The Art of Braces

Metal Braces Transformation

Case #95767 | 40 - 49 | Female

Patient Age 40 - 49
Gender Female
Treatment Metal Braces

About This Case

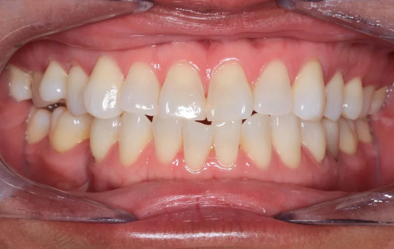
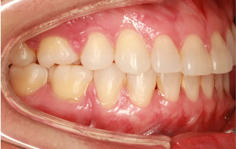
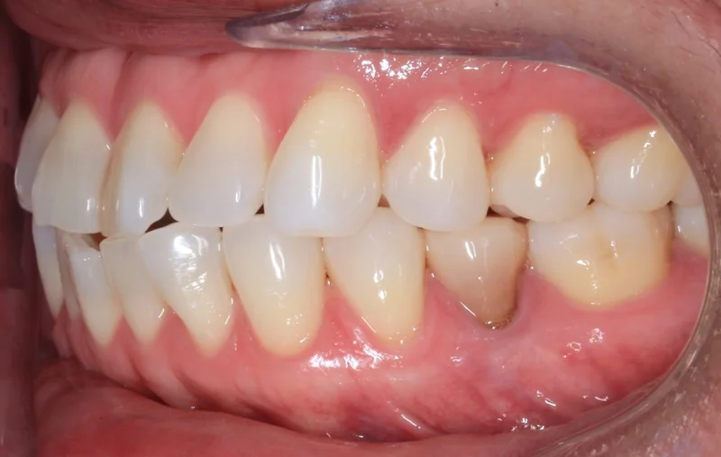
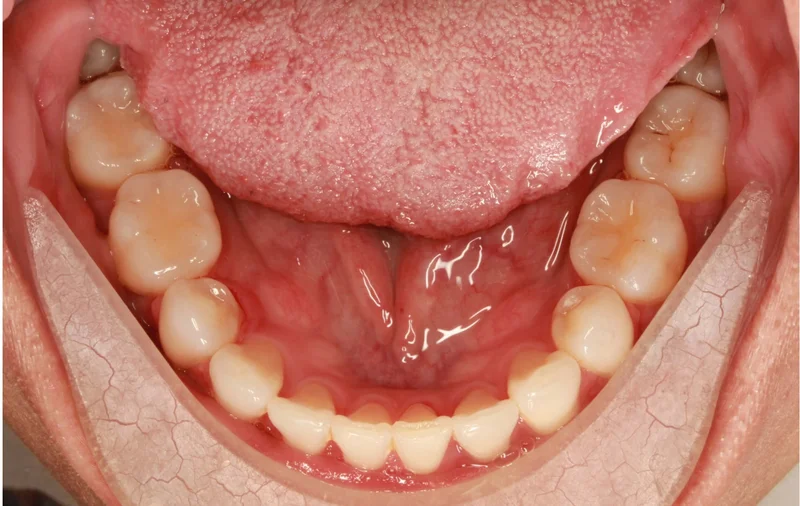
This Las Vegas female embarked on a transformative journey with orthodontic treatment. Facing misaligned teeth, a missing lower right premolar, an anterior open bite, and several teeth in crossbite, she opted for metal braces to correct her bite and achieve a more aligned smile. Because the patient had all four third molars (wisdom teeth) fully erupted, we opted to extract the other 3 premolars in order to maintain symmetry, alleviate the crowding, and correct the bite, keeping the wisdom teeth in occlusion. Despite the extraction treatment, Dr. Benson utilized the Pitts treatment philosophy and was able to maintain a beautiful, wide smile without any compromise to the smile aesthetics, airway, or tongue space. Her profile and lip posture was maintained without flattening the face. In addition, the patient did not require any dental implants or a bridge to replace her original missing tooth after orthodontic treatment.

Before & After Photos

Front Facial Smiling

Front Facial Smiling - Before Treatment
Before
Front Facial Smiling - After Treatment
After

Center

Center - Before Treatment
Before
Center - After Treatment
After

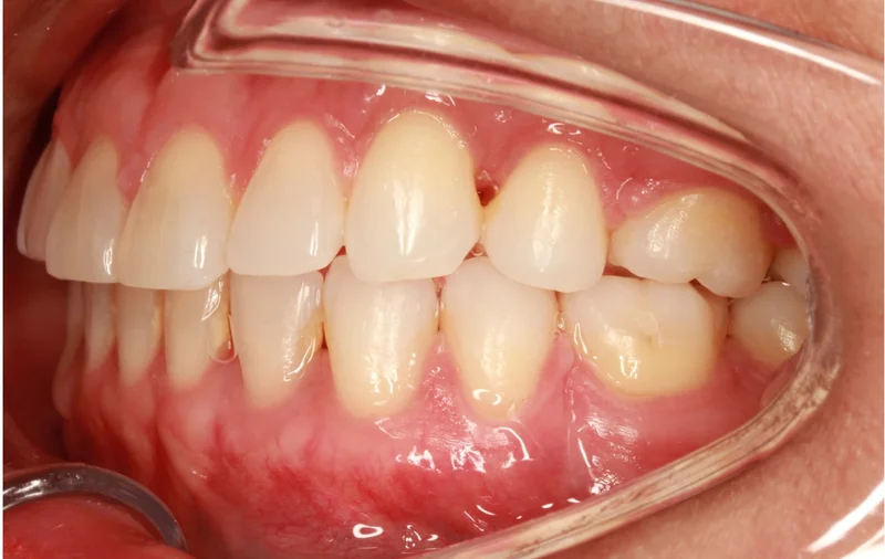
Right Buccal

Right Buccal - Before Treatment
Before
Right Buccal - After Treatment
After

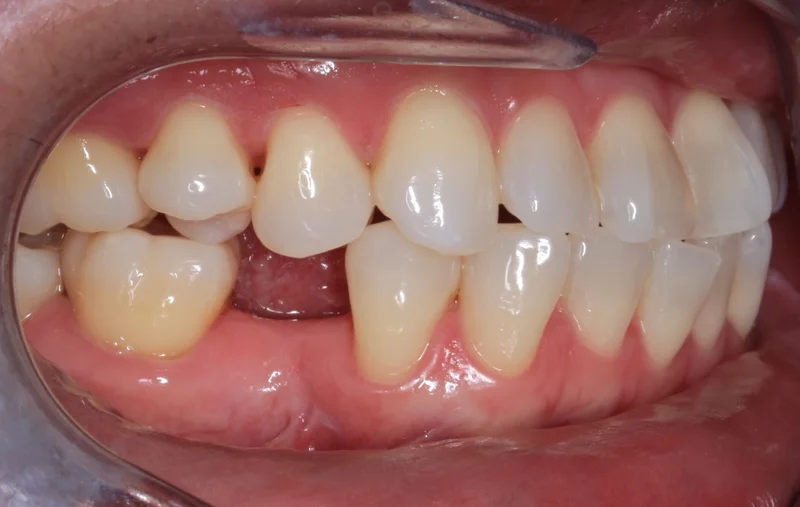
Left Buccal

Left Buccal - Before Treatment
Before
Left Buccal - After Treatment
After

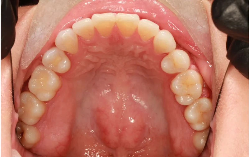
Upper

Upper - Before Treatment
Before
Upper - After Treatment
After

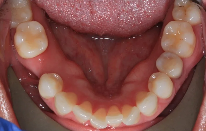
Lower

Lower - Before Treatment
Before
Lower - After Treatment
After

Treatments Used

  • Smile Arc Protection
  • Braces
  • Clear Braces
  • Metal Braces
  • Clear Aligners

*Individual results are not guaranteed and may vary from person to person. Images may contain models.

Dr. Saoly Benson

Dr. Saoly Benson

Free consult · up to 60 min
Children & Teens Clear Aligners Hidden Braces Smile Design Adult Treatment
Las Vegas 5.0 (600+ Google Reviews)
Board-certified | 13+ years | 0% financing | 25+ insurance plans
More about Dr. Benson →
Next available: Loading soonest slot...

When works best?

Pick a day that works

SunMonTueWedThuFriSat

Time with Dr. Benson — built around your case, not a clock.
Your consult ends with a written treatment plan, not a verbal quote.

We'll find you a time.

Call or text. A human being here in Las Vegas takes it from there.

Keep Exploring