The Art of Braces

Metal Braces Transformation

Case #91937 | 40 - 49 | Male

Patient Age 40 - 49
Gender Male
Treatment Metal Braces

About This Case

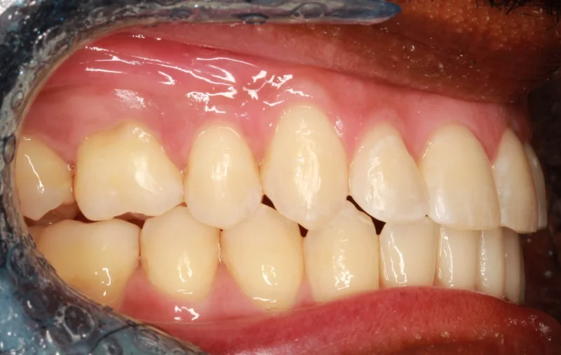
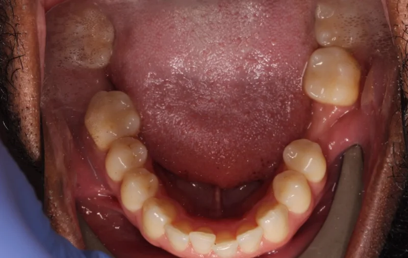
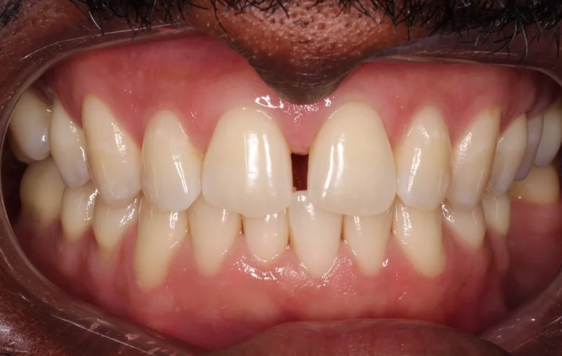
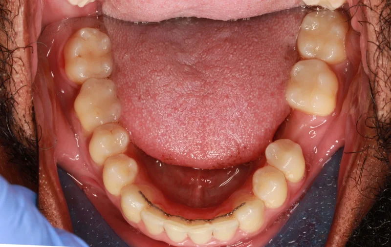
This Las Vegas adult male patient presented for orthodontic treatment due to multiple spaces caused by several missing teeth. Some of the teeth had drifted into the missing teeth spaces and were not ideal for implant placement. This patient had 3 missing teeth. We were able to close 2 out of the 3 spaces, reducing the number of implants required to just 1 after orthodontic treatment. Total treatment time was completed in 22 months with metal self-ligating braces.

Before & After Photos

Upper Occlusal

Upper Occlusal - Before Treatment
Before
Upper Occlusal - After Treatment
After

Center Closed

Center Closed - Before Treatment
Before
Center Closed - After Treatment
After

Right Buccal

Right Buccal - Before Treatment
Before
Right Buccal - After Treatment
After

Lower Occlusal

Lower Occlusal - Before Treatment
Before
Lower Occlusal - After Treatment
After

Treatments Used

  • Smile Arc Protection
  • Braces
  • Clear Braces
  • Metal Braces
  • Clear Aligners

*Individual results are not guaranteed and may vary from person to person. Images may contain models.

Dr. Saoly Benson

Dr. Saoly Benson

Free consult · up to 60 min
Children & Teens Clear Aligners Hidden Braces Smile Design Adult Treatment
Las Vegas 5.0 (600+ Google Reviews)
Board-certified | 13+ years | 0% financing | 25+ insurance plans
More about Dr. Benson →
Next available: Loading soonest slot...

When works best?

Pick a day that works

SunMonTueWedThuFriSat

Time with Dr. Benson — built around your case, not a clock.
Your consult ends with a written treatment plan, not a verbal quote.

We'll find you a time.

Call or text. A human being here in Las Vegas takes it from there.

Keep Exploring