The Art of Braces

Metal Braces Transformation

Case #68774 | 11 - 17 | Female

Patient Age 11 - 17
Gender Female
Treatment Metal Braces

About This Case

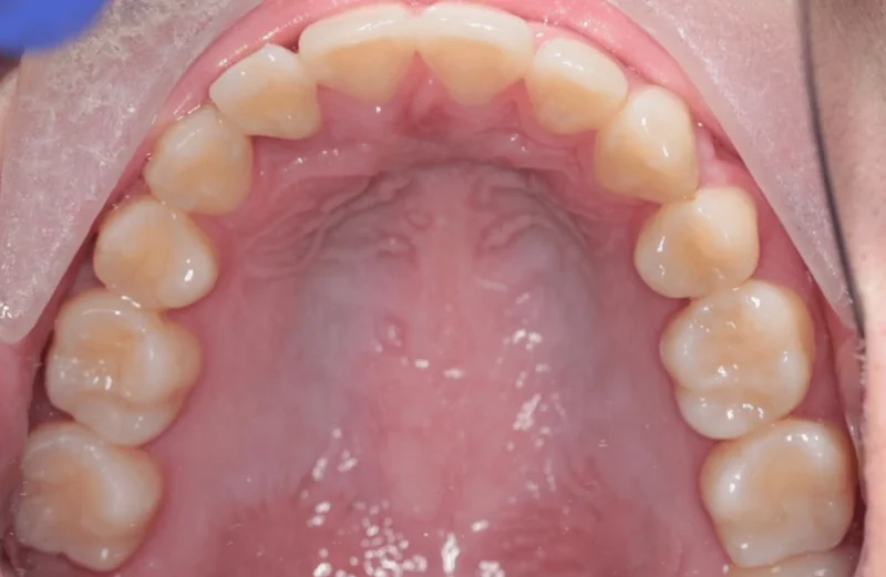
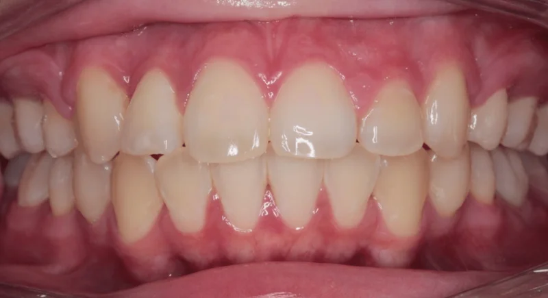
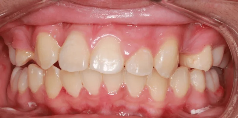
This Las Vegas teen female patient came to us after beginning her orthodontic treatment at another office. She had already had the surgical procedure to expose and bond the impacted Upper Right Lateral Incisor, and had 2 premolars extracted on the upper, but enough space had not been made to begin bringing the tooth down. Dr. Benson changed her brackets to Pitts 21 brackets, and immediately started to create space to bring down the impacted tooth. We were able to complete her treatment in 18 months, and we are just as excited as the patient about her gorgeous new smile.

Before & After Photos

Smiling

Smiling - Before Treatment
Before
Smiling - After Treatment
After

Center Bite

Center Bite - Before Treatment
Before
Center Bite - After Treatment
After

Upper Occlusal

Upper Occlusal - Before Treatment
Before
Upper Occlusal - After Treatment
After

Treatments Used

  • Smile Arc Protection
  • Braces
  • Clear Braces
  • Metal Braces
  • Clear Aligners

*Individual results are not guaranteed and may vary from person to person. Images may contain models.

Dr. Saoly Benson

Dr. Saoly Benson

Free consult · up to 60 min
Children & Teens Clear Aligners Hidden Braces Smile Design Adult Treatment
Las Vegas 5.0 (600+ Google Reviews)
Board-certified | 13+ years | 0% financing | 25+ insurance plans
More about Dr. Benson →
Next available: Loading soonest slot...

When works best?

Pick a day that works

SunMonTueWedThuFriSat

Time with Dr. Benson — built around your case, not a clock.
Your consult ends with a written treatment plan, not a verbal quote.

We'll find you a time.

Call or text. A human being here in Las Vegas takes it from there.

Keep Exploring