The Art of Braces

Metal Braces Transformation

Case #51928 | 11 - 17 | Male

Patient Age 11 - 17
Gender Male
Treatment Metal Braces

About This Case

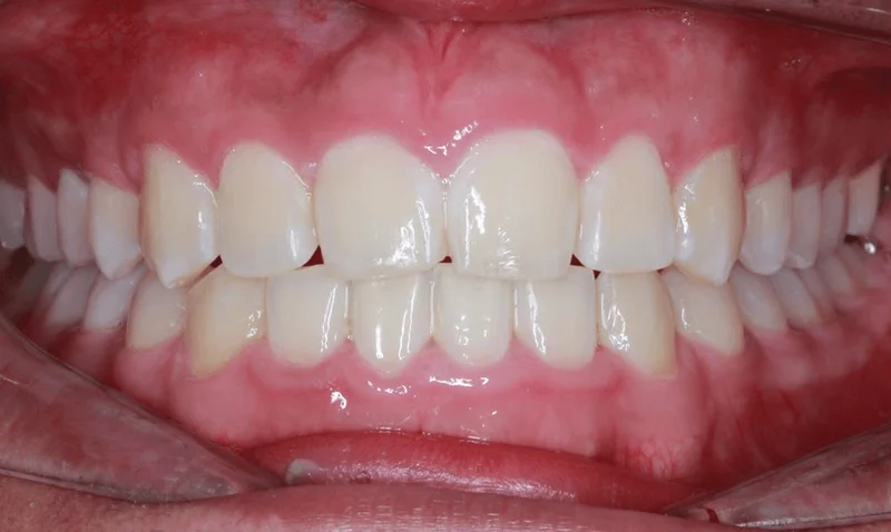
This Las Vegas Teen Male patient presented with both an Underbite and an Anterior Crossbite. Dr. Benson suggested using metal braces for the most control over the bite. His original estimated treatment time was 18 months, but we were able to finish his treatment early, in just 15 months.

Before & After Photos

Center Bite

Center Bite - Before Treatment
Before
Center Bite - After Treatment
After

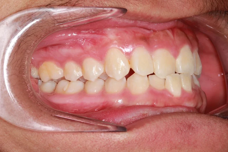
Buccal Right

Buccal Right - Before Treatment
Before
Buccal Right - After Treatment
After

Treatments Used

  • Smile Arc Protection
  • Braces
  • Clear Braces
  • Metal Braces
  • Clear Aligners

*Individual results are not guaranteed and may vary from person to person. Images may contain models.

Dr. Saoly Benson

Dr. Saoly Benson

Free consult · up to 60 min
Children & Teens Clear Aligners Hidden Braces Smile Design Adult Treatment
Las Vegas 5.0 (600+ Google Reviews)
Board-certified | 13+ years | 0% financing | 25+ insurance plans
More about Dr. Benson →
Next available: Loading soonest slot...

When works best?

Pick a day that works

SunMonTueWedThuFriSat

Time with Dr. Benson — built around your case, not a clock.
Your consult ends with a written treatment plan, not a verbal quote.

We'll find you a time.

Call or text. A human being here in Las Vegas takes it from there.

Keep Exploring