The Art of Braces

Metal Braces Transformation

Case #59665 | 11 - 17 | Male

Patient Age 11 - 17
Gender Male
Treatment Metal Braces

About This Case

This Las Vegas Teen Male Patient came to us with moderate crowding, moderate overbite, and moderate deep bite. Dr. Benson treated him with metal Pitts 21 brackets, and he completed his treatment in 16 months. We are so happy with the improvement in his smile and his confidence!

Before & After Photos

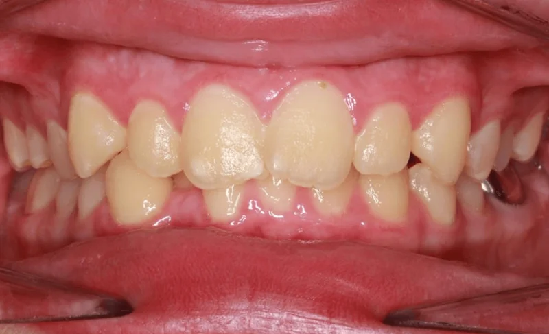
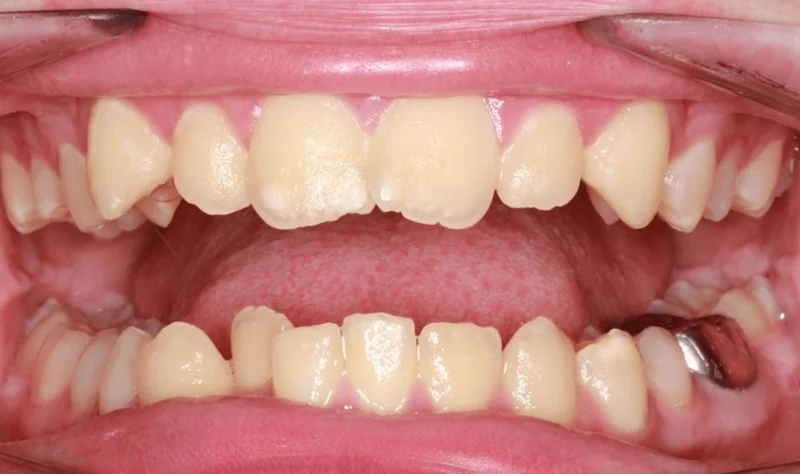
Center Bite

Center Bite - Before Treatment
Before
Center Bite - After Treatment
After

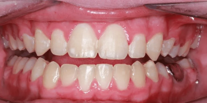
Center Open Smile

Center Open Smile - Before Treatment
Before
Center Open Smile - After Treatment
After

Treatments Used

  • Smile Arc Protection
  • Braces
  • Clear Braces
  • Metal Braces
  • Clear Aligners

*Individual results are not guaranteed and may vary from person to person. Images may contain models.

Dr. Saoly Benson

Dr. Saoly Benson

Free consult · up to 60 min
Children & Teens Clear Aligners Hidden Braces Smile Design Adult Treatment
Las Vegas 5.0 (600+ Google Reviews)
Board-certified | 13+ years | 0% financing | 25+ insurance plans
More about Dr. Benson →
Next available: Loading soonest slot...

When works best?

Pick a day that works

SunMonTueWedThuFriSat

Time with Dr. Benson — built around your case, not a clock.
Your consult ends with a written treatment plan, not a verbal quote.

We'll find you a time.

Call or text. A human being here in Las Vegas takes it from there.

Keep Exploring