The Art of Braces

Metal Braces Transformation

Case #87300 | 30 - 39 | Male

Patient Age 30 - 39
Gender Male
Treatment Metal Braces

About This Case

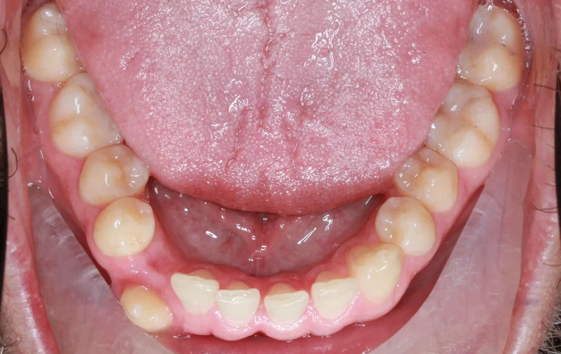
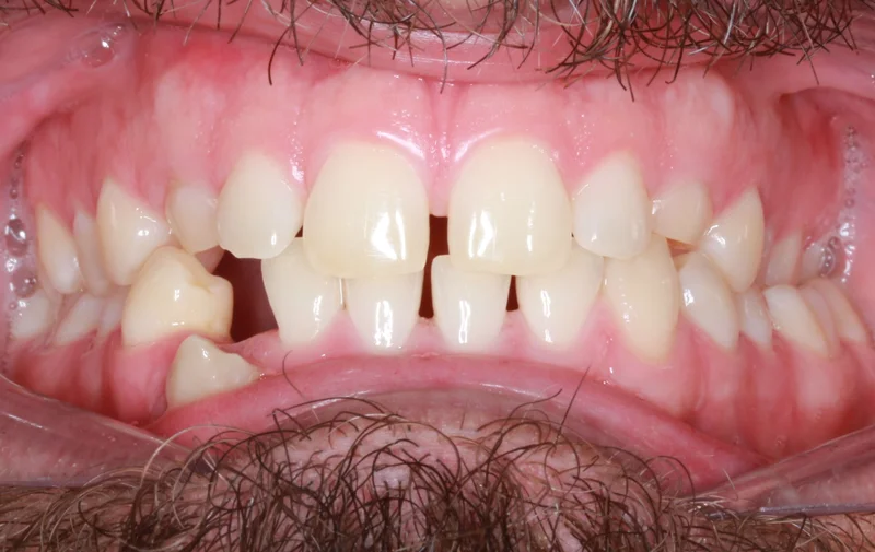
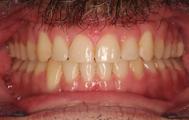
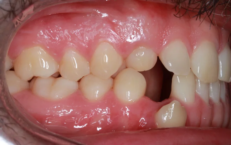
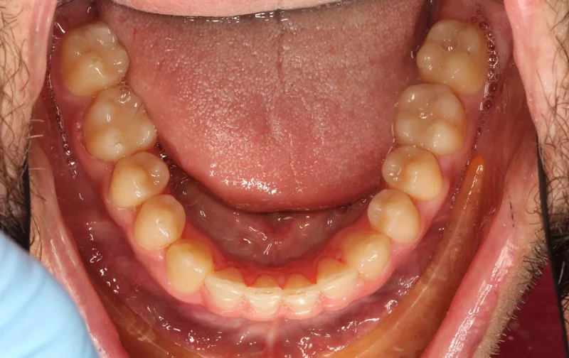
This Las Vegas adult male patient came to the practice with both his upper baby canine teeth still present. Both upper canines were impacted (stuck beneath the bone) and the lower right canine was also significantly out of alignment. Dr. Benson worked with a general practitioner to extract the retained baby teeth and with an oral surgeon to expose and bond chains to the upper canines to bring them down. The patient was able to finish treatment without needing any addidiontal dental work in just 25 months, way sooner than the estimated time of 36 months. Another amazing transformation!

Before & After Photos

Facial Smiling

Facial Smiling - Before Treatment
Before
Facial Smiling - After Treatment
After

Right Buccal

Right Buccal - Before Treatment
Before
Right Buccal - After Treatment
After

Center Bite

Center Bite - Before Treatment
Before
Center Bite - After Treatment
After

Lower Occlusal

Lower Occlusal - Before Treatment
Before
Lower Occlusal - After Treatment
After

Treatments Used

  • Smile Arc Protection
  • Braces
  • Clear Braces
  • Metal Braces
  • Clear Aligners

*Individual results are not guaranteed and may vary from person to person. Images may contain models.

Dr. Saoly Benson

Dr. Saoly Benson

Free consult · up to 60 min
Children & Teens Clear Aligners Hidden Braces Smile Design Adult Treatment
Las Vegas 5.0 (600+ Google Reviews)
Board-certified | 13+ years | 0% financing | 25+ insurance plans
More about Dr. Benson →
Next available: Loading soonest slot...

When works best?

Pick a day that works

SunMonTueWedThuFriSat

Time with Dr. Benson — built around your case, not a clock.
Your consult ends with a written treatment plan, not a verbal quote.

We'll find you a time.

Call or text. A human being here in Las Vegas takes it from there.

Keep Exploring