The Art of Braces

Clear Braces Transformation

Case #52581 | 18 - 29 | Female

Patient Age 18 - 29
Gender Female
Treatment Clear Braces

About This Case

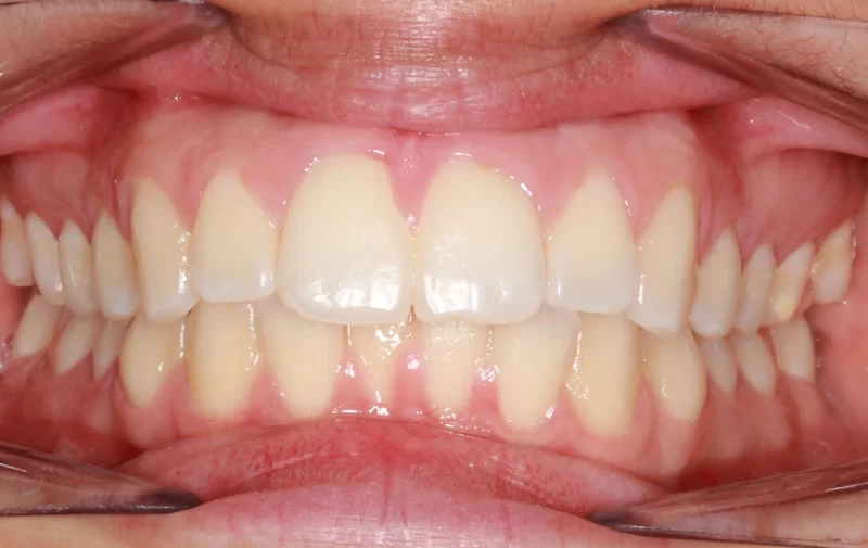
This Las Vegas Adult Female patient came to Dr. Benson for re-treatment. Her smile was already great as she had braces 10 years ago already, but she lost her retainers (like many of our adult patients). This caused her teeth to shift and she wanted to get her teeth perfect again. Her treatment took 1 year and is a perfect example of how a smile can transform from good to great! We were able to improve her smile arc so that it better matches the beautiful natural curve her lip. Now that is a showstopping smile!

Before & After Photos

Smiling

Smiling - Before Treatment
Before
Smiling - After Treatment
After

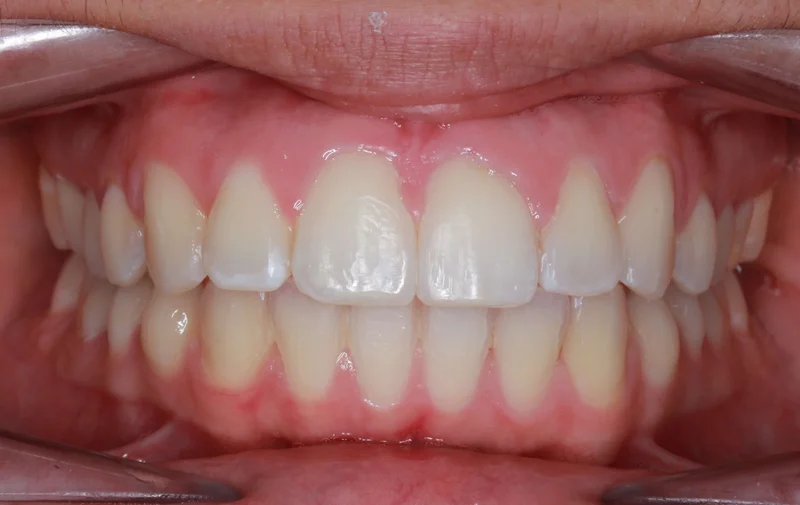
Center

Center - Before Treatment
Before
Center - After Treatment
After

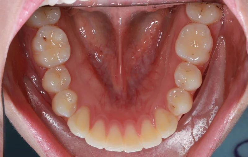
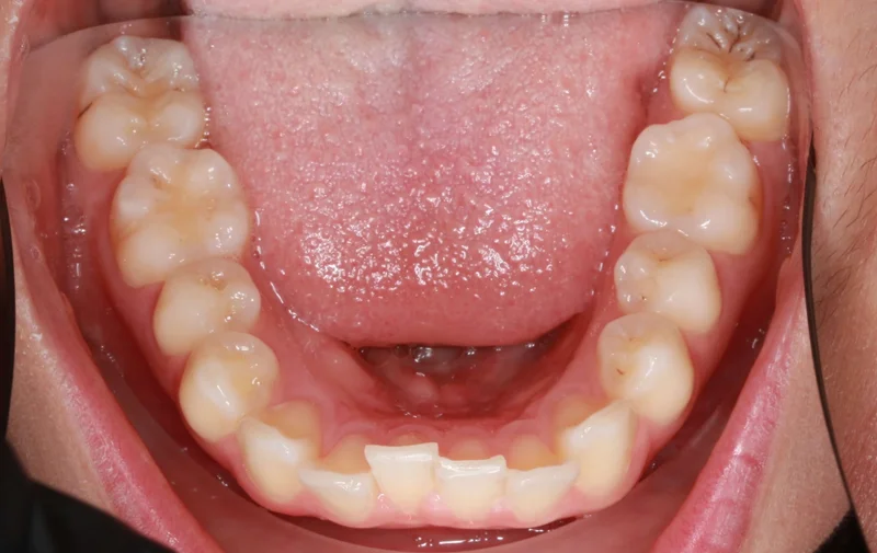
Lower

Lower - Before Treatment
Before
Lower - After Treatment
After

Treatments Used

  • Smile Arc Protection
  • Braces
  • Clear Braces
  • Metal Braces
  • Clear Aligners

*Individual results are not guaranteed and may vary from person to person. Images may contain models.

Dr. Saoly Benson

Dr. Saoly Benson

Free consult · up to 60 min
Children & Teens Clear Aligners Hidden Braces Smile Design Adult Treatment
Las Vegas 5.0 (600+ Google Reviews)
Board-certified | 13+ years | 0% financing | 25+ insurance plans
More about Dr. Benson →
Next available: Loading soonest slot...

When works best?

Pick a day that works

SunMonTueWedThuFriSat

Time with Dr. Benson — built around your case, not a clock.
Your consult ends with a written treatment plan, not a verbal quote.

We'll find you a time.

Call or text. A human being here in Las Vegas takes it from there.

Keep Exploring