The Art of Braces

Clear Braces Transformation

Case #84719 | 40 - 49 | Female

Patient Age 40 - 49
Gender Female
Treatment Clear Braces

About This Case

This Las Vegas female adult patient came to the clinic needing a significant midline correction after having received 4 crowns on her front teeth in the past. Dr. Benson worked with the patient's dentist to reshape the crowns and get the midlines centered. Patient finished her treatment in 18 months.

Before & After Photos

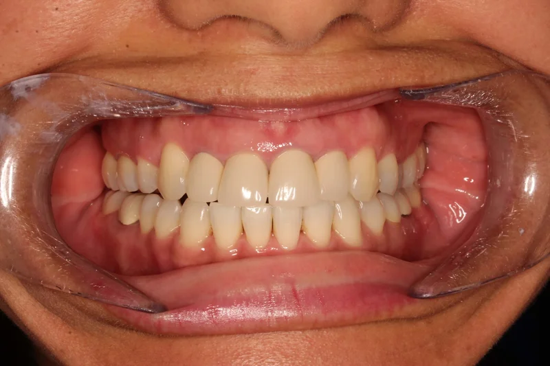
Facial Smiling

Facial Smiling - Before Treatment
Before
Facial Smiling - After Treatment
After

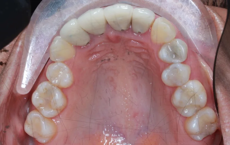
Upper Occlusal

Upper Occlusal - Before Treatment
Before
Upper Occlusal - After Treatment
After

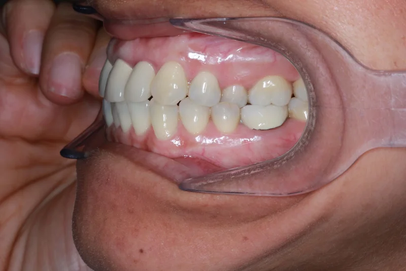
Center Bite

Center Bite - Before Treatment
Before
Center Bite - After Treatment
After

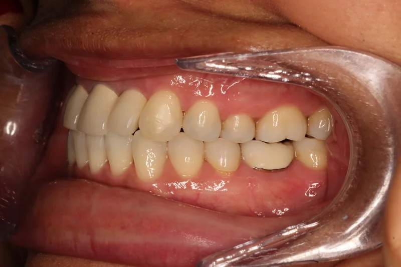
Left Buccal

Left Buccal - Before Treatment
Before
Left Buccal - After Treatment
After

Treatments Used

  • Smile Arc Protection
  • Braces
  • Clear Braces
  • Metal Braces
  • Clear Aligners

*Individual results are not guaranteed and may vary from person to person. Images may contain models.

Dr. Saoly Benson

Dr. Saoly Benson

Free consult · up to 60 min
Children & Teens Clear Aligners Hidden Braces Smile Design Adult Treatment
Las Vegas 5.0 (600+ Google Reviews)
Board-certified | 13+ years | 0% financing | 25+ insurance plans
More about Dr. Benson →
Next available: Loading soonest slot...

When works best?

Pick a day that works

SunMonTueWedThuFriSat

Time with Dr. Benson — built around your case, not a clock.
Your consult ends with a written treatment plan, not a verbal quote.

We'll find you a time.

Call or text. A human being here in Las Vegas takes it from there.

Keep Exploring