The Art of Braces

Clear Aligners Transformation

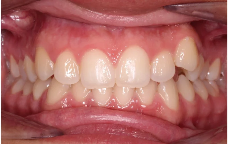
Case #92737 | 18 - 29 | Female

Patient Age 18 - 29
Gender Female
Treatment Clear Aligners

About This Case

This Las Vegas female came to our office with concerns about alignment and crowding. She chose aligners for her treatment and was able to finish in less than 19 months.

Before & After Photos

Front Facial Smiling

Front Facial Smiling - Before Treatment
Before
Front Facial Smiling - After Treatment
After

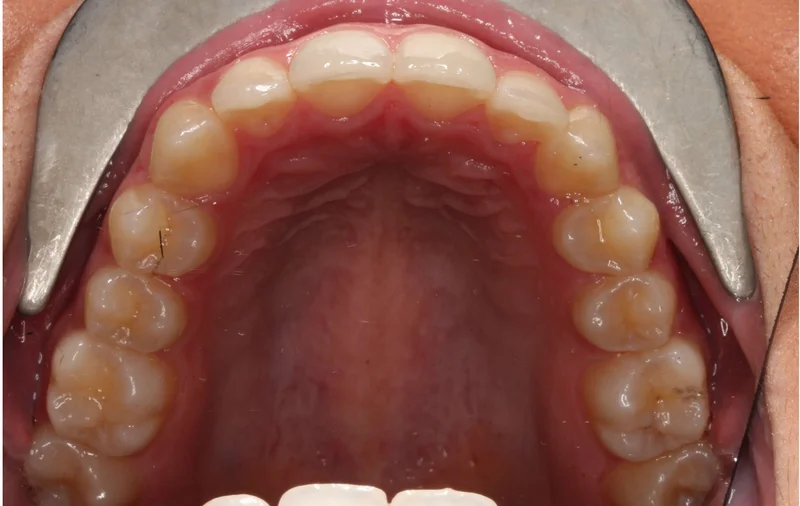
Upper

Upper - Before Treatment
Before
Upper - After Treatment
After

Center

Center - Before Treatment
Before
Center - After Treatment
After

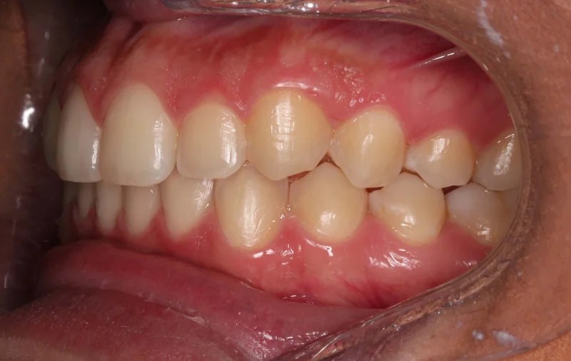
Left

Left - Before Treatment
Before
Left - After Treatment
After

Treatments Used

  • Smile Arc Protection
  • Braces
  • Clear Braces
  • Metal Braces
  • Clear Aligners

*Individual results are not guaranteed and may vary from person to person. Images may contain models.

Dr. Saoly Benson

Dr. Saoly Benson

Free consult · up to 60 min
Children & Teens Clear Aligners Hidden Braces Smile Design Adult Treatment
Las Vegas 5.0 (600+ Google Reviews)
Board-certified | 13+ years | 0% financing | 25+ insurance plans
More about Dr. Benson →
Next available: Loading soonest slot...

When works best?

Pick a day that works

SunMonTueWedThuFriSat

Time with Dr. Benson — built around your case, not a clock.
Your consult ends with a written treatment plan, not a verbal quote.

We'll find you a time.

Call or text. A human being here in Las Vegas takes it from there.

Keep Exploring