The Art of Braces

Metal Braces Transformation

Case #64535 | 18 - 29 | Male

Patient Age 18 - 29
Gender Male
Treatment Metal Braces

About This Case

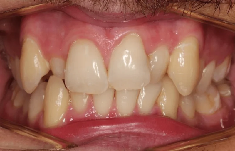
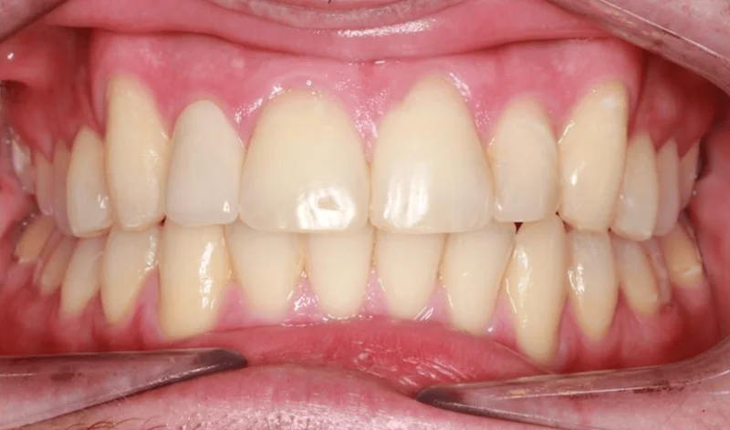
This Las Vegas Adult Male came to us with severe crowding, and multiple teeth in crossbite. Due to his crossbite, he had worn down his upper right lateral incisor, and it was proportionally smaller than the left lateral incisor. Dr. Benson treated this patient with traditional metal braces, and everyone is thrilled with his results. His treatment took a total of 34 months. After his braces were removed, we whitened his teeth with Opalescence Boost, and he had a crown placed on the upper right lateral incisor to fix the size discrepancy.

Before & After Photos

Center Bite

Center Bite - Before Treatment
Before
Center Bite - After Treatment
After

Treatments Used

  • Smile Arc Protection
  • Braces
  • Clear Braces
  • Metal Braces
  • Clear Aligners

*Individual results are not guaranteed and may vary from person to person. Images may contain models.

Dr. Saoly Benson

Dr. Saoly Benson

Free consult · up to 60 min
Children & Teens Clear Aligners Hidden Braces Smile Design Adult Treatment
Las Vegas 5.0 (600+ Google Reviews)
Board-certified | 13+ years | 0% financing | 25+ insurance plans
More about Dr. Benson →
Next available: Loading soonest slot...

When works best?

Pick a day that works

SunMonTueWedThuFriSat

Time with Dr. Benson — built around your case, not a clock.
Your consult ends with a written treatment plan, not a verbal quote.

We'll find you a time.

Call or text. A human being here in Las Vegas takes it from there.

Keep Exploring