The Art of Braces

Metal Braces Transformation

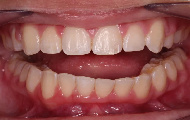
Case #85061 | 11 - 17 | Female

Patient Age 11 - 17
Gender Female
Treatment Metal Braces

About This Case

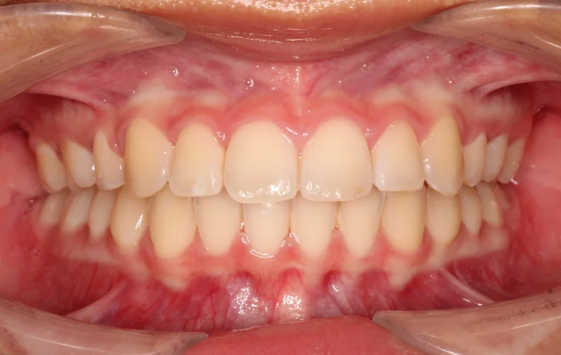
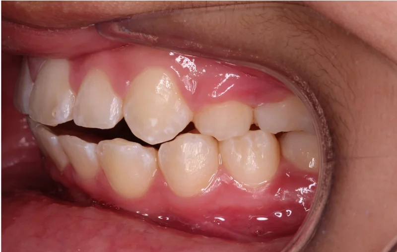
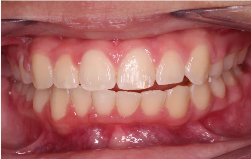
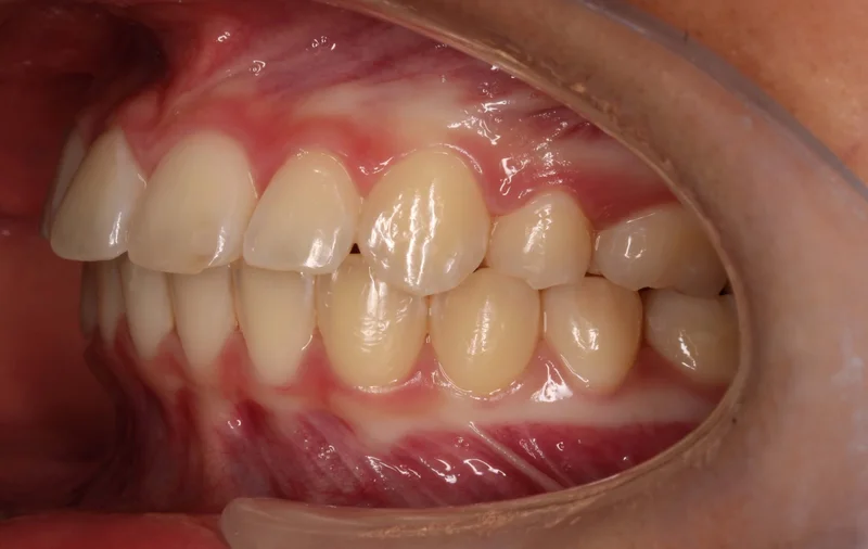
This Las Vegas female teen transfer patient came to the office with protruding teeth, an anterior open bite, and an uneven lower smile line from previous orthodontic treatment. Dr. Benson switched her to Pitts21 self-ligating brackets and her treatment was finished in 18 months.

Before & After Photos

Facial Smiling

Facial Smiling - Before Treatment
Before
Facial Smiling - After Treatment
After

Center Open

Center Open - Before Treatment
Before
Center Open - After Treatment
After

Center Bite

Center Bite - Before Treatment
Before
Center Bite - After Treatment
After

Left Buccal

Left Buccal - Before Treatment
Before
Left Buccal - After Treatment
After

Treatments Used

  • Smile Arc Protection
  • Braces
  • Clear Braces
  • Metal Braces
  • Clear Aligners

*Individual results are not guaranteed and may vary from person to person. Images may contain models.

Dr. Saoly Benson

Dr. Saoly Benson

Free consult · up to 60 min
Children & Teens Clear Aligners Hidden Braces Smile Design Adult Treatment
Las Vegas 5.0 (600+ Google Reviews)
Board-certified | 13+ years | 0% financing | 25+ insurance plans
More about Dr. Benson →
Next available: Loading soonest slot...

When works best?

Pick a day that works

SunMonTueWedThuFriSat

Time with Dr. Benson — built around your case, not a clock.
Your consult ends with a written treatment plan, not a verbal quote.

We'll find you a time.

Call or text. A human being here in Las Vegas takes it from there.

Keep Exploring