The Art of Braces

Clear Braces Transformation

Case #84663 | 11 - 17 | Female

Patient Age 11 - 17
Gender Female
Treatment Clear Braces

About This Case

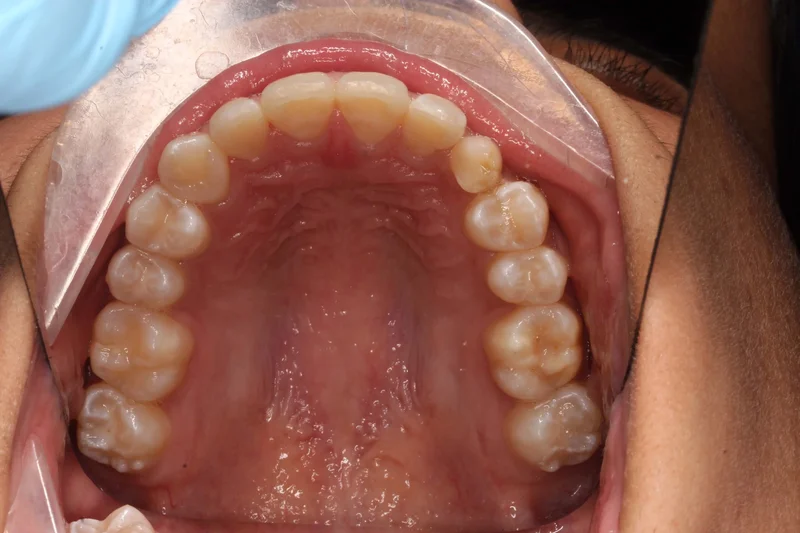
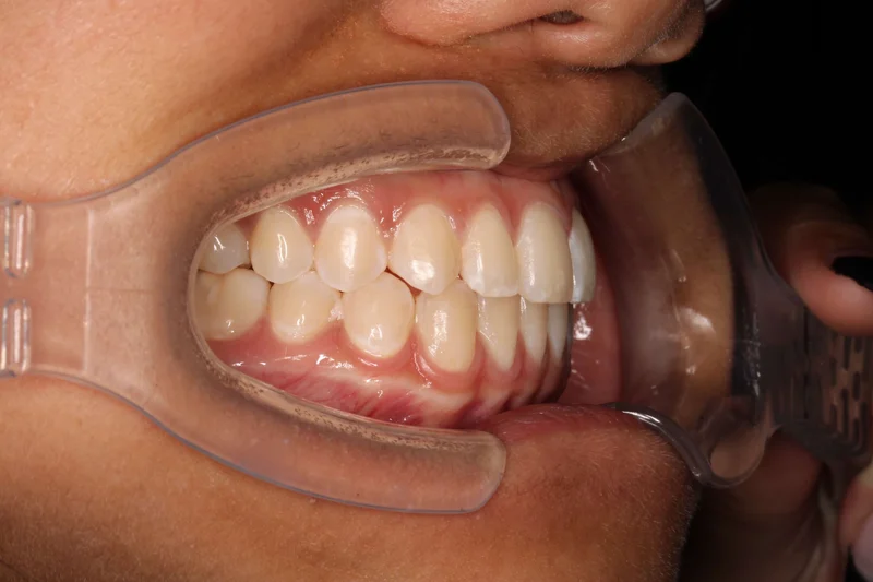
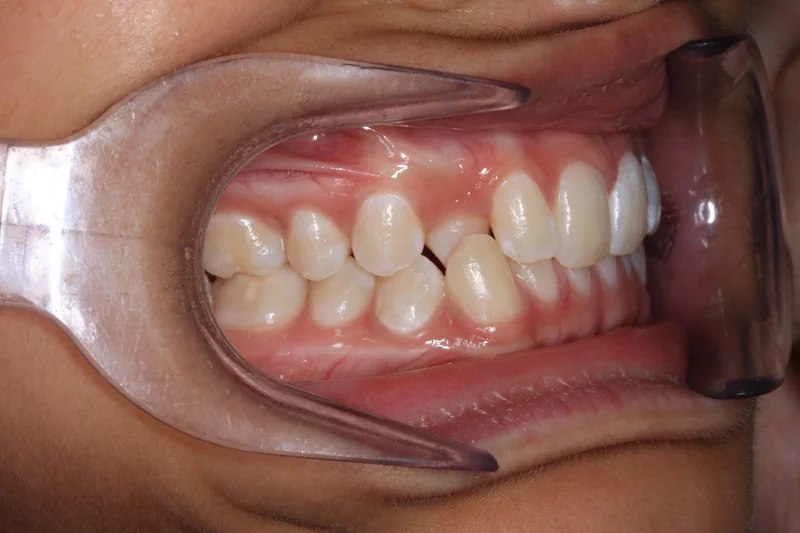
This Las Vegas teen patient came in with crowding and a crossbite of her upper right canine. She was also congenitally missing her upper left canine, so Dr. Benson treated her with the baby tooth still in place. When orthodontic treatment was finished, a crown was placed on the baby tooth. Dr. Benson treated her with Clear/Ceramic braces, and she completed her treatment in 17 months.

Before & After Photos

Facial Smiling

Facial Smiling - Before Treatment
Before
Facial Smiling - After Treatment
After

Right Buccal

Right Buccal - Before Treatment
Before
Right Buccal - After Treatment
After

Center Closed

Center Closed - Before Treatment
Before
Center Closed - After Treatment
After

Upper Occlusal

Upper Occlusal - Before Treatment
Before
Upper Occlusal - After Treatment
After

Treatments Used

  • Smile Arc Protection
  • Braces
  • Clear Braces
  • Metal Braces
  • Clear Aligners

*Individual results are not guaranteed and may vary from person to person. Images may contain models.

Dr. Saoly Benson

Dr. Saoly Benson

Free consult · up to 60 min
Children & Teens Clear Aligners Hidden Braces Smile Design Adult Treatment
Las Vegas 5.0 (600+ Google Reviews)
Board-certified | 13+ years | 0% financing | 25+ insurance plans
More about Dr. Benson →
Next available: Loading soonest slot...

When works best?

Pick a day that works

SunMonTueWedThuFriSat

Time with Dr. Benson — built around your case, not a clock.
Your consult ends with a written treatment plan, not a verbal quote.

We'll find you a time.

Call or text. A human being here in Las Vegas takes it from there.

Keep Exploring