The Art of Braces

Metal Braces Transformation

Case #53138 | 50 - 59 | Female

Patient Age 50 - 59
Gender Female
Treatment Metal Braces

About This Case

This Las Vegas Adult Female patient came to us after we started her daughter's treatment to begin her own journey to straight teeth. Dr. Benson is treating her with Clear/Ceramic braces on the upper teeth and Pitts 21 metal braces on the lower teeth (for a more aesthetic option). We completed her treatment in 15 months, and we could not be more pleased with her results!

Before & After Photos

Smiling

Smiling - Before Treatment
Before
Smiling - After Treatment
After

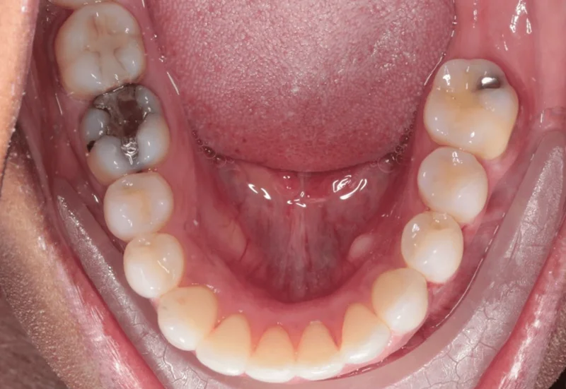
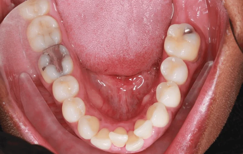
Lower Occlusal View

Lower Occlusal View - Before Treatment
Before
Lower Occlusal View - After Treatment
After

Treatments Used

  • Smile Arc Protection
  • Braces
  • Clear Braces
  • Metal Braces
  • Clear Aligners

*Individual results are not guaranteed and may vary from person to person. Images may contain models.

Dr. Saoly Benson

Dr. Saoly Benson

Free consult · up to 60 min
Children & Teens Clear Aligners Hidden Braces Smile Design Adult Treatment
Las Vegas 5.0 (600+ Google Reviews)
Board-certified | 13+ years | 0% financing | 25+ insurance plans
More about Dr. Benson →
Next available: Loading soonest slot...

When works best?

Pick a day that works

SunMonTueWedThuFriSat

Time with Dr. Benson — built around your case, not a clock.
Your consult ends with a written treatment plan, not a verbal quote.

We'll find you a time.

Call or text. A human being here in Las Vegas takes it from there.

Keep Exploring