The Art of Braces

Clear Aligners Transformation

Case #74384 | 11 - 17 | Female

Patient Age 11 - 17
Gender Female
Treatment Clear Aligners

About This Case

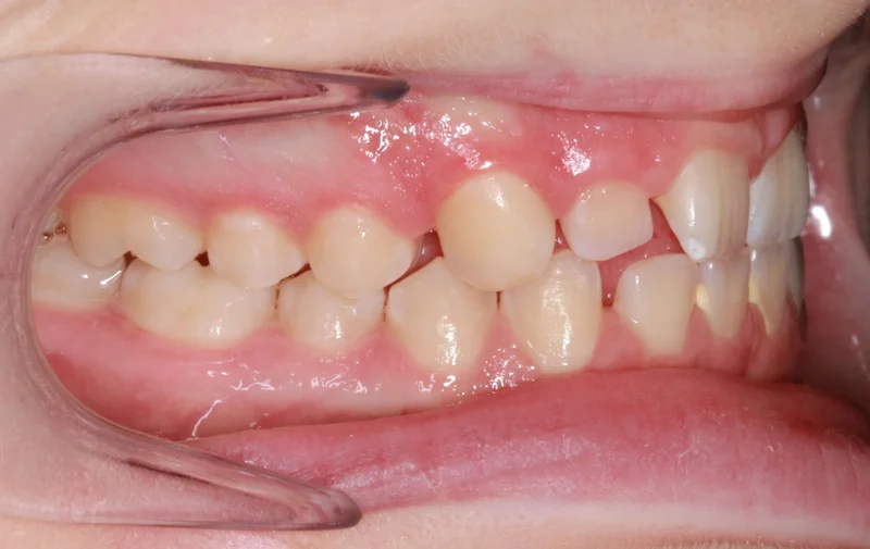
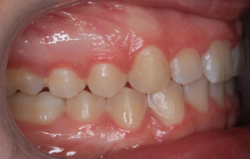
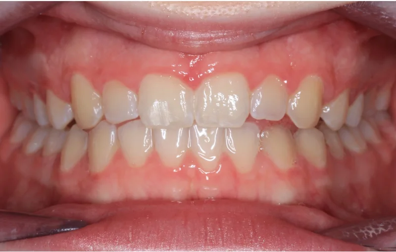
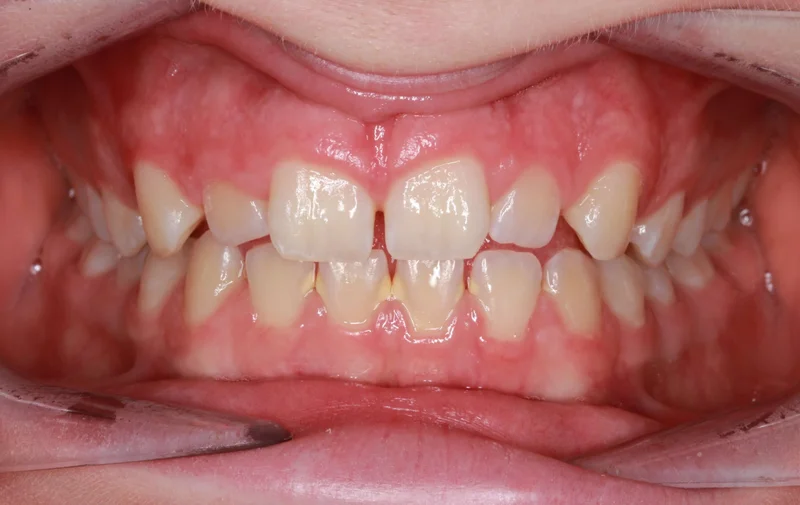
This Las Vegas Female Teen Patient presented with moderate spacing upper and lower, an edge to edge bite with an open bite tendency. Dr. Benson treated her with aligners since she was going to be going away for college. The patient came back to see us on her college breaks, and we completed her treatment in 25 months. We are so happy with her final results. She now has a beautiful, confident smile!

Before & After Photos

Facial Smiling

Facial Smiling - Before Treatment
Before
Facial Smiling - After Treatment
After

Right Side Bite

Right Side Bite - Before Treatment
Before
Right Side Bite - After Treatment
After

Center Bite

Center Bite - Before Treatment
Before
Center Bite - After Treatment
After

Upper Arch

Upper Arch - Before Treatment
Before
Upper Arch - After Treatment
After

Treatments Used

  • Smile Arc Protection
  • Braces
  • Clear Braces
  • Metal Braces
  • Clear Aligners

*Individual results are not guaranteed and may vary from person to person. Images may contain models.

Dr. Saoly Benson

Dr. Saoly Benson

Free consult · up to 60 min
Children & Teens Clear Aligners Hidden Braces Smile Design Adult Treatment
Las Vegas 5.0 (600+ Google Reviews)
Board-certified | 13+ years | 0% financing | 25+ insurance plans
More about Dr. Benson →
Next available: Loading soonest slot...

When works best?

Pick a day that works

SunMonTueWedThuFriSat

Time with Dr. Benson — built around your case, not a clock.
Your consult ends with a written treatment plan, not a verbal quote.

We'll find you a time.

Call or text. A human being here in Las Vegas takes it from there.

Keep Exploring