The Art of Braces

Clear Aligners Transformation

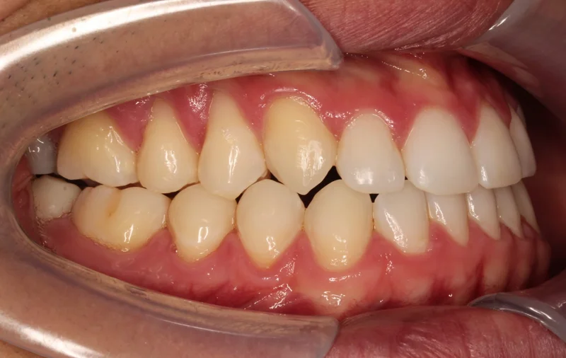
Case #84703 | 18 - 29 | Male

Patient Age 18 - 29
Gender Male
Treatment Clear Aligners

About This Case

This Las Vegas adult male was told that the only way to correct his underbite and crossbite was with surgery. The patient wanted to avoid surgery and discovered the Carriere Motion appliance while doing his research for nonsurgical alternatives. Using the Carriere Motion appliance and removable clear aligners, we were able to correct this patient's bite WITHOUT surgery and WITHOUT braces in just over 2 years!

Before & After Photos

Right Buccal

Right Buccal - Before Treatment
Before
Right Buccal - After Treatment
After

Left Buccal

Left Buccal - Before Treatment
Before
Left Buccal - After Treatment
After

Center

Center - Before Treatment
Before
Center - After Treatment
After

Treatments Used

  • Smile Arc Protection
  • Braces
  • Clear Braces
  • Metal Braces
  • Clear Aligners

*Individual results are not guaranteed and may vary from person to person. Images may contain models.

Dr. Saoly Benson

Dr. Saoly Benson

Free consult · up to 60 min
Children & Teens Clear Aligners Hidden Braces Smile Design Adult Treatment
Las Vegas 5.0 (600+ Google Reviews)
Board-certified | 13+ years | 0% financing | 25+ insurance plans
More about Dr. Benson →
Next available: Loading soonest slot...

When works best?

Pick a day that works

SunMonTueWedThuFriSat

Time with Dr. Benson — built around your case, not a clock.
Your consult ends with a written treatment plan, not a verbal quote.

We'll find you a time.

Call or text. A human being here in Las Vegas takes it from there.

Keep Exploring