The Art of Braces

Metal Braces Transformation

Case #86921 | 30 - 39 | Female

Patient Age 30 - 39
Gender Female
Treatment Metal Braces

About This Case

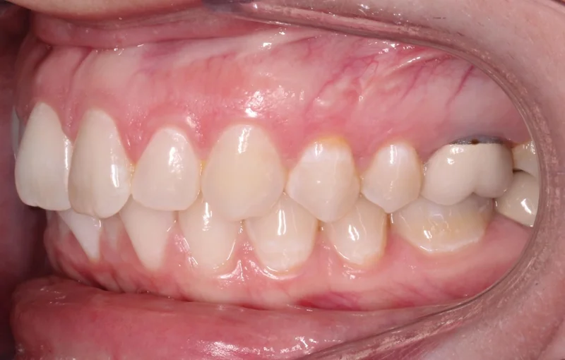
This patient originally had started treatment with Smile Direct Club but was not happy with the progress of her treatment. She had mild upper and lower crowding and went with Metal Braces as part of her orthodontic treatment. Using Pitts21 brackets placed for smile arc protection, her treatment was only 12 Months.

Before & After Photos

Facial Frontal Smiling

Facial Frontal Smiling - Before Treatment
Before
Facial Frontal Smiling - After Treatment
After

Center

Center - Before Treatment
Before
Center - After Treatment
After

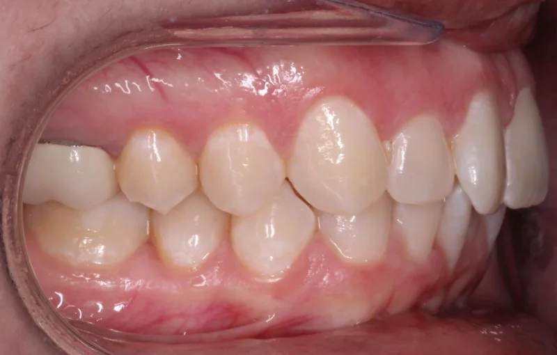
Left Buccal

Left Buccal - Before Treatment
Before
Left Buccal - After Treatment
After

Right Buccal

Right Buccal - Before Treatment
Before
Right Buccal - After Treatment
After

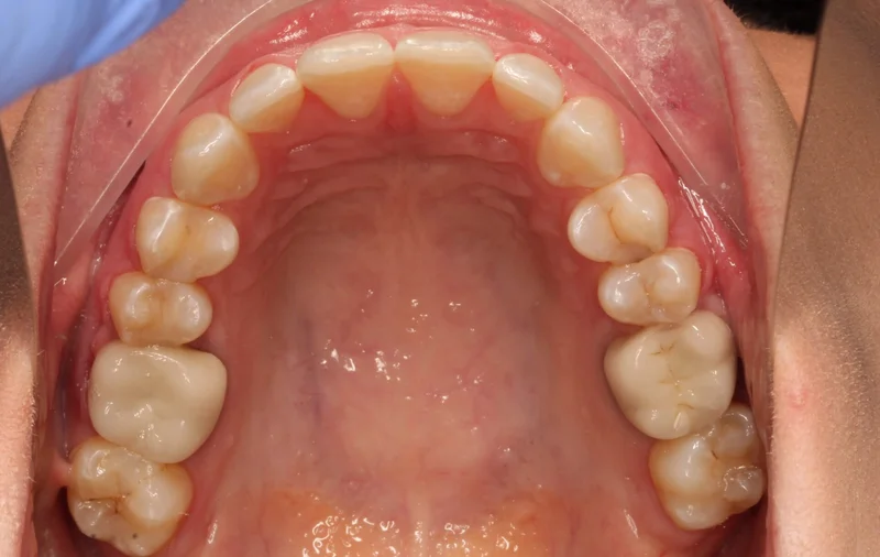
Upper Occlusal

Upper Occlusal - Before Treatment
Before
Upper Occlusal - After Treatment
After

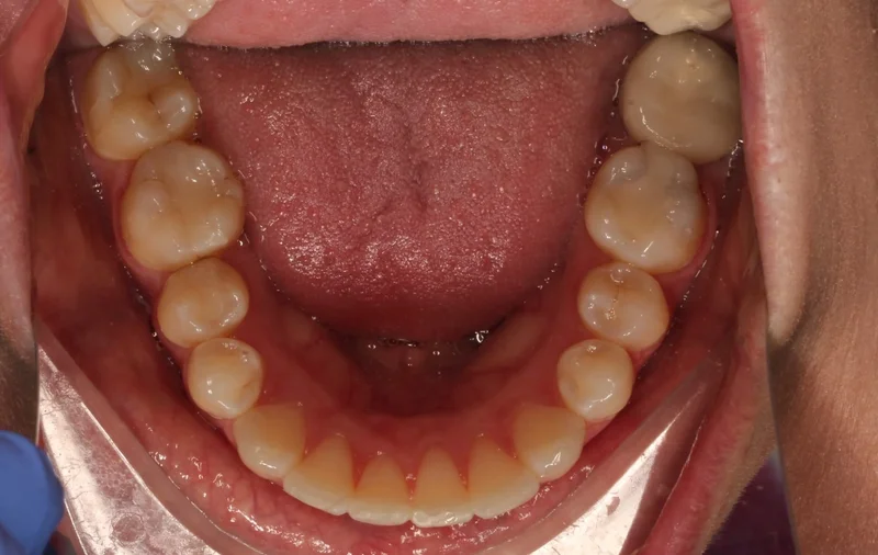
Lower Occlusal

Lower Occlusal - Before Treatment
Before
Lower Occlusal - After Treatment
After

Treatments Used

  • Smile Arc Protection
  • Braces
  • Clear Braces
  • Metal Braces
  • Clear Aligners

*Individual results are not guaranteed and may vary from person to person. Images may contain models.

Dr. Saoly Benson

Dr. Saoly Benson

Free consult · up to 60 min
Children & Teens Clear Aligners Hidden Braces Smile Design Adult Treatment
Las Vegas 5.0 (600+ Google Reviews)
Board-certified | 13+ years | 0% financing | 25+ insurance plans
More about Dr. Benson →
Next available: Loading soonest slot...

When works best?

Pick a day that works

SunMonTueWedThuFriSat

Time with Dr. Benson — built around your case, not a clock.
Your consult ends with a written treatment plan, not a verbal quote.

We'll find you a time.

Call or text. A human being here in Las Vegas takes it from there.

Keep Exploring