The Art of Braces

Clear Braces Transformation

Case #86915 | 40 - 49 | Female

Patient Age 40 - 49
Gender Female
Treatment Clear Braces

About This Case

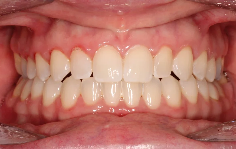
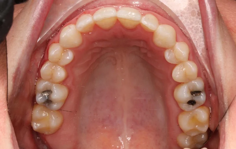
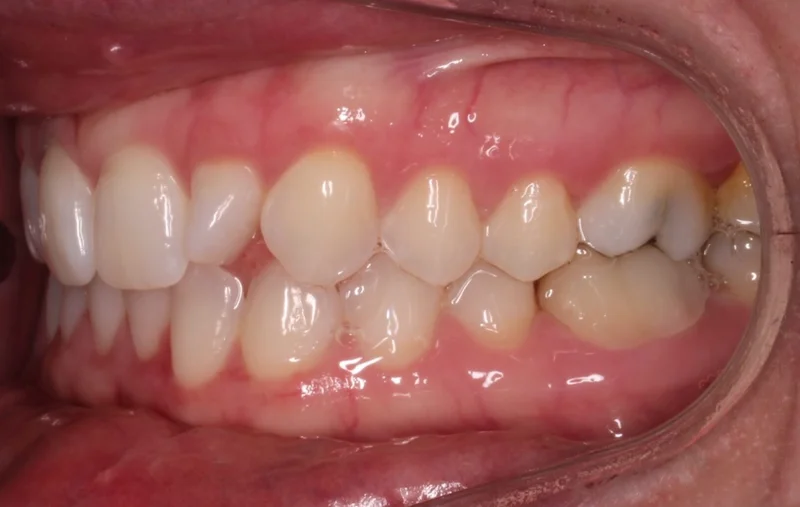
This Las Vegas adult female came in with a chief concern of a severely rotated lateral incisor which was in crossbite with her bottom teeth which also had mild crowding. She ultimately chose Clear Braces as her treatment option to help rotate the tooth.

Before & After Photos

Facial Frontal Smiling

Facial Frontal Smiling - Before Treatment
Before
Facial Frontal Smiling - After Treatment
After

Center

Center - Before Treatment
Before
Center - After Treatment
After

Left Buccal

Left Buccal - Before Treatment
Before
Left Buccal - After Treatment
After

Upper Occlusal

Upper Occlusal - Before Treatment
Before
Upper Occlusal - After Treatment
After

Treatments Used

  • Smile Arc Protection
  • Braces
  • Clear Braces
  • Metal Braces
  • Clear Aligners

*Individual results are not guaranteed and may vary from person to person. Images may contain models.

Dr. Saoly Benson

Dr. Saoly Benson

Free consult · up to 60 min
Children & Teens Clear Aligners Hidden Braces Smile Design Adult Treatment
Las Vegas 5.0 (600+ Google Reviews)
Board-certified | 13+ years | 0% financing | 25+ insurance plans
More about Dr. Benson →
Next available: Loading soonest slot...

When works best?

Pick a day that works

SunMonTueWedThuFriSat

Time with Dr. Benson — built around your case, not a clock.
Your consult ends with a written treatment plan, not a verbal quote.

We'll find you a time.

Call or text. A human being here in Las Vegas takes it from there.

Keep Exploring