The Art of Braces

Clear Braces Transformation

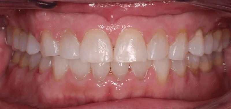
Case #72573 | over 60 | Female

Patient Age over 60
Gender Female
Treatment Clear Braces

About This Case

This Las Vegas Adult Female patient came to us with generalized spacing, and an edge to edge bite. The bite problem combined with her history of Bruxism (grinding) has led to the excessive wear on her teeth. Dr. Benson treated her with Clear braces for 21 months. We are excited that she now has positive overjet that will help prevent future wearing of her front teeth.

Before & After Photos

Facial Smiling

Facial Smiling - Before Treatment
Before
Facial Smiling - After Treatment
After

Center Bite

Center Bite - Before Treatment
Before
Center Bite - After Treatment
After

Treatments Used

  • Smile Arc Protection
  • Braces
  • Clear Braces
  • Metal Braces
  • Clear Aligners

*Individual results are not guaranteed and may vary from person to person. Images may contain models.

Dr. Saoly Benson

Dr. Saoly Benson

Free consult · up to 60 min
Children & Teens Clear Aligners Hidden Braces Smile Design Adult Treatment
Las Vegas 5.0 (600+ Google Reviews)
Board-certified | 13+ years | 0% financing | 25+ insurance plans
More about Dr. Benson →
Next available: Loading soonest slot...

When works best?

Pick a day that works

SunMonTueWedThuFriSat

Time with Dr. Benson — built around your case, not a clock.
Your consult ends with a written treatment plan, not a verbal quote.

We'll find you a time.

Call or text. A human being here in Las Vegas takes it from there.

Keep Exploring