The Art of Braces

Metal Braces Transformation

Case #92723 | 40 - 49 | Male

Patient Age 40 - 49
Gender Male
Treatment Metal Braces

About This Case

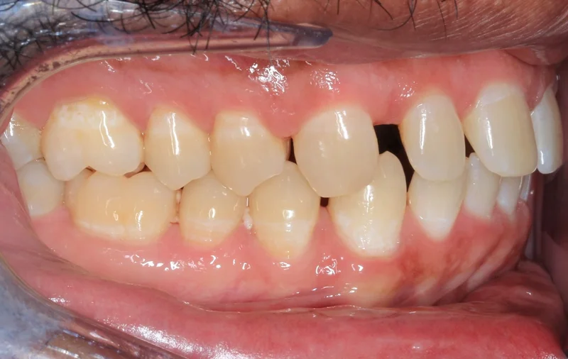
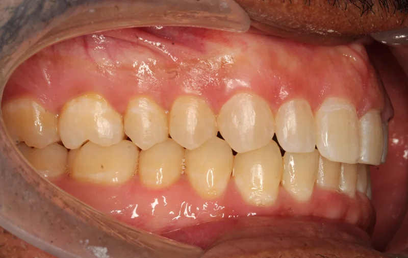
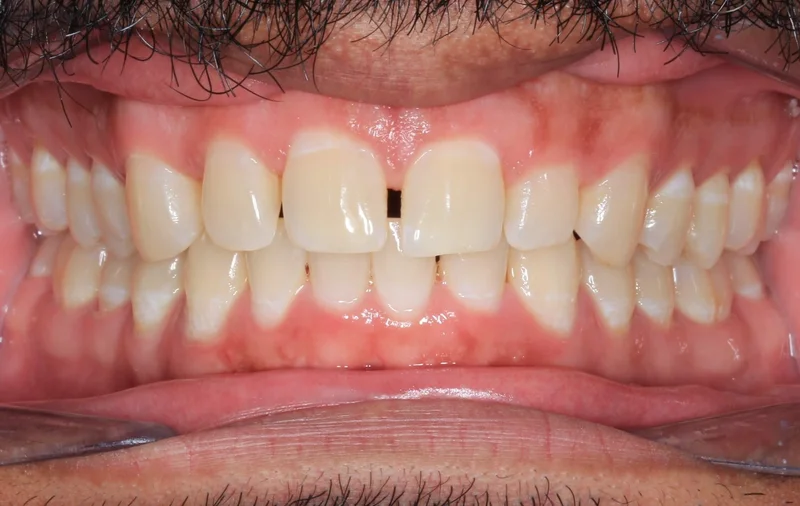
This Las Vegas adult male came in with concerns about closing spaces due to small teeth. He was told by his dentist that he would need veneers after orthodontic treatment to create a better smile. However, after the spaces were closed during treatment, the patient was very happy with his smile and opted out of doing the veneers. Instead, we did a gingivectomy to recontour his gumline to create symmetry. He was treated with metal self-ligating braces and finished treatment in 24 months.

Before & After Photos

Front Facial Smiling

Front Facial Smiling - Before Treatment
Before
Front Facial Smiling - After Treatment
After

Upper

Upper - Before Treatment
Before
Upper - After Treatment
After

Center

Center - Before Treatment
Before
Center - After Treatment
After

Right Buccal

Right Buccal - Before Treatment
Before
Right Buccal - After Treatment
After

Treatments Used

  • Smile Arc Protection
  • Braces
  • Clear Braces
  • Metal Braces
  • Clear Aligners

*Individual results are not guaranteed and may vary from person to person. Images may contain models.

Dr. Saoly Benson

Dr. Saoly Benson

Free consult · up to 60 min
Children & Teens Clear Aligners Hidden Braces Smile Design Adult Treatment
Las Vegas 5.0 (600+ Google Reviews)
Board-certified | 13+ years | 0% financing | 25+ insurance plans
More about Dr. Benson →
Next available: Loading soonest slot...

When works best?

Pick a day that works

SunMonTueWedThuFriSat

Time with Dr. Benson — built around your case, not a clock.
Your consult ends with a written treatment plan, not a verbal quote.

We'll find you a time.

Call or text. A human being here in Las Vegas takes it from there.

Keep Exploring