The Art of Braces

Clear Aligners Transformation

Case #79061 | 18 - 29 | Female

Patient Age 18 - 29
Gender Female
Treatment Clear Aligners

About This Case

This patient presented with a unilateral class II malocclusion (her bite was off on one side) as well as improperly angled front teeth. She originally started in a Carriere appliance to correct her bite. After 4 months with just the Carriere appliance, she was scanned to finish her treatment in removable clear aligners.

Before & After Photos

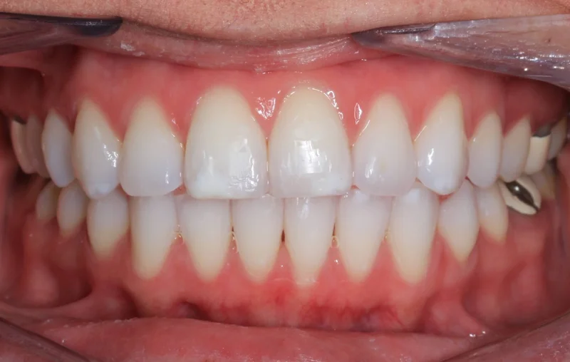
Facial Smiling

Facial Smiling - Before Treatment
Before
Facial Smiling - After Treatment
After

Center Bite

Center Bite - Before Treatment
Before
Center Bite - After Treatment
After

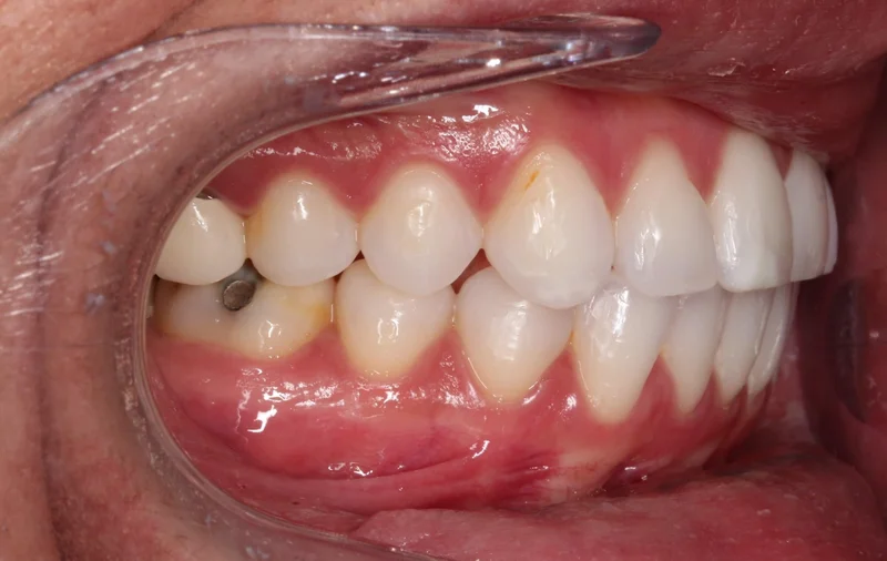
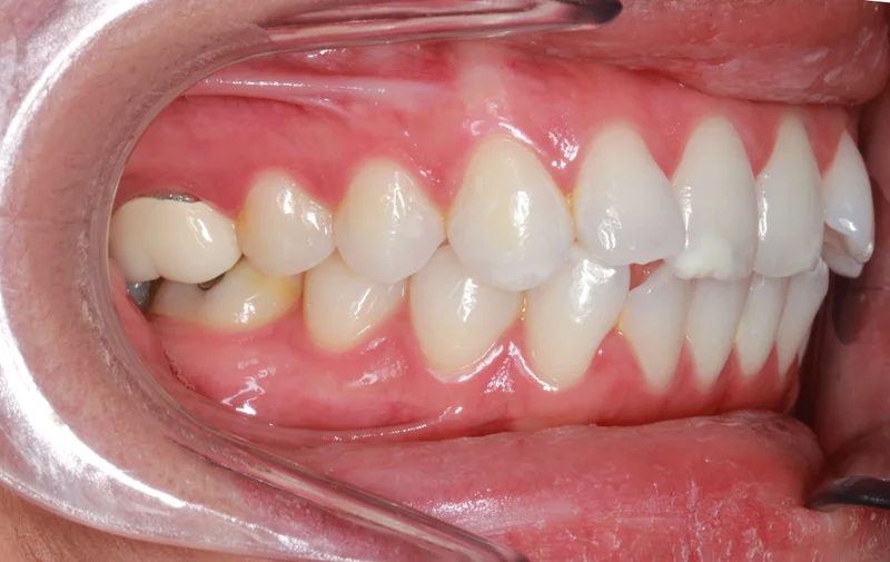
Right Buccal

Right Buccal - Before Treatment
Before
Right Buccal - After Treatment
After

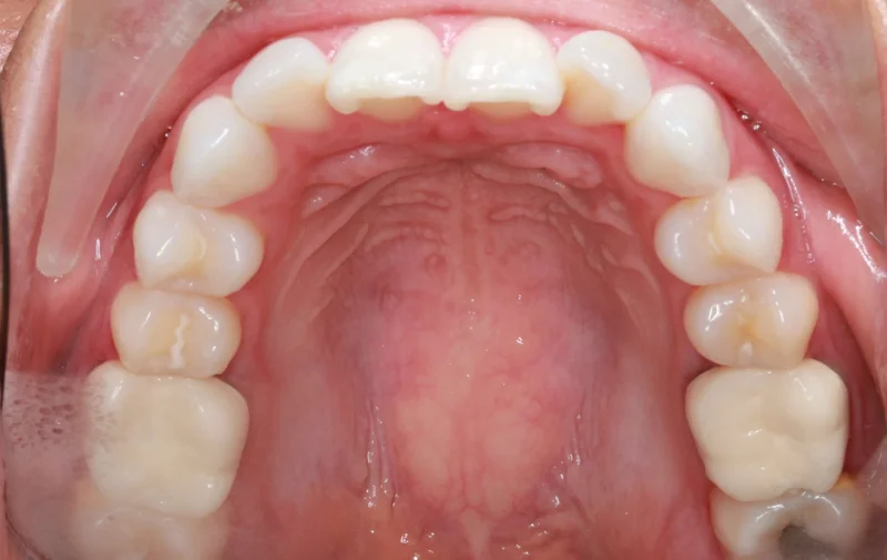
Upper Occlusal

Upper Occlusal - Before Treatment
Before
Upper Occlusal - After Treatment
After

Treatments Used

  • Smile Arc Protection
  • Braces
  • Clear Braces
  • Metal Braces
  • Clear Aligners

*Individual results are not guaranteed and may vary from person to person. Images may contain models.

Dr. Saoly Benson

Dr. Saoly Benson

Free consult · up to 60 min
Children & Teens Clear Aligners Hidden Braces Smile Design Adult Treatment
Las Vegas 5.0 (600+ Google Reviews)
Board-certified | 13+ years | 0% financing | 25+ insurance plans
More about Dr. Benson →
Next available: Loading soonest slot...

When works best?

Pick a day that works

SunMonTueWedThuFriSat

Time with Dr. Benson — built around your case, not a clock.
Your consult ends with a written treatment plan, not a verbal quote.

We'll find you a time.

Call or text. A human being here in Las Vegas takes it from there.

Keep Exploring