The Art of Braces

Metal Braces Transformation

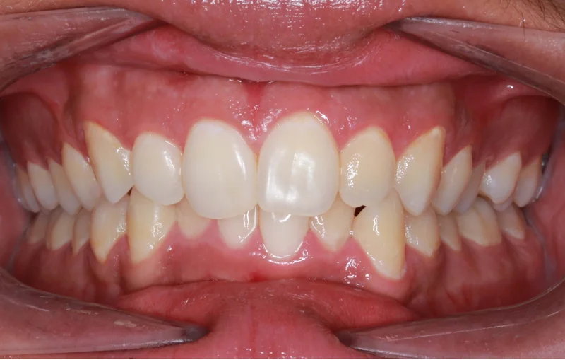
Case #91890 | 18 - 29 | Male

Patient Age 18 - 29
Gender Male
Treatment Metal Braces

About This Case

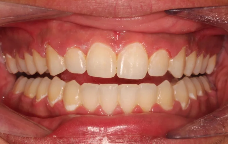
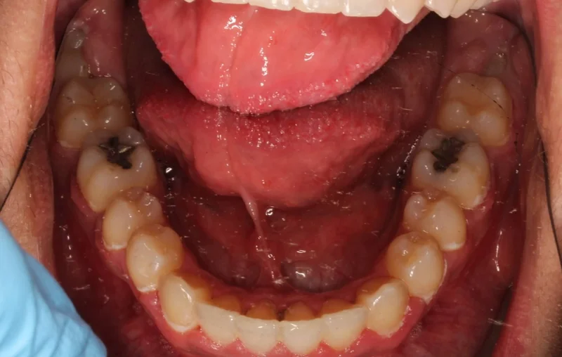
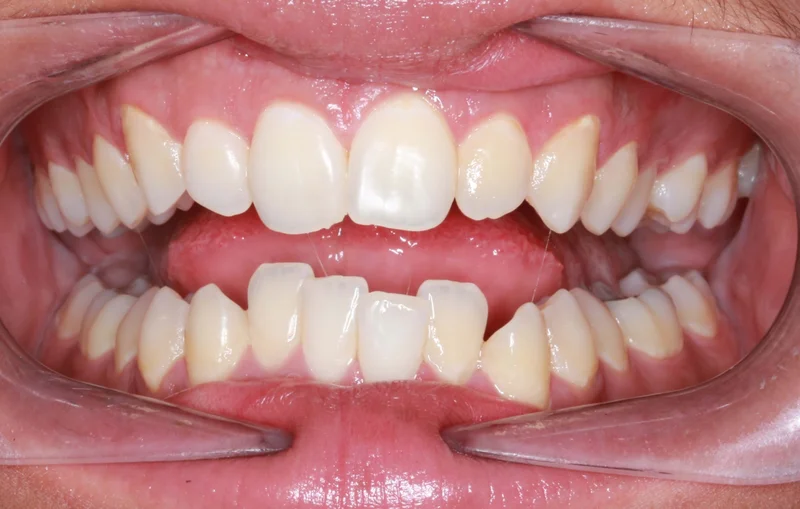
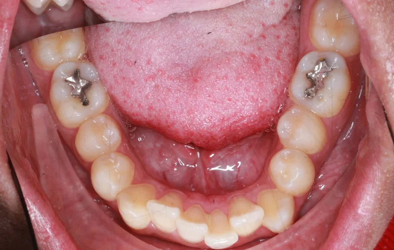
This Las Vegas male came in with a concern about crowdedness. He chose the metal self-ligating braces as his treatment option. In total, he was able to finish treatment in 12 months.

Before & After Photos

Facial Frontal Smiling

Facial Frontal Smiling - Before Treatment
Before
Facial Frontal Smiling - After Treatment
After

Center

Center - Before Treatment
Before
Center - After Treatment
After

Center Open Smile

Center Open Smile - Before Treatment
Before
Center Open Smile - After Treatment
After

Lower Occlusal

Lower Occlusal - Before Treatment
Before
Lower Occlusal - After Treatment
After

Treatments Used

  • Smile Arc Protection
  • Braces
  • Clear Braces
  • Metal Braces
  • Clear Aligners

*Individual results are not guaranteed and may vary from person to person. Images may contain models.

Dr. Saoly Benson

Dr. Saoly Benson

Free consult · up to 60 min
Children & Teens Clear Aligners Hidden Braces Smile Design Adult Treatment
Las Vegas 5.0 (600+ Google Reviews)
Board-certified | 13+ years | 0% financing | 25+ insurance plans
More about Dr. Benson →
Next available: Loading soonest slot...

When works best?

Pick a day that works

SunMonTueWedThuFriSat

Time with Dr. Benson — built around your case, not a clock.
Your consult ends with a written treatment plan, not a verbal quote.

We'll find you a time.

Call or text. A human being here in Las Vegas takes it from there.

Keep Exploring