The Art of Braces

Metal Braces Transformation

Case #90850 | 18 - 29 | Female

Patient Age 18 - 29
Gender Female
Treatment Metal Braces

About This Case

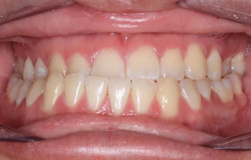
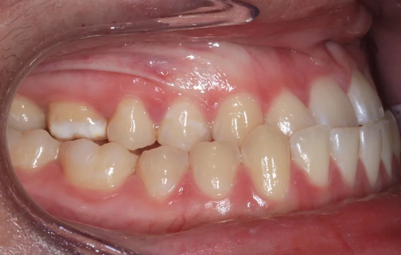
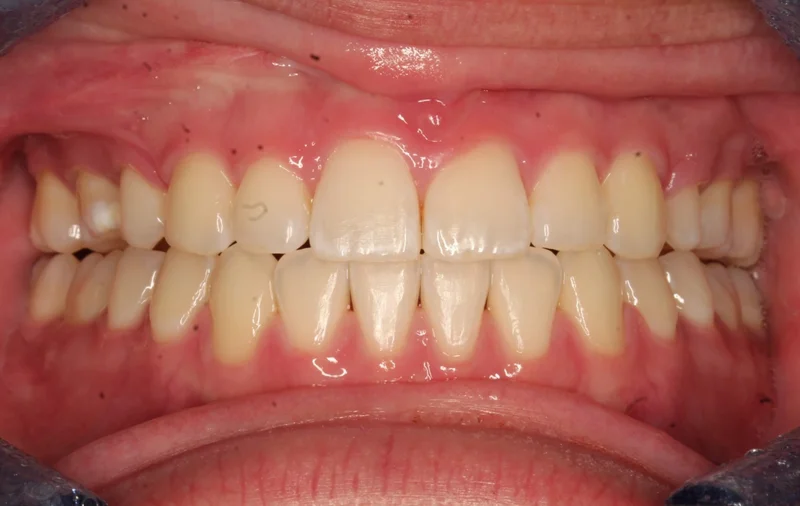
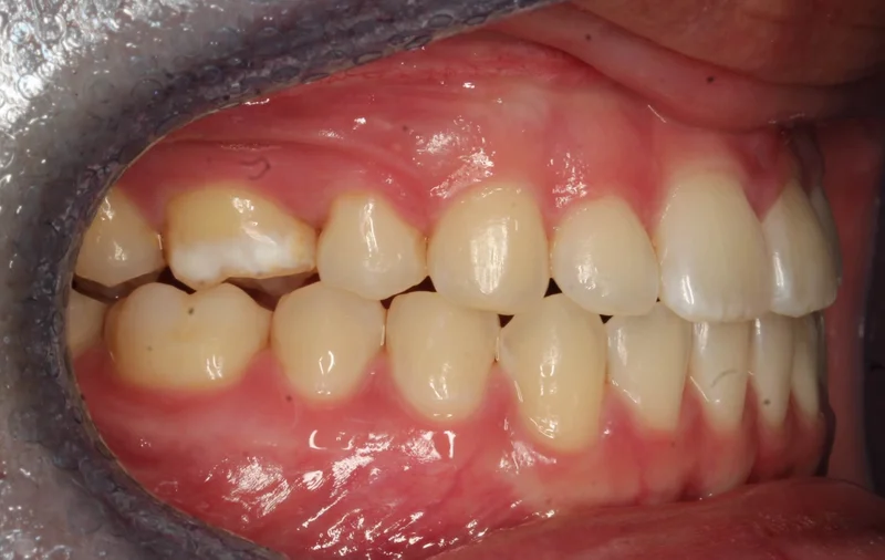
This young woman in Las Vegas came to us with a severe class III malocclusion (underbite) and the only option to correct her bite was with extractions on the upper arch and orthognathic surgery with an oral surgeon. She needed to have two teeth extracted first on the upper arch as part of the presurgical orthodontics to correct the severe proclination of the upper incisors. We first decompensated for this proclination by uprighting the upper incisors and closing the extraction space, which actually makes the overjet worse prior to surgery. She then had a double jaw surgery, including a Le Fort maxillary advancement as well as a mandibular setback. After about 6 weeks of post-surgical healing, she resumed orthodontic treatment to finish up. Her total treatment time was 27 months.

Before & After Photos

Facial Frontal Smiling

Facial Frontal Smiling - Before Treatment
Before
Facial Frontal Smiling - After Treatment
After

Center

Center - Before Treatment
Before
Center - After Treatment
After

Right Buccal

Right Buccal - Before Treatment
Before
Right Buccal - After Treatment
After

Treatments Used

  • Smile Arc Protection
  • Braces
  • Clear Braces
  • Metal Braces
  • Clear Aligners

*Individual results are not guaranteed and may vary from person to person. Images may contain models.

Dr. Saoly Benson

Dr. Saoly Benson

Free consult · up to 60 min
Children & Teens Clear Aligners Hidden Braces Smile Design Adult Treatment
Las Vegas 5.0 (600+ Google Reviews)
Board-certified | 13+ years | 0% financing | 25+ insurance plans
More about Dr. Benson →
Next available: Loading soonest slot...

When works best?

Pick a day that works

SunMonTueWedThuFriSat

Time with Dr. Benson — built around your case, not a clock.
Your consult ends with a written treatment plan, not a verbal quote.

We'll find you a time.

Call or text. A human being here in Las Vegas takes it from there.

Keep Exploring