The Art of Braces

Metal Braces Transformation

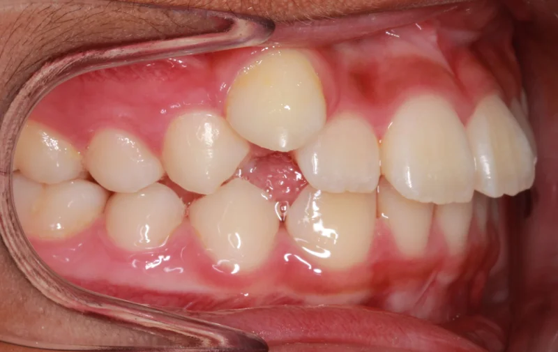
Case #47578 | Unknown | Female

Patient Age Unknown
Gender Female
Treatment Metal Braces

About This Case

This 11 year old patient presented with severe crowding and an uneven smile. Her total estimated treatment time is 18 months but she has already made tremendous progress in just 8 short months and will likely finish early.

Before & After Photos

Upper Arch

Upper Arch - Before Treatment
Before
Upper Arch - After Treatment
After

Right side view

Right side view - Before Treatment
Before
Right side view - After Treatment
After

Treatments Used

  • Smile Arc Protection
  • Braces
  • Clear Braces
  • Metal Braces
  • Clear Aligners

*Individual results are not guaranteed and may vary from person to person. Images may contain models.

Dr. Saoly Benson

Dr. Saoly Benson

Free consult · up to 60 min
Children & Teens Clear Aligners Hidden Braces Smile Design Adult Treatment
Las Vegas 5.0 (600+ Google Reviews)
Board-certified | 13+ years | 0% financing | 25+ insurance plans
More about Dr. Benson →
Next available: Loading soonest slot...

When works best?

Pick a day that works

SunMonTueWedThuFriSat

Time with Dr. Benson — built around your case, not a clock.
Your consult ends with a written treatment plan, not a verbal quote.

We'll find you a time.

Call or text. A human being here in Las Vegas takes it from there.

Keep Exploring