The Art of Braces

Metal Braces Transformation

Case #94226 | 11 - 17 | Female

Patient Age 11 - 17
Gender Female
Treatment Metal Braces

About This Case

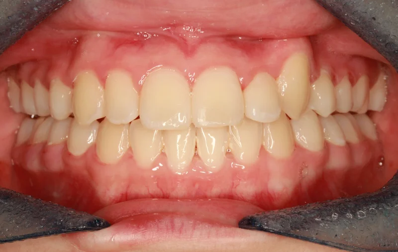
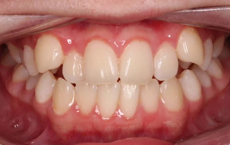
This Las Vegas female teen presented to the office with severe crowding. She was treated non-extraction and a beautiful smile arc was achieved.

Before & After Photos

Center

Center - Before Treatment
Before
Center - After Treatment
After

Upper Occlusal

Upper Occlusal - Before Treatment
Before
Upper Occlusal - After Treatment
After

Center

Center - Before Treatment
Before
Center - After Treatment
After

Lower Occlusal

Lower Occlusal - Before Treatment
Before
Lower Occlusal - After Treatment
After

Treatments Used

  • Smile Arc Protection
  • Braces
  • Clear Braces
  • Metal Braces
  • Clear Aligners

*Individual results are not guaranteed and may vary from person to person. Images may contain models.

Dr. Saoly Benson

Dr. Saoly Benson

Free consult · up to 60 min
Children & Teens Clear Aligners Hidden Braces Smile Design Adult Treatment
Las Vegas 5.0 (600+ Google Reviews)
Board-certified | 13+ years | 0% financing | 25+ insurance plans
More about Dr. Benson →
Next available: Loading soonest slot...

When works best?

Pick a day that works

SunMonTueWedThuFriSat

Time with Dr. Benson — built around your case, not a clock.
Your consult ends with a written treatment plan, not a verbal quote.

We'll find you a time.

Call or text. A human being here in Las Vegas takes it from there.

Keep Exploring