The Art of Braces

Metal Braces Transformation

Case #87782 | 11 - 17 | Female

Patient Age 11 - 17
Gender Female
Treatment Metal Braces

About This Case

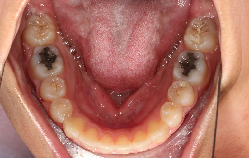
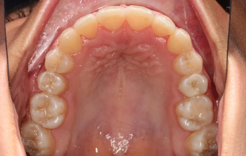
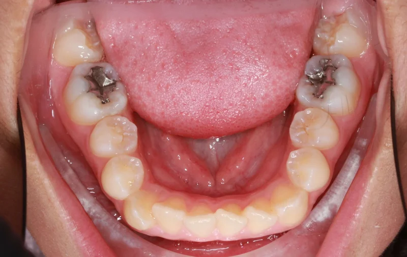
This patient presented with severe crowding on the upper arch with a blocked out and high upper left canine. The patient started treatment with the Carriere Motion appliance to correct her bite first, followed by braces. We were able to treat her non-extraction without flaring the teeth and achieving beautiful smile arc.

Before & After Photos

Facial Frontal Smiling

Facial Frontal Smiling - Before Treatment
Before
Facial Frontal Smiling - After Treatment
After

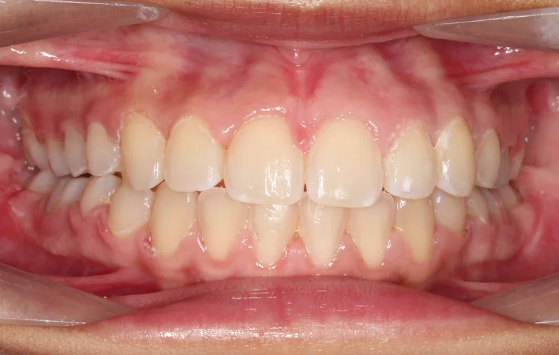
Center

Center - Before Treatment
Before
Center - After Treatment
After

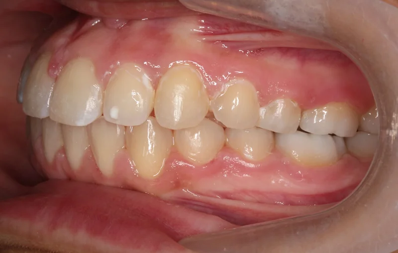
Left Buccal

Left Buccal - Before Treatment
Before
Left Buccal - After Treatment
After

Upper Occlusal

Upper Occlusal - Before Treatment
Before
Upper Occlusal - After Treatment
After

Lower Occlusal

Lower Occlusal - Before Treatment
Before
Lower Occlusal - After Treatment
After

Treatments Used

  • Smile Arc Protection
  • Braces
  • Clear Braces
  • Metal Braces
  • Clear Aligners

*Individual results are not guaranteed and may vary from person to person. Images may contain models.

Dr. Saoly Benson

Dr. Saoly Benson

Free consult · up to 60 min
Children & Teens Clear Aligners Hidden Braces Smile Design Adult Treatment
Las Vegas 5.0 (600+ Google Reviews)
Board-certified | 13+ years | 0% financing | 25+ insurance plans
More about Dr. Benson →
Next available: Loading soonest slot...

When works best?

Pick a day that works

SunMonTueWedThuFriSat

Time with Dr. Benson — built around your case, not a clock.
Your consult ends with a written treatment plan, not a verbal quote.

We'll find you a time.

Call or text. A human being here in Las Vegas takes it from there.

Keep Exploring