The Art of Braces

Metal Braces Transformation

Case #98164 | 0 - 10 | Male

Patient Age 0 - 10
Gender Male
Treatment Metal Braces

About This Case

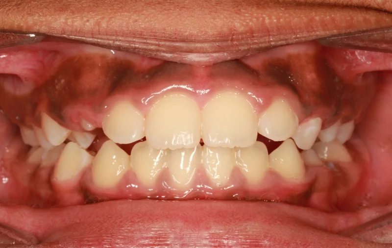
This 12 year old boy presented to The Art of Braces with an anterior open bite caused by a tongue thrust habit. Dr. Benson started Phase I orthodontic treatment conservatively with a Bluegrass habit appliance as well as some tongue training exercises to address the cause of the malocclusion. Once cessation of the tongue thrust habit was achieved, partial upper and lower braces were placed to close the anterior bite and close the spaces in the front.

Before & After Photos

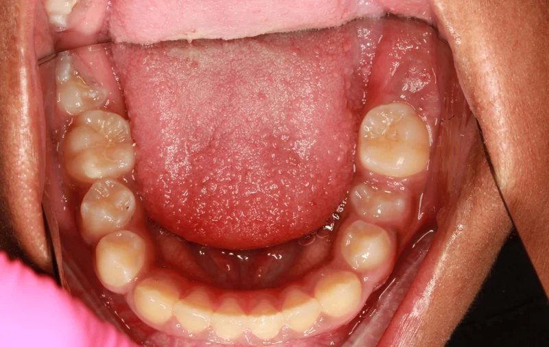
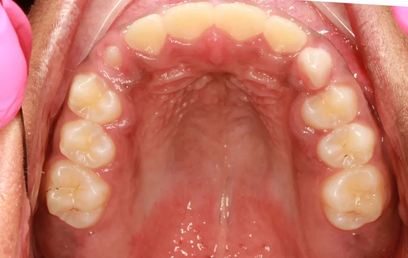
Upper

Upper - Before Treatment
Before
Upper - After Treatment
After

Center

Center - Before Treatment
Before
Center - After Treatment
After

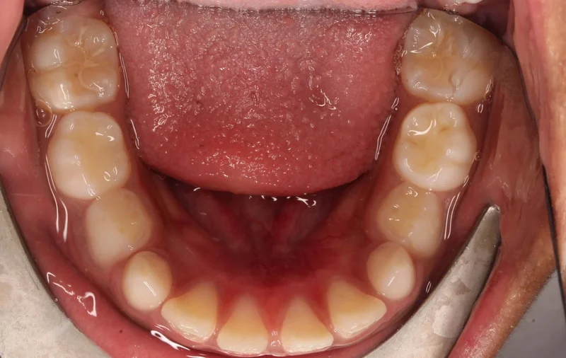
Lower

Lower - Before Treatment
Before
Lower - After Treatment
After

Treatments Used

  • Smile Arc Protection
  • Braces
  • Clear Braces
  • Metal Braces
  • Clear Aligners

*Individual results are not guaranteed and may vary from person to person. Images may contain models.

Dr. Saoly Benson

Dr. Saoly Benson

Free consult · up to 60 min
Children & Teens Clear Aligners Hidden Braces Smile Design Adult Treatment
Las Vegas 5.0 (600+ Google Reviews)
Board-certified | 13+ years | 0% financing | 25+ insurance plans
More about Dr. Benson →
Next available: Loading soonest slot...

When works best?

Pick a day that works

SunMonTueWedThuFriSat

Time with Dr. Benson — built around your case, not a clock.
Your consult ends with a written treatment plan, not a verbal quote.

We'll find you a time.

Call or text. A human being here in Las Vegas takes it from there.

Keep Exploring