The Art of Braces

Clear Aligners Transformation

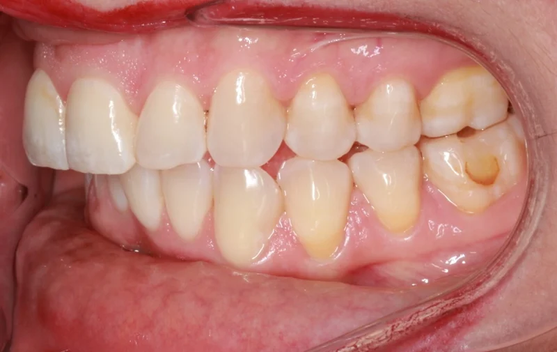
Case #72703 | 40 - 49 | Female

Patient Age 40 - 49
Gender Female
Treatment Clear Aligners

About This Case

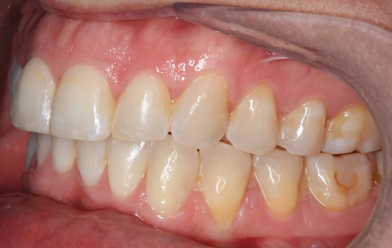
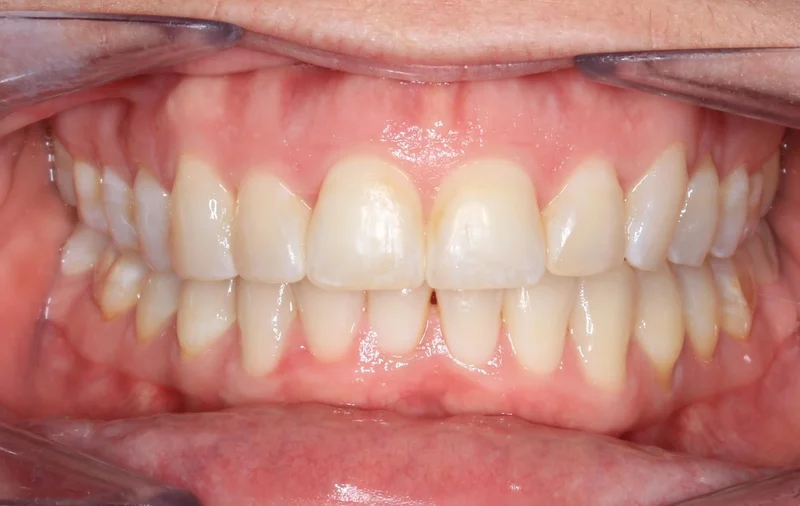
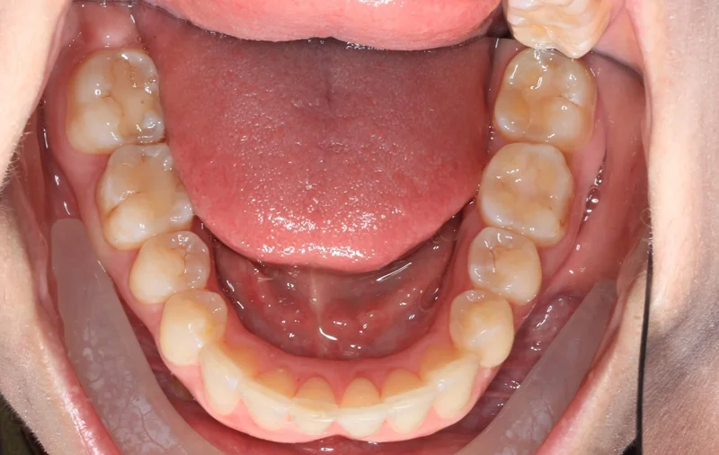
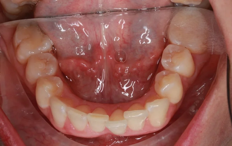
This Las Vegas Adult Female patient came to us with narrow upper and lower arches, a Class II bite on the left side only. Dr. Benson treated her with Clear Aligners with elastics to correct her bite. She completed her treatment in 24 months, and we are very happy with her results!

Before & After Photos

Facial Smiling

Facial Smiling - Before Treatment
Before
Facial Smiling - After Treatment
After

Lower

Lower - Before Treatment
Before
Lower - After Treatment
After

Center Bite

Center Bite - Before Treatment
Before
Center Bite - After Treatment
After

Left Side Bite

Left Side Bite - Before Treatment
Before
Left Side Bite - After Treatment
After

Treatments Used

  • Smile Arc Protection
  • Braces
  • Clear Braces
  • Metal Braces
  • Clear Aligners

*Individual results are not guaranteed and may vary from person to person. Images may contain models.

Dr. Saoly Benson

Dr. Saoly Benson

Free consult · up to 60 min
Children & Teens Clear Aligners Hidden Braces Smile Design Adult Treatment
Las Vegas 5.0 (600+ Google Reviews)
Board-certified | 13+ years | 0% financing | 25+ insurance plans
More about Dr. Benson →
Next available: Loading soonest slot...

When works best?

Pick a day that works

SunMonTueWedThuFriSat

Time with Dr. Benson — built around your case, not a clock.
Your consult ends with a written treatment plan, not a verbal quote.

We'll find you a time.

Call or text. A human being here in Las Vegas takes it from there.

Keep Exploring