The Art of Braces

Metal Braces Transformation

Case #51572 | 50 - 59 | Female

Patient Age 50 - 59
Gender Female
Treatment Metal Braces

About This Case

This patient previously had orthodontic treatment as a teenager and noticed that her smile was getting narrower and more collapsed as she got older. After 1 year in metal braces, she regained a beautiful smile arc for a more youthful, wider, and brighter smile!

Before & After Photos

Smiling

Smiling - Before Treatment
Before
Smiling - After Treatment
After

Upper View

Upper View - Before Treatment
Before
Upper View - After Treatment
After

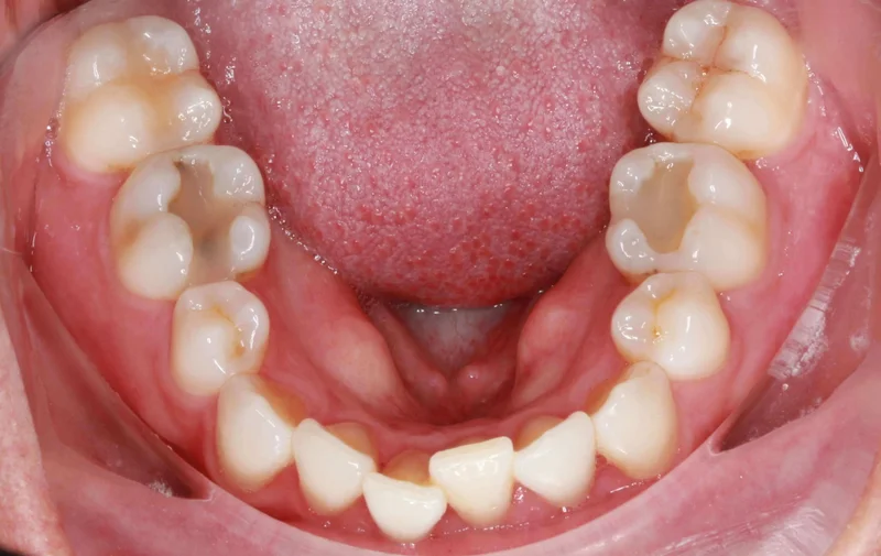
Lower View

Lower View - Before Treatment
Before
Lower View - After Treatment
After

Treatments Used

  • Smile Arc Protection
  • Braces
  • Clear Braces
  • Metal Braces
  • Clear Aligners

*Individual results are not guaranteed and may vary from person to person. Images may contain models.

Dr. Saoly Benson

Dr. Saoly Benson

Free consult · up to 60 min
Children & Teens Clear Aligners Hidden Braces Smile Design Adult Treatment
Las Vegas 5.0 (600+ Google Reviews)
Board-certified | 13+ years | 0% financing | 25+ insurance plans
More about Dr. Benson →
Next available: Loading soonest slot...

When works best?

Pick a day that works

SunMonTueWedThuFriSat

Time with Dr. Benson — built around your case, not a clock.
Your consult ends with a written treatment plan, not a verbal quote.

We'll find you a time.

Call or text. A human being here in Las Vegas takes it from there.

Keep Exploring