The Art of Braces

Metal Braces Transformation

Case #84714 | 11 - 17 | Female

Patient Age 11 - 17
Gender Female
Treatment Metal Braces

About This Case

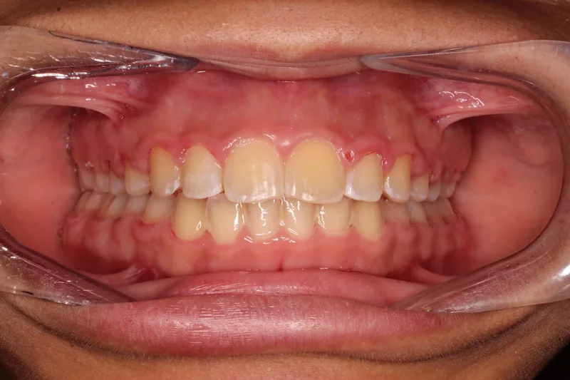
This Las Vegas teen patient came to the practice with an open bite and spaces from a tongue thrust habit. Dr. Benson added tongue tamers to prevent the patient from tongue thrusting. With patient's compliance with her elastic wear, her treatment was completed in 14 months, less than the estimated time of 15 months.

Before & After Photos

Facial Smiling

Facial Smiling - Before Treatment
Before
Facial Smiling - After Treatment
After

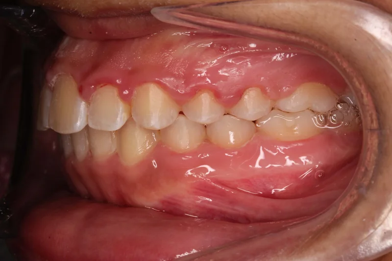
Right Buccal

Right Buccal - Before Treatment
Before
Right Buccal - After Treatment
After

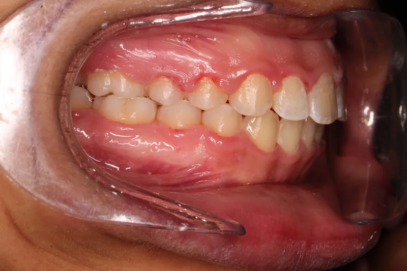
Center Bite

Center Bite - Before Treatment
Before
Center Bite - After Treatment
After

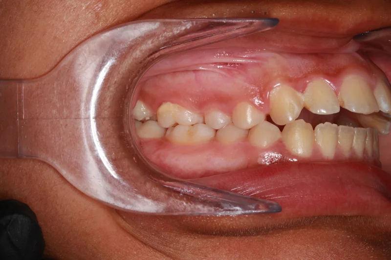
Left Buccal

Left Buccal - Before Treatment
Before
Left Buccal - After Treatment
After

Treatments Used

  • Smile Arc Protection
  • Braces
  • Clear Braces
  • Metal Braces
  • Clear Aligners

*Individual results are not guaranteed and may vary from person to person. Images may contain models.

Dr. Saoly Benson

Dr. Saoly Benson

Free consult · up to 60 min
Children & Teens Clear Aligners Hidden Braces Smile Design Adult Treatment
Las Vegas 5.0 (600+ Google Reviews)
Board-certified | 13+ years | 0% financing | 25+ insurance plans
More about Dr. Benson →
Next available: Loading soonest slot...

When works best?

Pick a day that works

SunMonTueWedThuFriSat

Time with Dr. Benson — built around your case, not a clock.
Your consult ends with a written treatment plan, not a verbal quote.

We'll find you a time.

Call or text. A human being here in Las Vegas takes it from there.

Keep Exploring