The Art of Braces

Metal Braces Transformation

Case #42723 | 11 - 17 | Female

Patient Age 11 - 17
Gender Female
Treatment Metal Braces

About This Case

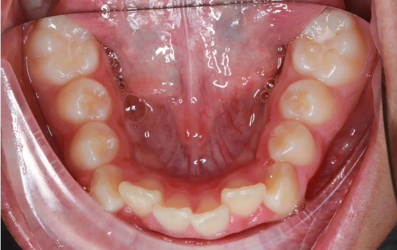
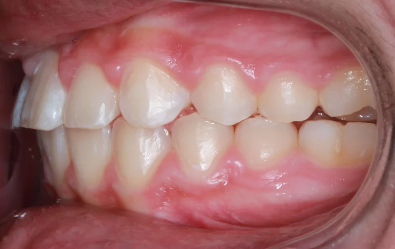
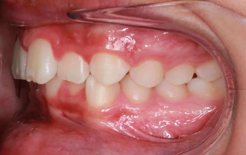
This Las Vegas teen patient presented with a moderate amount of crowding as well as deep bite and slight overbite. With proper treatment and good patient cooperation, her overbite has been corrected after 17 months of total treatment time!

Before & After Photos

Left Buccal View

Left Buccal View - Before Treatment
Before
Left Buccal View - After Treatment
After

Lower Occlusal View

Lower Occlusal View - Before Treatment
Before
Lower Occlusal View - After Treatment
After

Upper Occlusal View

Upper Occlusal View - Before Treatment
Before
Upper Occlusal View - After Treatment
After

Treatments Used

  • Smile Arc Protection
  • Braces
  • Clear Braces
  • Metal Braces
  • Clear Aligners

*Individual results are not guaranteed and may vary from person to person. Images may contain models.

Dr. Saoly Benson

Dr. Saoly Benson

Free consult · up to 60 min
Children & Teens Clear Aligners Hidden Braces Smile Design Adult Treatment
Las Vegas 5.0 (600+ Google Reviews)
Board-certified | 13+ years | 0% financing | 25+ insurance plans
More about Dr. Benson →
Next available: Loading soonest slot...

When works best?

Pick a day that works

SunMonTueWedThuFriSat

Time with Dr. Benson — built around your case, not a clock.
Your consult ends with a written treatment plan, not a verbal quote.

We'll find you a time.

Call or text. A human being here in Las Vegas takes it from there.

Keep Exploring