The Art of Braces

Clear Aligners Transformation

Case #85058 | 30 - 39 | Female

Patient Age 30 - 39
Gender Female
Treatment Clear Aligners

About This Case

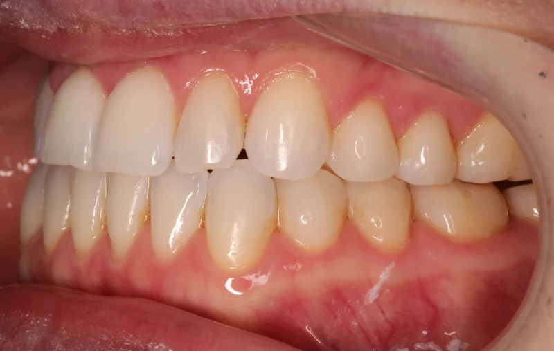
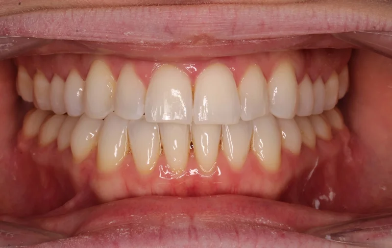
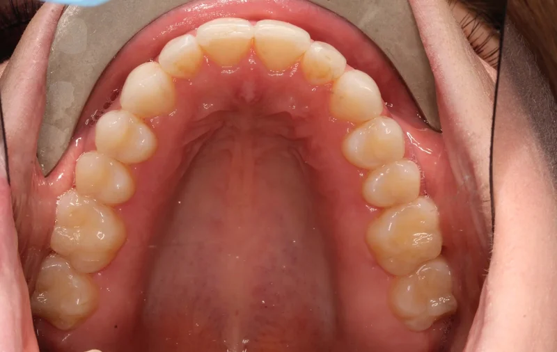
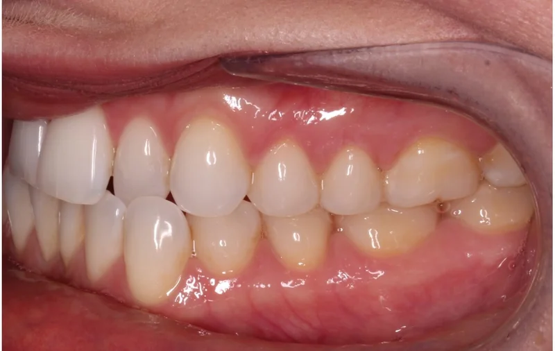
This Las Vegas adult patient came to the office with crowding and several anterior teeth in cross-bite. Dr. Benson successfully treated her in aligners. Patient decided to also get veneers after orthodontic treatment was completed. The veneers helped tremendously with the overall aesthetics since her lateral incisors were small before. Patient finished her treatment within the estimated time of 16 months.

Before & After Photos

Facial Smiling

Facial Smiling - Before Treatment
Before
Facial Smiling - After Treatment
After

Upper Occlusal

Upper Occlusal - Before Treatment
Before
Upper Occlusal - After Treatment
After

Center Bite

Center Bite - Before Treatment
Before
Center Bite - After Treatment
After

Left Buccal

Left Buccal - Before Treatment
Before
Left Buccal - After Treatment
After

Treatments Used

  • Smile Arc Protection
  • Braces
  • Clear Braces
  • Metal Braces
  • Clear Aligners

*Individual results are not guaranteed and may vary from person to person. Images may contain models.

Dr. Saoly Benson

Dr. Saoly Benson

Free consult · up to 60 min
Children & Teens Clear Aligners Hidden Braces Smile Design Adult Treatment
Las Vegas 5.0 (600+ Google Reviews)
Board-certified | 13+ years | 0% financing | 25+ insurance plans
More about Dr. Benson →
Next available: Loading soonest slot...

When works best?

Pick a day that works

SunMonTueWedThuFriSat

Time with Dr. Benson — built around your case, not a clock.
Your consult ends with a written treatment plan, not a verbal quote.

We'll find you a time.

Call or text. A human being here in Las Vegas takes it from there.

Keep Exploring