The Art of Braces

Metal Braces Transformation

Case #51927 | 0 - 10 | Female

Patient Age 0 - 10
Gender Female
Treatment Metal Braces

About This Case

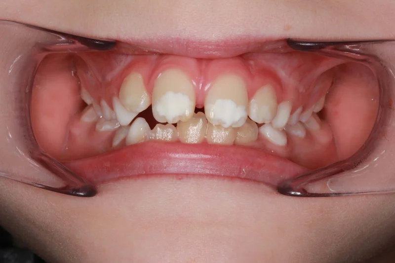
This Las Vegas Female Child patient's parent's chief concerns were protrusive front teeth and crowding. This patient is an athlete, and the teeth left as they were made them more prone to injury. Dr. Benson determined that she would be an excellent candidate for Phase I (Early Interventive) Treatment. We began treating the upper teeth only for the first 5 months to open her bite before bonding the lower braces. She completed her Phase I treatment in 16 months.

Before & After Photos

Center Bite

Center Bite - Before Treatment
Before
Center Bite - After Treatment
After

Right Side Bite

Right Side Bite - Before Treatment
Before
Right Side Bite - After Treatment
After

Treatments Used

  • Smile Arc Protection
  • Braces
  • Clear Braces
  • Metal Braces
  • Clear Aligners

*Individual results are not guaranteed and may vary from person to person. Images may contain models.

Dr. Saoly Benson

Dr. Saoly Benson

Free consult · up to 60 min
Children & Teens Clear Aligners Hidden Braces Smile Design Adult Treatment
Las Vegas 5.0 (600+ Google Reviews)
Board-certified | 13+ years | 0% financing | 25+ insurance plans
More about Dr. Benson →
Next available: Loading soonest slot...

When works best?

Pick a day that works

SunMonTueWedThuFriSat

Time with Dr. Benson — built around your case, not a clock.
Your consult ends with a written treatment plan, not a verbal quote.

We'll find you a time.

Call or text. A human being here in Las Vegas takes it from there.

Keep Exploring