The Art of Braces

Clear Braces Transformation

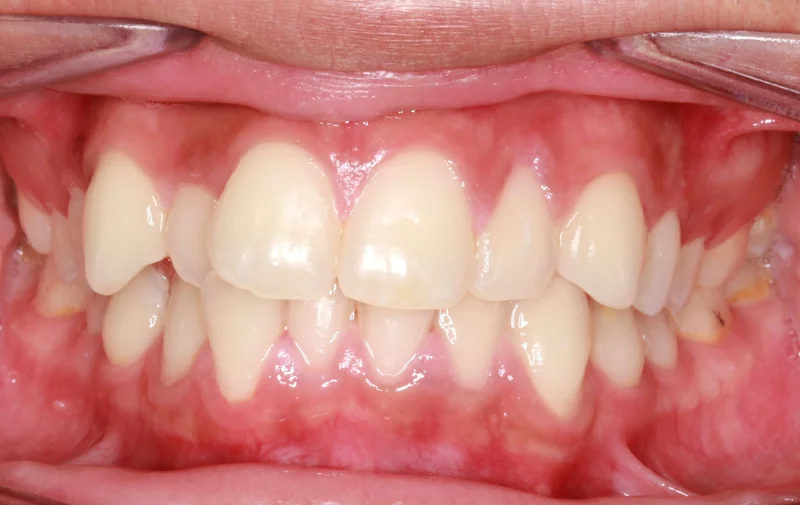
Case #53871 | 18 - 29 | Female

Patient Age 18 - 29
Gender Female
Treatment Clear Braces

About This Case

This Las Vegas Adult Female patient came to us with moderate crowding in both upper and lower jaws. Dr. Benson is treating her with clear/ceramic braces, and in just 5 short months we have corrected the crowding in the lower jaw. We are still correcting the crowding in the upper jaw, and are excited to see her final smile.

Before & After Photos

Facial Smiling

Facial Smiling - Before Treatment
Before
Facial Smiling - After Treatment
After

Center Smile

Center Smile - Before Treatment
Before
Center Smile - After Treatment
After

Treatments Used

  • Smile Arc Protection
  • Braces
  • Clear Braces
  • Metal Braces
  • Clear Aligners

*Individual results are not guaranteed and may vary from person to person. Images may contain models.

Dr. Saoly Benson

Dr. Saoly Benson

Free consult · up to 60 min
Children & Teens Clear Aligners Hidden Braces Smile Design Adult Treatment
Las Vegas 5.0 (600+ Google Reviews)
Board-certified | 13+ years | 0% financing | 25+ insurance plans
More about Dr. Benson →
Next available: Loading soonest slot...

When works best?

Pick a day that works

SunMonTueWedThuFriSat

Time with Dr. Benson — built around your case, not a clock.
Your consult ends with a written treatment plan, not a verbal quote.

We'll find you a time.

Call or text. A human being here in Las Vegas takes it from there.

Keep Exploring