The Art of Braces

Metal Braces Transformation

Case #98163 | 40 - 49 | Female

Patient Age 40 - 49
Gender Female
Treatment Metal Braces

About This Case

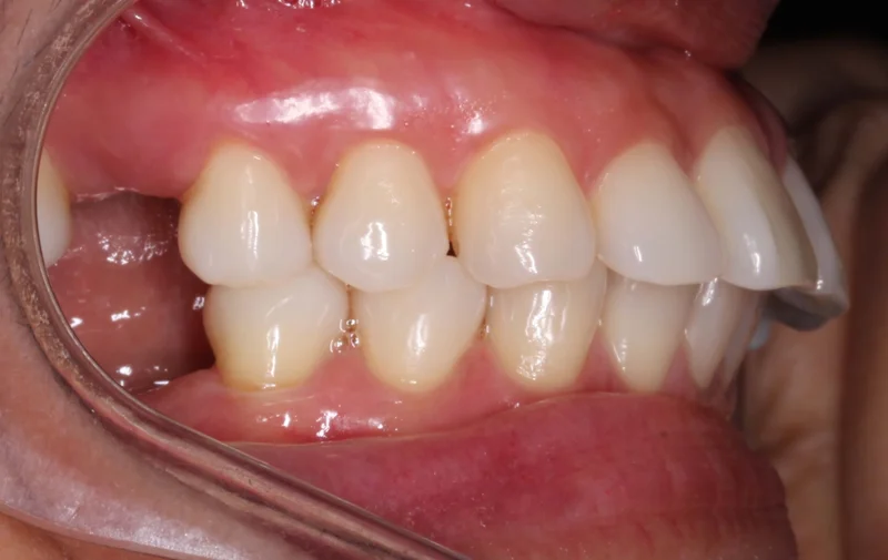
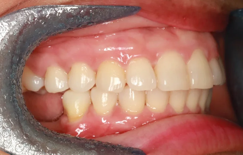
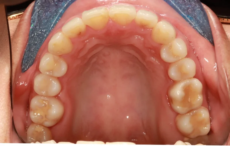
This adult female patient presented to the clinic missing her upper right first molar as well as both sets of lower first and second molars. She still had her third molars and the lower ones were tipped, making restoration with dental implants non-ideal. Dr. Benson uprighted the lower third molars and closed the space on the upper right, bringing the second and third molars forward. This eliminated the need and expense of one implant on the upper right side.

Before & After Photos

Upper

Upper - Before Treatment
Before
Upper - After Treatment
After

Lower

Lower - Before Treatment
Before
Lower - After Treatment
After

Right Buccal

Right Buccal - Before Treatment
Before
Right Buccal - After Treatment
After

Treatments Used

  • Smile Arc Protection
  • Braces
  • Clear Braces
  • Metal Braces
  • Clear Aligners

*Individual results are not guaranteed and may vary from person to person. Images may contain models.

Dr. Saoly Benson

Dr. Saoly Benson

Free consult · up to 60 min
Children & Teens Clear Aligners Hidden Braces Smile Design Adult Treatment
Las Vegas 5.0 (600+ Google Reviews)
Board-certified | 13+ years | 0% financing | 25+ insurance plans
More about Dr. Benson →
Next available: Loading soonest slot...

When works best?

Pick a day that works

SunMonTueWedThuFriSat

Time with Dr. Benson — built around your case, not a clock.
Your consult ends with a written treatment plan, not a verbal quote.

We'll find you a time.

Call or text. A human being here in Las Vegas takes it from there.

Keep Exploring