The Art of Braces

Carriere Correction Appliance Transformation

Case #59837 | 18 - 29 | Female

Patient Age 18 - 29
Gender Female
Treatment Carriere Correction Appliance

About This Case

This Las Vegas Adult Female Patient came to us with moderate crowding both upper and lower, and a Class II bite with severe overjet. Dr. Benson began treating her with a Carriere Motion Appliance for the first 6 months, then transitioned her into Pitts 21 brackets for the remaining 11 months of treatment. She finished 1 month ahead of schedule, and we are thrilled with her results. She now has a youthful smile that will last her lifetime (with good retainer wear).

Before & After Photos

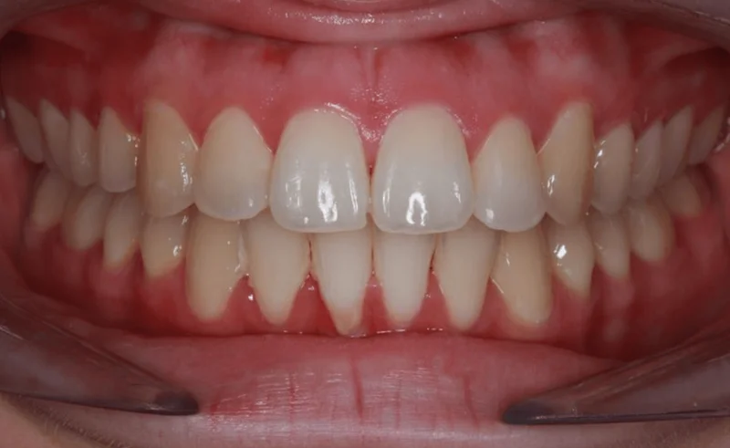
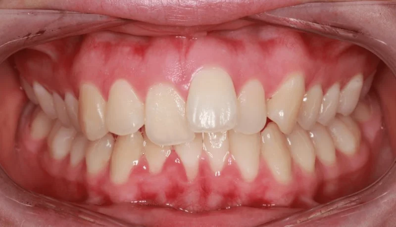
Center Bite

Center Bite - Before Treatment
Before
Center Bite - After Treatment
After

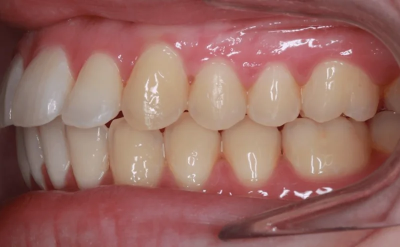
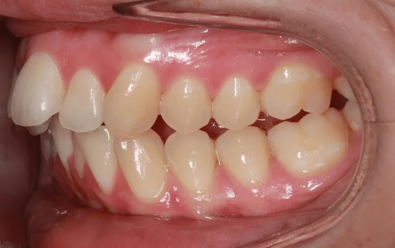
Left Bite

Left Bite - Before Treatment
Before
Left Bite - After Treatment
After

Treatments Used

  • Smile Arc Protection
  • Braces
  • Clear Braces
  • Metal Braces
  • Clear Aligners

*Individual results are not guaranteed and may vary from person to person. Images may contain models.

Dr. Saoly Benson

Dr. Saoly Benson

Free consult · up to 60 min
Children & Teens Clear Aligners Hidden Braces Smile Design Adult Treatment
Las Vegas 5.0 (600+ Google Reviews)
Board-certified | 13+ years | 0% financing | 25+ insurance plans
More about Dr. Benson →
Next available: Tuesday, May 12 · 10:00am

When works best?

Pick a day that works

SunMonTueWedThuFriSat

Time with Dr. Benson — built around your case, not a clock.
Your consult ends with a written treatment plan, not a verbal quote.

We'll find you a time.

Call or text. A human being here in Las Vegas takes it from there.

Keep Exploring