The Art of Braces

Clear Aligners Transformation

Case #92728 | 11 - 17 | Male

Patient Age 11 - 17
Gender Male
Treatment Clear Aligners

About This Case

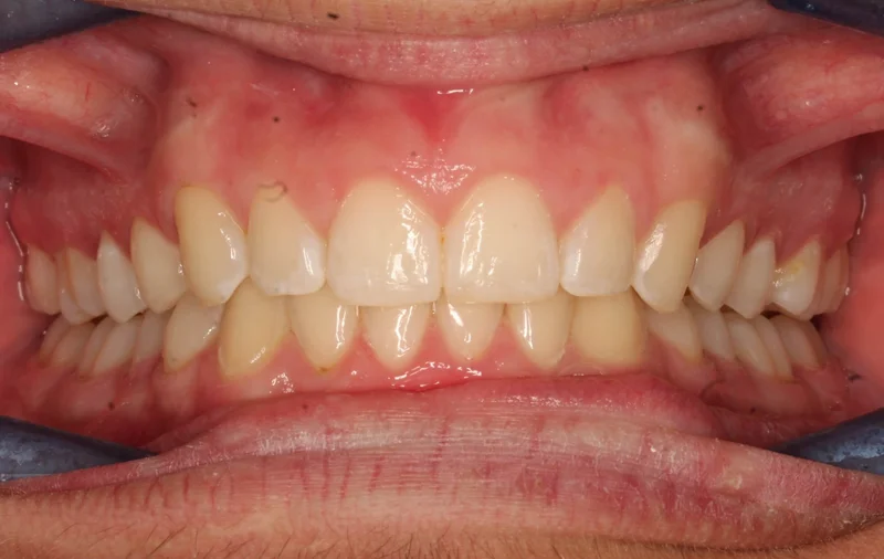
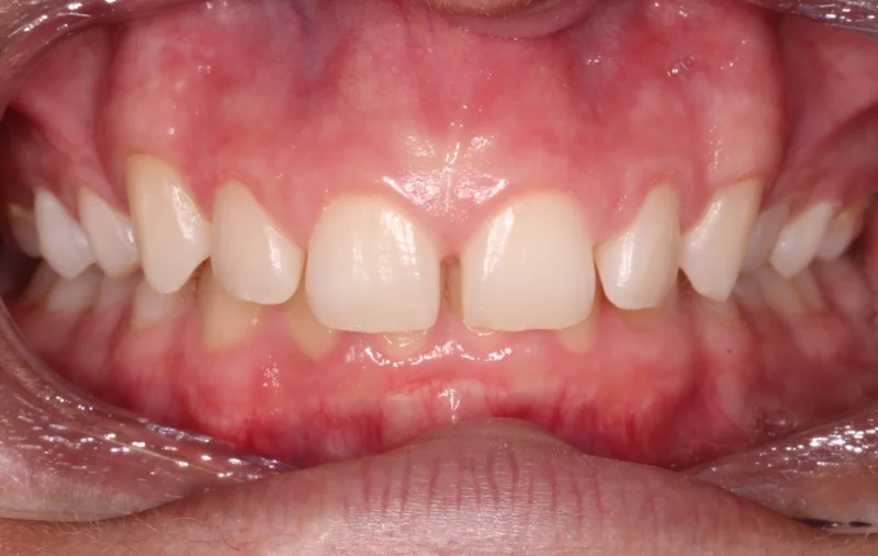
This patient presented to the office with concerns about his spacing. While his teeth were pretty well aligned, what made this treatment particularly challenging was that he had a severe overbite and also wanted to be treated in aligners. Typically, overbites can be much harder to treat with aligners compared to braces, yet we were still able to complete it ahead of schedule in just 19 months out of an estimated 24.

Before & After Photos

Upper

Upper - Before Treatment
Before
Upper - After Treatment
After

Center

Center - Before Treatment
Before
Center - After Treatment
After

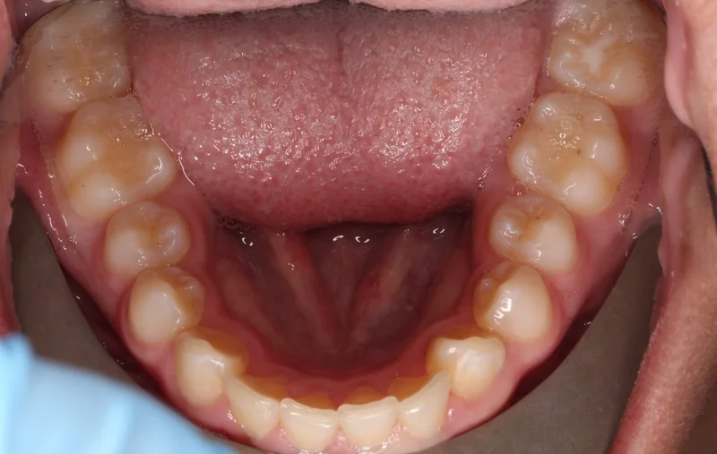
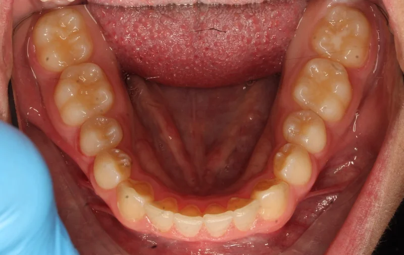
Lower

Lower - Before Treatment
Before
Lower - After Treatment
After

Treatments Used

  • Smile Arc Protection
  • Braces
  • Clear Braces
  • Metal Braces
  • Clear Aligners

*Individual results are not guaranteed and may vary from person to person. Images may contain models.

Dr. Saoly Benson

Dr. Saoly Benson

Free consult · up to 60 min
Children & Teens Clear Aligners Hidden Braces Smile Design Adult Treatment
Las Vegas 5.0 (600+ Google Reviews)
Board-certified | 13+ years | 0% financing | 25+ insurance plans
More about Dr. Benson →
Next available: Loading soonest slot...

When works best?

Pick a day that works

SunMonTueWedThuFriSat

Time with Dr. Benson — built around your case, not a clock.
Your consult ends with a written treatment plan, not a verbal quote.

We'll find you a time.

Call or text. A human being here in Las Vegas takes it from there.

Keep Exploring