The Art of Braces

Metal Braces Transformation

Case #74377 | 18 - 29 | Male

Patient Age 18 - 29
Gender Male
Treatment Metal Braces

About This Case

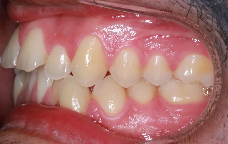
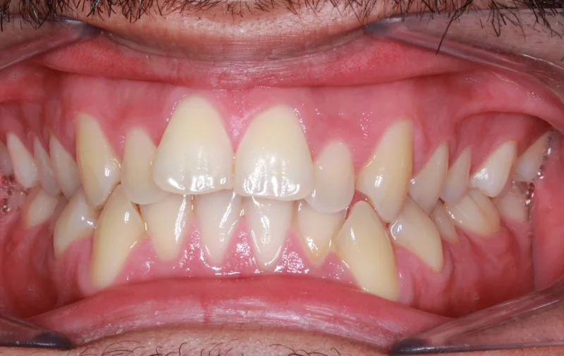
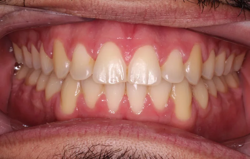
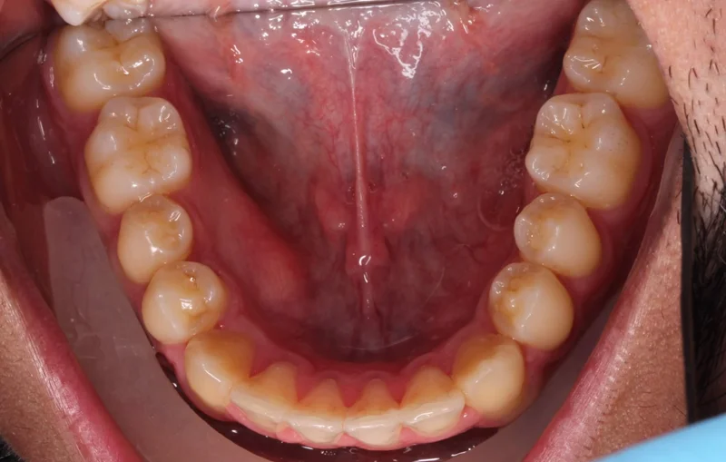
This Las Vegas Adult Male Patient presented with multiple supernumerary (extra) teeth, moderate crowding in both arches, and multiple teeth in crossbite. Dr. Benson treated this patient using Pitts 21 brackets in 14 months after having all of the supernumerary teeth removed by the oral surgeon. We are honored to have been part of his Smile Journey!

Before & After Photos

Facial Smiling

Facial Smiling - Before Treatment
Before
Facial Smiling - After Treatment
After

Lower Arch

Lower Arch - Before Treatment
Before
Lower Arch - After Treatment
After

Center Bite

Center Bite - Before Treatment
Before
Center Bite - After Treatment
After

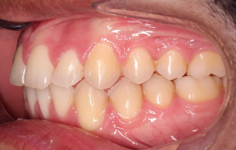
Left Side Bite

Left Side Bite - Before Treatment
Before
Left Side Bite - After Treatment
After

Treatments Used

  • Smile Arc Protection
  • Braces
  • Clear Braces
  • Metal Braces
  • Clear Aligners

*Individual results are not guaranteed and may vary from person to person. Images may contain models.

Dr. Saoly Benson

Dr. Saoly Benson

Free consult · up to 60 min
Children & Teens Clear Aligners Hidden Braces Smile Design Adult Treatment
Las Vegas 5.0 (600+ Google Reviews)
Board-certified | 13+ years | 0% financing | 25+ insurance plans
More about Dr. Benson →
Next available: Loading soonest slot...

When works best?

Pick a day that works

SunMonTueWedThuFriSat

Time with Dr. Benson — built around your case, not a clock.
Your consult ends with a written treatment plan, not a verbal quote.

We'll find you a time.

Call or text. A human being here in Las Vegas takes it from there.

Keep Exploring