The Art of Braces

Metal Braces Transformation

Case #84847 | Unknown | Female

Patient Age Unknown
Gender Female
Treatment Metal Braces

About This Case

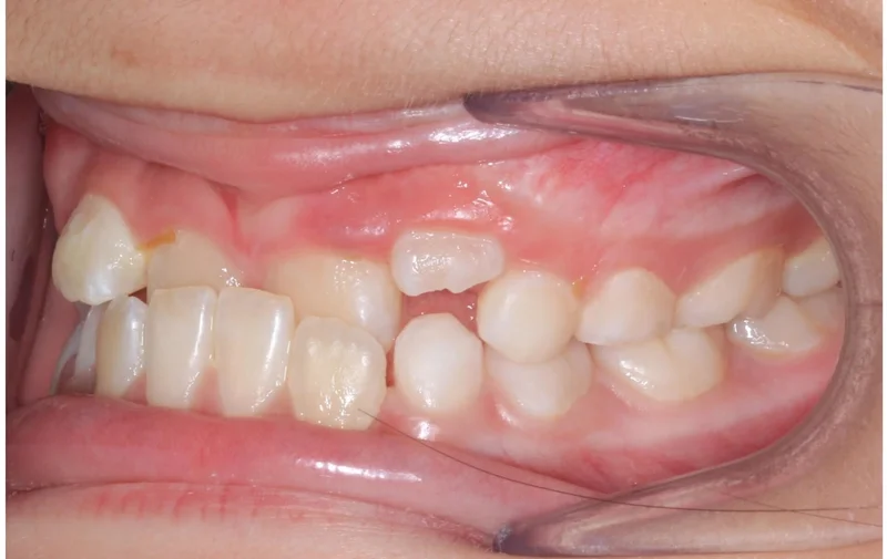
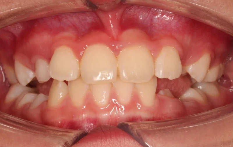
This Las Vegas female child patient came to the practice with an anterior and unilateral posterior cross-bite, crowding, and narrow upper jaw. Dr. Benson widened her upper jaw with an expander and braces on her upper permanent teeth to improve the alignment of the front teeth. Now the rest of her teeth will have plenty of room to grow in. When the rest of the permanent teeth will come in, she will require a second set of braces to align the rest of the teeth, but the treatment time should be minimal because of the work that was completed in Phase I treatment.

Before & After Photos

Facial Smiling

Facial Smiling - Before Treatment
Before
Facial Smiling - After Treatment
After

Upper Occlusal

Upper Occlusal - Before Treatment
Before
Upper Occlusal - After Treatment
After

Center Bite

Center Bite - Before Treatment
Before
Center Bite - After Treatment
After

Left Buccal

Left Buccal - Before Treatment
Before
Left Buccal - After Treatment
After

Treatments Used

  • Smile Arc Protection
  • Braces
  • Clear Braces
  • Metal Braces
  • Clear Aligners

*Individual results are not guaranteed and may vary from person to person. Images may contain models.

Dr. Saoly Benson

Dr. Saoly Benson

Free consult · up to 60 min
Children & Teens Clear Aligners Hidden Braces Smile Design Adult Treatment
Las Vegas 5.0 (600+ Google Reviews)
Board-certified | 13+ years | 0% financing | 25+ insurance plans
More about Dr. Benson →
Next available: Loading soonest slot...

When works best?

Pick a day that works

SunMonTueWedThuFriSat

Time with Dr. Benson — built around your case, not a clock.
Your consult ends with a written treatment plan, not a verbal quote.

We'll find you a time.

Call or text. A human being here in Las Vegas takes it from there.

Keep Exploring