The Art of Braces

Metal Braces Transformation

Case #84765 | 18 - 29 | Female

Patient Age 18 - 29
Gender Female
Treatment Metal Braces

About This Case

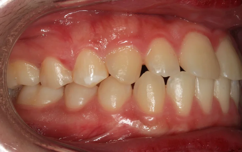
This Las Vegas adult female patient came to the office with a missing lower left first molar, spaces and a cross-bite on her upper right canine. Luckily, patient still had her second as well as third molars, so Dr. Benson was able to move both the lower left second and third molars forward to close the space, saving the patient from having to get an implant. Patient was done with her treatment within 24 months.

Before & After Photos

Lower Occlusal

Lower Occlusal - Before Treatment
Before
Lower Occlusal - After Treatment
After

Right Buccal

Right Buccal - Before Treatment
Before
Right Buccal - After Treatment
After

Center Bite

Center Bite - Before Treatment
Before
Center Bite - After Treatment
After

Treatments Used

  • Smile Arc Protection
  • Braces
  • Clear Braces
  • Metal Braces
  • Clear Aligners

*Individual results are not guaranteed and may vary from person to person. Images may contain models.

Dr. Saoly Benson

Dr. Saoly Benson

Free consult · up to 60 min
Children & Teens Clear Aligners Hidden Braces Smile Design Adult Treatment
Las Vegas 5.0 (600+ Google Reviews)
Board-certified | 13+ years | 0% financing | 25+ insurance plans
More about Dr. Benson →
Next available: Loading soonest slot...

When works best?

Pick a day that works

SunMonTueWedThuFriSat

Time with Dr. Benson — built around your case, not a clock.
Your consult ends with a written treatment plan, not a verbal quote.

We'll find you a time.

Call or text. A human being here in Las Vegas takes it from there.

Keep Exploring