The Art of Braces

Metal Braces Transformation

Case #92665 | 30 - 39 | Female

Patient Age 30 - 39
Gender Female
Treatment Metal Braces

About This Case

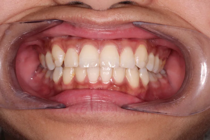
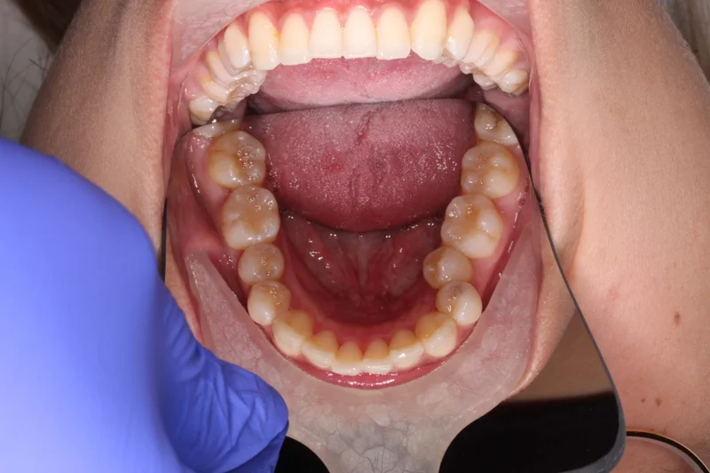
This Las Vegas adult female came in with some crossbites, protrusive teeth, overjet, and crowding. Dr. Benson always strives to be as conservative as possible, so no extractions were done. Using the Pitt21 treatment philosophy, Dr. Benson finished this case very nicely with reduced flaring despite the initial crowding that the patient started with!

Before & After Photos

Front Facial Smiling

Front Facial Smiling - Before Treatment
Before
Front Facial Smiling - After Treatment
After

Left Buccal

Left Buccal - Before Treatment
Before
Left Buccal - After Treatment
After

Center

Center - Before Treatment
Before
Center - After Treatment
After

Lower Occlusal

Lower Occlusal - Before Treatment
Before
Lower Occlusal - After Treatment
After

Treatments Used

  • Smile Arc Protection
  • Braces
  • Clear Braces
  • Metal Braces
  • Clear Aligners

*Individual results are not guaranteed and may vary from person to person. Images may contain models.

Dr. Saoly Benson

Dr. Saoly Benson

Free consult · up to 60 min
Children & Teens Clear Aligners Hidden Braces Smile Design Adult Treatment
Las Vegas 5.0 (600+ Google Reviews)
Board-certified | 13+ years | 0% financing | 25+ insurance plans
More about Dr. Benson →
Next available: Loading soonest slot...

When works best?

Pick a day that works

SunMonTueWedThuFriSat

Time with Dr. Benson — built around your case, not a clock.
Your consult ends with a written treatment plan, not a verbal quote.

We'll find you a time.

Call or text. A human being here in Las Vegas takes it from there.

Keep Exploring