The Art of Braces

Metal Braces Transformation

Case #95768 | 0 - 10 | Female

Patient Age 0 - 10
Gender Female
Treatment Metal Braces

About This Case

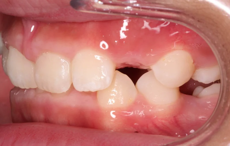
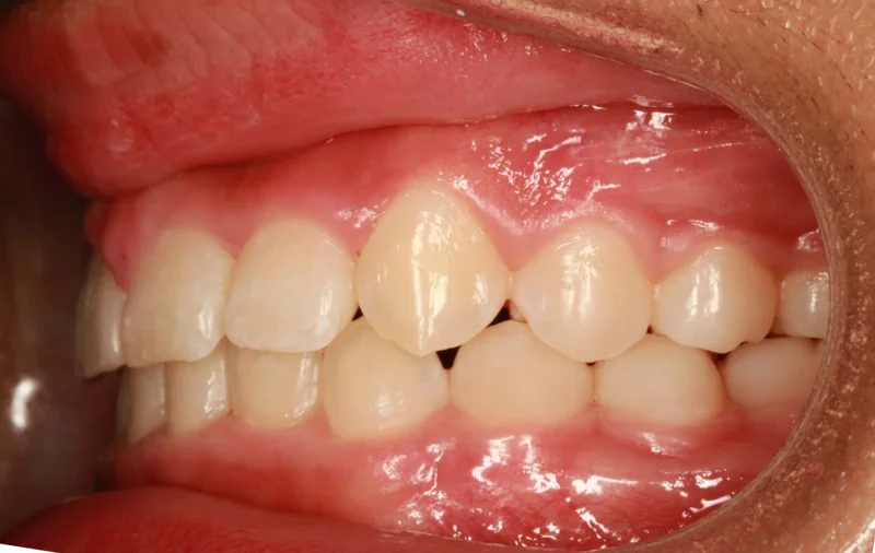
This teenage female presented to The Art of Braces with crowding and a deep bite. She was treated with metal braces placement by Dr. Saoly Benson in Las Vegas, NV in August 2021. The patient reported minimal discomfort throughout the process and achieved great results.

Before & After Photos

Front Facial Smiling

Front Facial Smiling - Before Treatment
Before
Front Facial Smiling - After Treatment
After

Center

Center - Before Treatment
Before
Center - After Treatment
After

Left

Left - Before Treatment
Before
Left - After Treatment
After

Lower

Lower - Before Treatment
Before
Lower - After Treatment
After

Treatments Used

  • Smile Arc Protection
  • Braces
  • Clear Braces
  • Metal Braces
  • Clear Aligners

*Individual results are not guaranteed and may vary from person to person. Images may contain models.

Dr. Saoly Benson

Dr. Saoly Benson

Free consult · up to 60 min
Children & Teens Clear Aligners Hidden Braces Smile Design Adult Treatment
Las Vegas 5.0 (600+ Google Reviews)
Board-certified | 13+ years | 0% financing | 25+ insurance plans
More about Dr. Benson →
Next available: Loading soonest slot...

When works best?

Pick a day that works

SunMonTueWedThuFriSat

Time with Dr. Benson — built around your case, not a clock.
Your consult ends with a written treatment plan, not a verbal quote.

We'll find you a time.

Call or text. A human being here in Las Vegas takes it from there.

Keep Exploring