The Art of Braces

Invisible Braces Transformation

Case #68764 | 30 - 39 | Female

Patient Age 30 - 39
Gender Female
Treatment Invisible Braces

About This Case

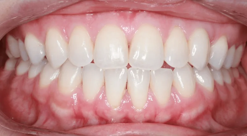
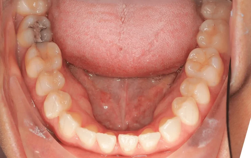
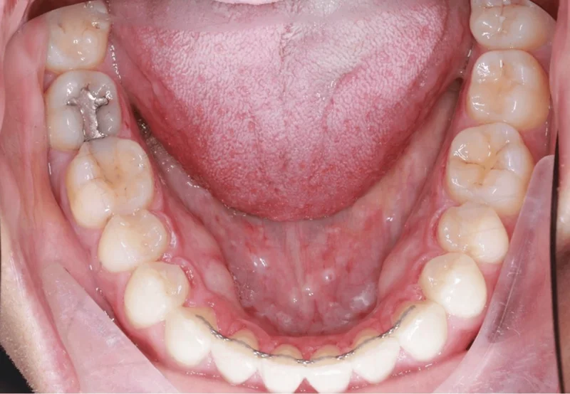
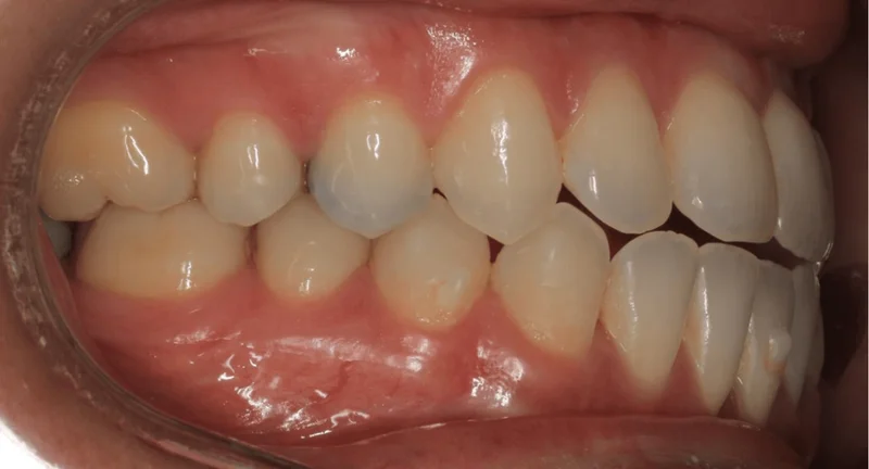
This adult female patient came to us after having tried to complete her treatment with Invisalign. Like many patients, Invisalign just didn't work with her lifestyle. This patient was edge to edge with a slight anterior open bite and spacing due to her tongue thrust habit. Dr. Benson recommended using InSmile™ Hidden braces to close her spaces, close her bite, and correct the tongue thrust habit without the need to use any additional appliances. This patient was originally quoted 12 months of treatment, however, she was so happy with the results after just 5 months of treatment, that she was ready to get her braces off. We bonded Hidden retainers upper and lower at the patient's request. (Dr. Benson would have liked to continue treatment to get some additional improvement, but the patient was completing her Master's Degree in another state and requested to discontinue when we did).

Before & After Photos

Center Bite

Center Bite - Before Treatment
Before
Center Bite - After Treatment
After

Right Side Bite

Right Side Bite - Before Treatment
Before
Right Side Bite - After Treatment
After

Lower Occlusal

Lower Occlusal - Before Treatment
Before
Lower Occlusal - After Treatment
After

Treatments Used

  • Smile Arc Protection
  • Braces
  • Clear Braces
  • Metal Braces
  • Clear Aligners

*Individual results are not guaranteed and may vary from person to person. Images may contain models.

Dr. Saoly Benson

Dr. Saoly Benson

Free consult · up to 60 min
Children & Teens Clear Aligners Hidden Braces Smile Design Adult Treatment
Las Vegas 5.0 (600+ Google Reviews)
Board-certified | 13+ years | 0% financing | 25+ insurance plans
More about Dr. Benson →
Next available: Loading soonest slot...

When works best?

Pick a day that works

SunMonTueWedThuFriSat

Time with Dr. Benson — built around your case, not a clock.
Your consult ends with a written treatment plan, not a verbal quote.

We'll find you a time.

Call or text. A human being here in Las Vegas takes it from there.

Keep Exploring