The Art of Braces

Metal Braces Transformation

Case #71572 | 30 - 39 | Female

Patient Age 30 - 39
Gender Female
Treatment Metal Braces

About This Case

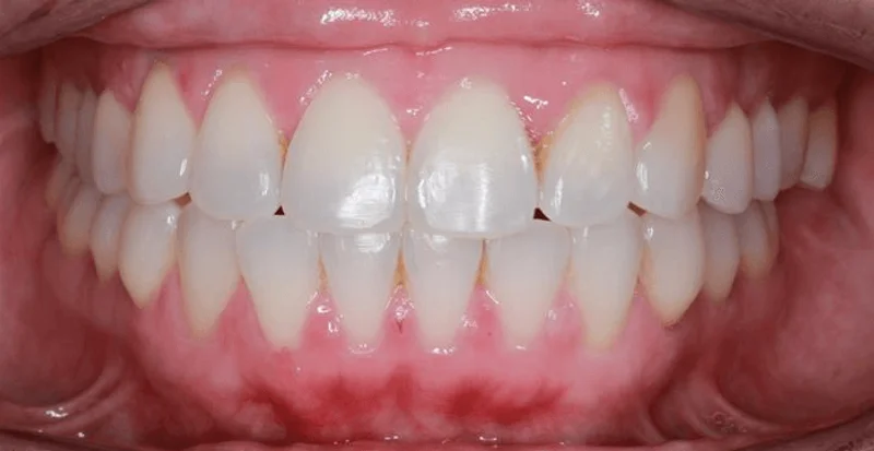
This Las Vegas Adult Female patient came to us with anterior teeth in crossbite, and protrusive teeth upper and lower. Dr. Benson treated her with Pitts 21 metal braces for 17 months. We are very pleased with her new beautiful smile!

Before & After Photos

Facial Smiling

Facial Smiling - Before Treatment
Before
Facial Smiling - After Treatment
After

Center Bite

Center Bite - Before Treatment
Before
Center Bite - After Treatment
After

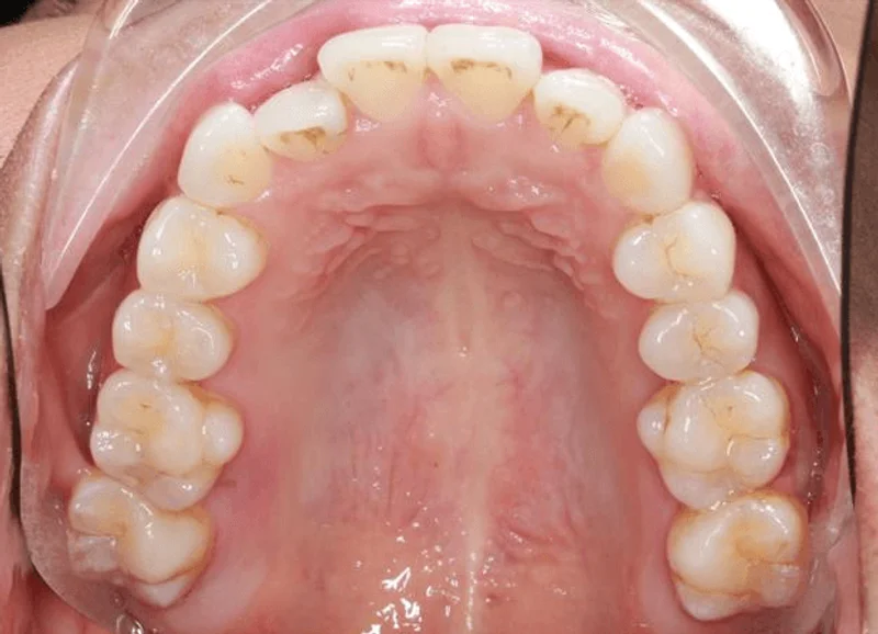
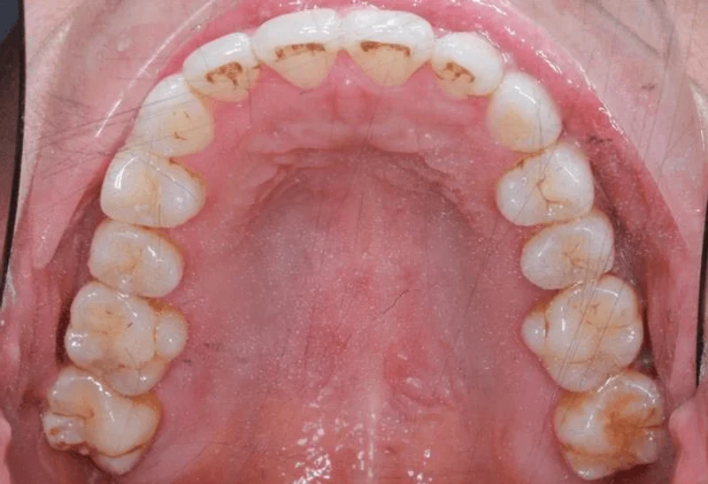
Occlusal Upper

Occlusal Upper - Before Treatment
Before
Occlusal Upper - After Treatment
After

Treatments Used

  • Smile Arc Protection
  • Braces
  • Clear Braces
  • Metal Braces
  • Clear Aligners

*Individual results are not guaranteed and may vary from person to person. Images may contain models.

Dr. Saoly Benson

Dr. Saoly Benson

Free consult · up to 60 min
Children & Teens Clear Aligners Hidden Braces Smile Design Adult Treatment
Las Vegas 5.0 (600+ Google Reviews)
Board-certified | 13+ years | 0% financing | 25+ insurance plans
More about Dr. Benson →
Next available: Loading soonest slot...

When works best?

Pick a day that works

SunMonTueWedThuFriSat

Time with Dr. Benson — built around your case, not a clock.
Your consult ends with a written treatment plan, not a verbal quote.

We'll find you a time.

Call or text. A human being here in Las Vegas takes it from there.

Keep Exploring