The Art of Braces

Metal Braces Transformation

Case #86890 | 11 - 17 | Male

Patient Age 11 - 17
Gender Male
Treatment Metal Braces

About This Case

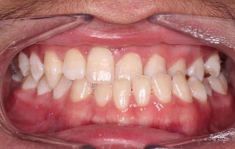
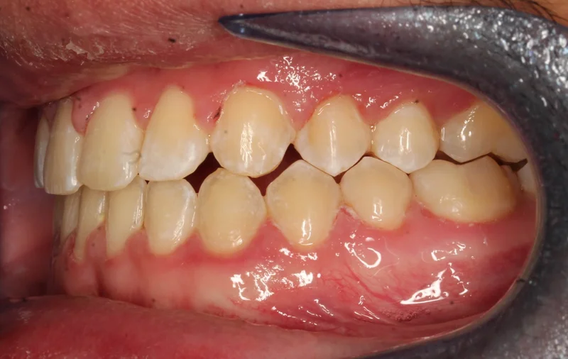
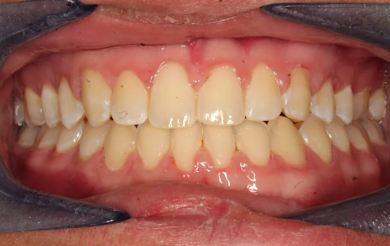
This Las Vegas Teenage Boy came in with a class 3 bite on the right side which means his top teeth on the right were tucked in behind his bottom teeth. He also had a severe crossbite of multiple anterior and posterior teeth on the left side. He was treated in 23 months with Pitts Metal Braces.

Before & After Photos

Center

Center - Before Treatment
Before
Center - After Treatment
After

Left Buccal

Left Buccal - Before Treatment
Before
Left Buccal - After Treatment
After

Right Buccal

Right Buccal - Before Treatment
Before
Right Buccal - After Treatment
After

Treatments Used

  • Smile Arc Protection
  • Braces
  • Clear Braces
  • Metal Braces
  • Clear Aligners

*Individual results are not guaranteed and may vary from person to person. Images may contain models.

Dr. Saoly Benson

Dr. Saoly Benson

Free consult · up to 60 min
Children & Teens Clear Aligners Hidden Braces Smile Design Adult Treatment
Las Vegas 5.0 (600+ Google Reviews)
Board-certified | 13+ years | 0% financing | 25+ insurance plans
More about Dr. Benson →
Next available: Loading soonest slot...

When works best?

Pick a day that works

SunMonTueWedThuFriSat

Time with Dr. Benson — built around your case, not a clock.
Your consult ends with a written treatment plan, not a verbal quote.

We'll find you a time.

Call or text. A human being here in Las Vegas takes it from there.

Keep Exploring