The Art of Braces

Clear Braces Transformation

Case #53180 | 30 - 39 | Female

Patient Age 30 - 39
Gender Female
Treatment Clear Braces

About This Case

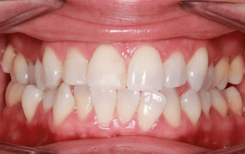
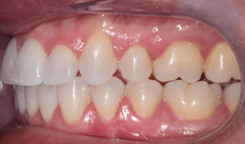
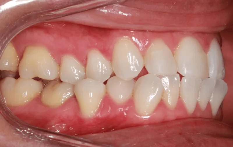
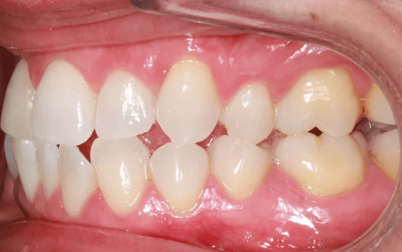
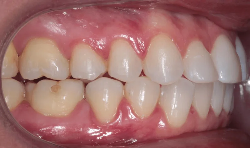
This Las Vegas Adult Female patient came to Dr. Benson with a narrow upper arch, crowding, and multiple teeth in crossbite. She was treated with Clear/Ceramic Braces, and her treatment took the estimated 18 months. We are so happy with her new bite, and her new smile!

Before & After Photos

Smiling

Smiling - Before Treatment
Before
Smiling - After Treatment
After

Center Bite

Center Bite - Before Treatment
Before
Center Bite - After Treatment
After

Right Side Bite

Right Side Bite - Before Treatment
Before
Right Side Bite - After Treatment
After

Left Side Bite

Left Side Bite - Before Treatment
Before
Left Side Bite - After Treatment
After

Treatments Used

  • Smile Arc Protection
  • Braces
  • Clear Braces
  • Metal Braces
  • Clear Aligners

*Individual results are not guaranteed and may vary from person to person. Images may contain models.

Dr. Saoly Benson

Dr. Saoly Benson

Free consult · up to 60 min
Children & Teens Clear Aligners Hidden Braces Smile Design Adult Treatment
Las Vegas 5.0 (600+ Google Reviews)
Board-certified | 13+ years | 0% financing | 25+ insurance plans
More about Dr. Benson →
Next available: Loading soonest slot...

When works best?

Pick a day that works

SunMonTueWedThuFriSat

Time with Dr. Benson — built around your case, not a clock.
Your consult ends with a written treatment plan, not a verbal quote.

We'll find you a time.

Call or text. A human being here in Las Vegas takes it from there.

Keep Exploring