The Art of Braces

Metal Braces Transformation

Case #87773 | 11 - 17 | Male

Patient Age 11 - 17
Gender Male
Treatment Metal Braces

About This Case

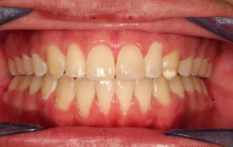
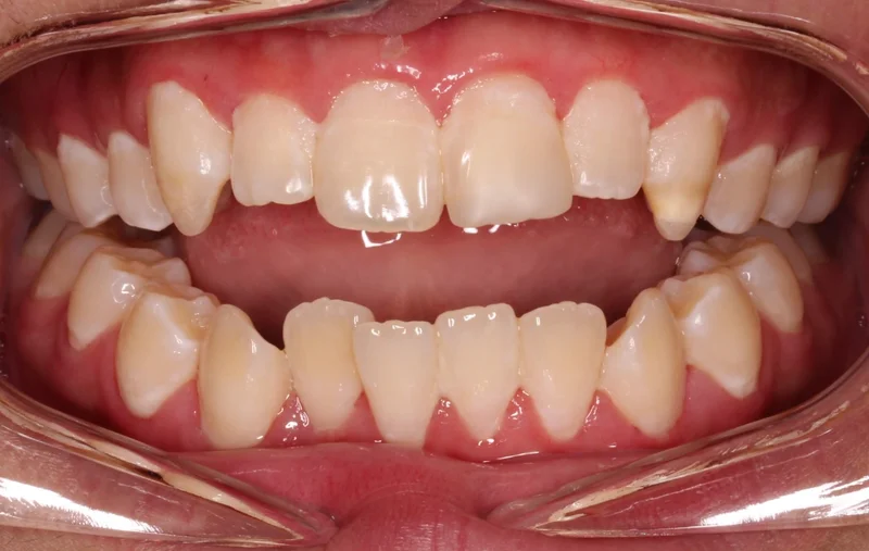
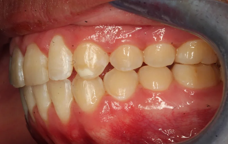
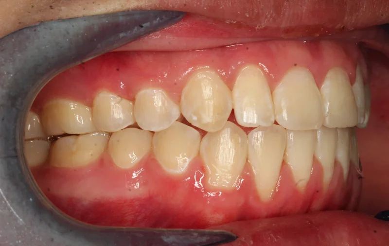
This patient came into our practice with their primary concern being a severe open bite. Both his upper and lower arches were not touching except for his last back molars. He could not even bite into a slice of pizza. His original treatment time estimate was for 36 months with metal braces and a nonsurgical approach. Since he was excellent at wearing his elastics he was able to complete the treatment in only 18 months!

Before & After Photos

Facial Frontal Smiling

Facial Frontal Smiling - Before Treatment
Before
Facial Frontal Smiling - After Treatment
After

Center

Center - Before Treatment
Before
Center - After Treatment
After

Right Buccal

Right Buccal - Before Treatment
Before
Right Buccal - After Treatment
After

Left Buccal

Left Buccal - Before Treatment
Before
Left Buccal - After Treatment
After

Treatments Used

  • Smile Arc Protection
  • Braces
  • Clear Braces
  • Metal Braces
  • Clear Aligners

*Individual results are not guaranteed and may vary from person to person. Images may contain models.

Dr. Saoly Benson

Dr. Saoly Benson

Free consult · up to 60 min
Children & Teens Clear Aligners Hidden Braces Smile Design Adult Treatment
Las Vegas 5.0 (600+ Google Reviews)
Board-certified | 13+ years | 0% financing | 25+ insurance plans
More about Dr. Benson →
Next available: Loading soonest slot...

When works best?

Pick a day that works

SunMonTueWedThuFriSat

Time with Dr. Benson — built around your case, not a clock.
Your consult ends with a written treatment plan, not a verbal quote.

We'll find you a time.

Call or text. A human being here in Las Vegas takes it from there.

Keep Exploring