The Art of Braces

Metal Braces Transformation

Case #98157 | 40 - 49 | Female

Patient Age 40 - 49
Gender Female
Treatment Metal Braces

About This Case

An adult female patient underwent orthodontic treatment in fall 2021, started with Metal Braces and later finished in Clear Aligners. Following the procedures, the patient reported a positive experience with significant improvements in dental alignment. The patient expressed satisfaction with the outcome, highlighting enhanced confidence and functionality. Dr. Benson's expertise and care were praised, underscoring a successful treatment journey for the patient.

Before & After Photos

Facial Smiling

Facial Smiling - Before Treatment
Before
Facial Smiling - After Treatment
After

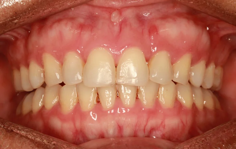
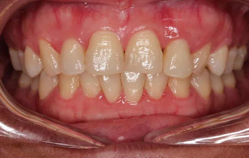
Center

Center - Before Treatment
Before
Center - After Treatment
After

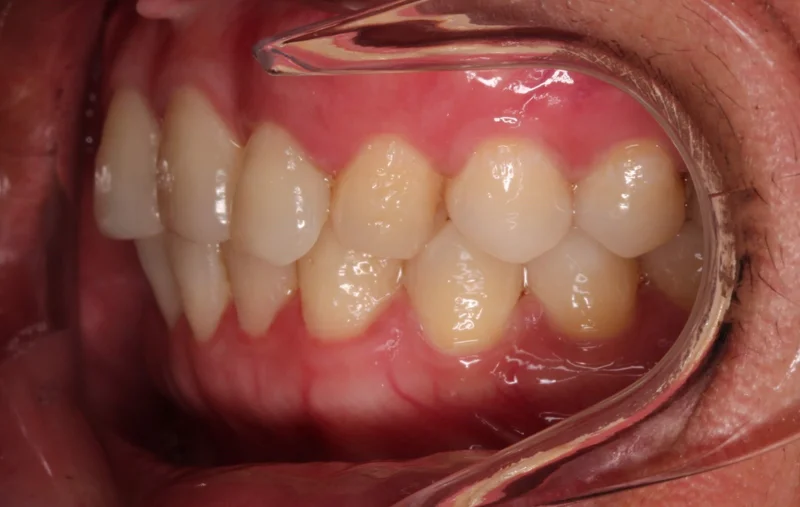
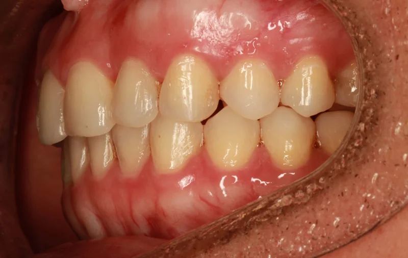
Left

Left - Before Treatment
Before
Left - After Treatment
After

Lower

Lower - Before Treatment
Before
Lower - After Treatment
After

Treatments Used

  • Smile Arc Protection
  • Braces
  • Clear Braces
  • Metal Braces
  • Clear Aligners

*Individual results are not guaranteed and may vary from person to person. Images may contain models.

Dr. Saoly Benson

Dr. Saoly Benson

Free consult · up to 60 min
Children & Teens Clear Aligners Hidden Braces Smile Design Adult Treatment
Las Vegas 5.0 (600+ Google Reviews)
Board-certified | 13+ years | 0% financing | 25+ insurance plans
More about Dr. Benson →
Next available: Loading soonest slot...

When works best?

Pick a day that works

SunMonTueWedThuFriSat

Time with Dr. Benson — built around your case, not a clock.
Your consult ends with a written treatment plan, not a verbal quote.

We'll find you a time.

Call or text. A human being here in Las Vegas takes it from there.

Keep Exploring