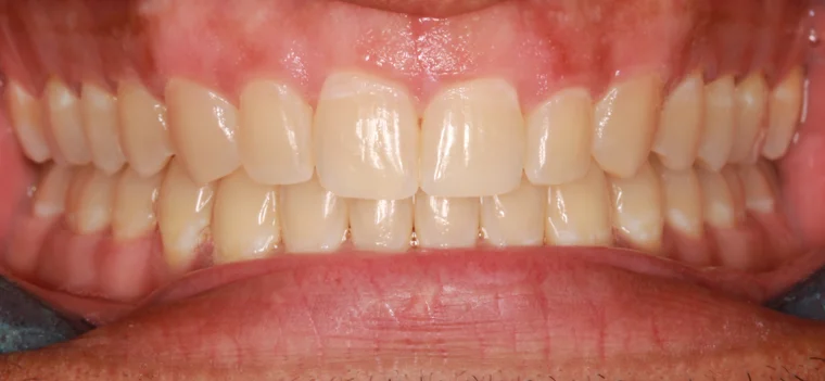
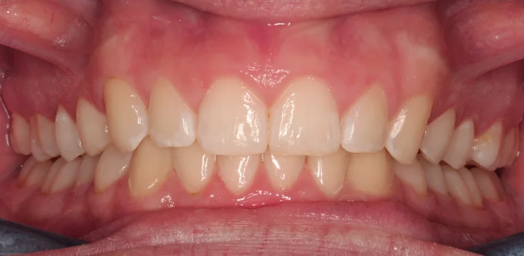
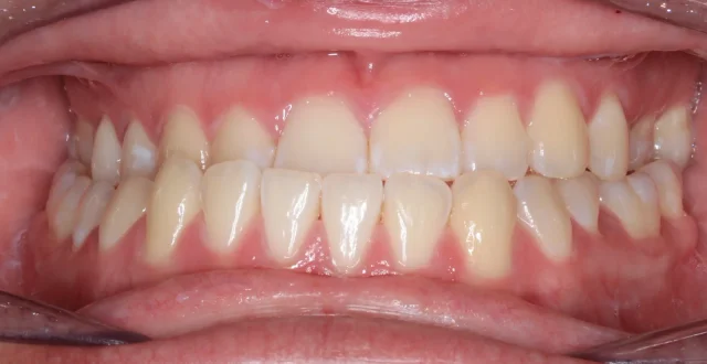
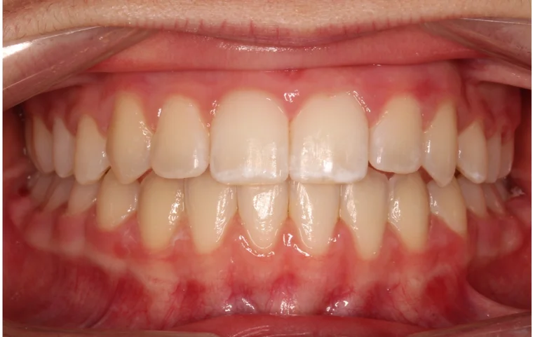
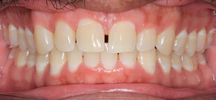
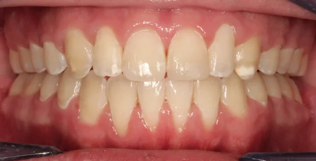
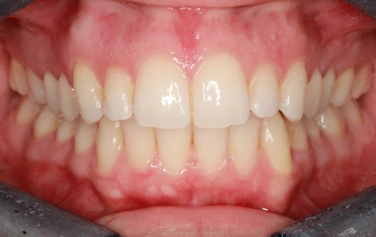
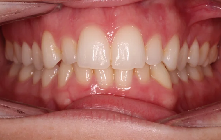
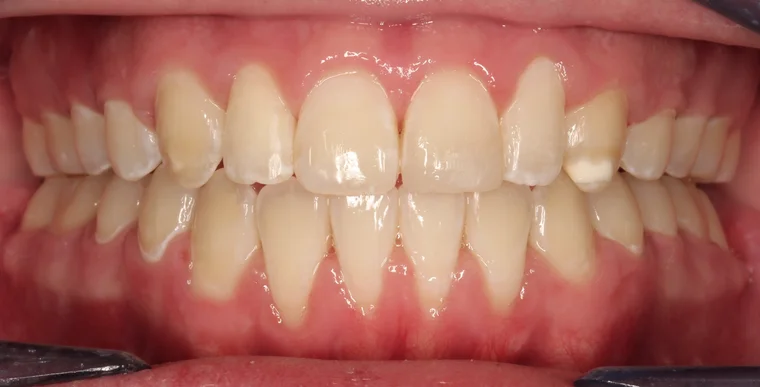
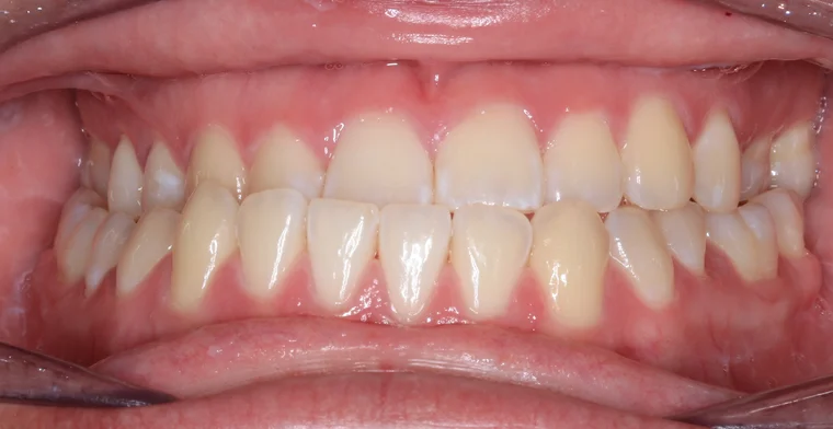
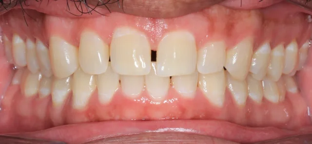
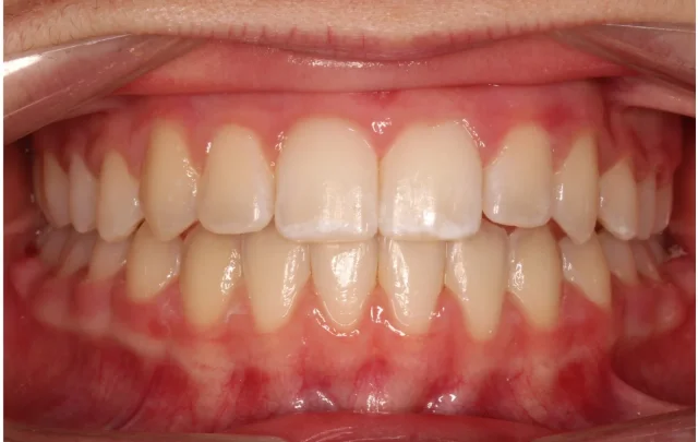
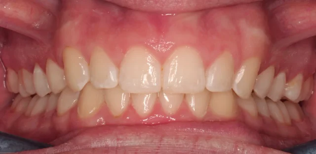
Her StoryReal Transformations
Drag the slider to reveal smile transformations
Hear From Our Patients
Real stories from real smiles
Patient Reviews
The staff is wonderful, everyone was so sweet! The office was so cute, I’m very grateful they were able to get me in super quick as new patient for a new pair of retainers. I’m so happy with them and I was definitely in need of an upgrade compared to my old ones. Thank you so much again to the beautiful staff! 10/10 recommend!
Had the best experience at The Art of Braces. I first had braces when I was a kid (different orthodontist) but had to get them again as an adult to fix some bite issues. I had consultations with a few orthodontists and decided to go with Dr. Benson because she seemed more knowledgeable about my specific case. The amount of care and attention I received throughout my entire treatment process was night and day compared to my first time having braces. Dr. Benson uses the most up-to-date technology and techniques, you can tell she really cares about making everything perfect for her clients. Everyone on her team is always super welcoming and friendly, too. I highly recommend The Art of Braces!
Dr. Benson and the entire Art of Braces team are truly exceptional. This was my third round of orthodontic treatment, mainly because I wasn’t fully satisfied with the results from my previous orthodontist. While my teeth were technically “straightened,” I never felt that my concerns about the overall aesthetics of my smile were truly heard. With Dr. Benson, that was never the case! From the very beginning, she took the time to genuinely listen to what I wanted, showed incredible patience, and even offered thoughtful suggestions rooted in her own high standards and attention to detail. It’s clear she is a true perfectionist herself. With my own personal experience and after discussing with friends and family, I’ve noticed that with many orthodontists, patients can sometimes feel like just another number. Dr. Benson is the opposite. She treats each smile with care and intention, as if it were her own, and that personal approach makes all the difference. Her passion for her craft is unmistakable, and it shows in both her work and the experience she creates for her patients. If you’re looking for an orthodontist who truly cares and takes pride in delivering the best results, I couldn’t recommend Dr. Benson enough!
The Art of Braces unexpectedly wows me again. As a former patient, I'll admit I wasn't wearing my retainers as often as I should have over the past three years. When I returned, embarrassed about not preserving my masterpiece of a smile, the front desk team welcomed me with open arms and managed to fit me into their busy schedule as a walk-in. Dr. Benson walked by, remembered my name, and asked how she could help. Right then and there, she did a same-day consult and presented me with options for new retainers to get my smile back on track. What I thought would be multiple appointments turned into immediate action—she started my treatment that very day. Within a very short time, she had a plan in place to correct the smile I take full responsibility for diminishing over the years. After only a few months, I'm back on track with the outcome I remember from years ago. Like I said, wow! The Art of Braces team was full of new faces since my original treatment—all thoughtful, receptive to my needs, and always focused on my outcomes, even as a repeat patient. The fact that they could accommodate me so quickly, without making me wait weeks for a consultation or to begin treatment, made all the difference. Dr. Benson is a master of her craft. I'd taken for granted how amazing it feels to naturally smile without reservation throughout the day. Dr. Benson’s patients are extremely fortunate to have such an incredible doctor and team at The Art of Braces. Let's hope I've learned my retainer lesson this time, but honestly? If I ever need help again, there's nowhere else I'd rather be!
Dr. Benson is such a great orthodontist and her staff are so helpful and cheerful. They are always willing to work around our busy schedule and make sure all our appointments are kept. Dr. Benson goes above and beyond for her patients and you can really tell how much she cares about your smile. Her office is so beautiful and her artwork is very serene and relaxing. And yes, all the photos in her office are photos she has taken. It feels more like an art gallery than an orthodontic office. I highly recommend The Art of Braces for anyone looking to improve their smile
Had a wonderful experience love the staff and atmosphere everyone was so welcoming and very caring!! Highly recommended!!!









