The Art of Braces

Metal Braces Transformation

Case #42722 | 18 - 29 | Female

Patient Age 18 - 29
Gender Female
Treatment Metal Braces

About This Case

This Las Vegas adult female patient presented with a chief concern of flared and protrusive teeth. She also has a noticeably gummy smile. After only 6 months of progress, the flaring of her teeth has significantly improved as well as an improvement in her gummy smile.

Before & After Photos

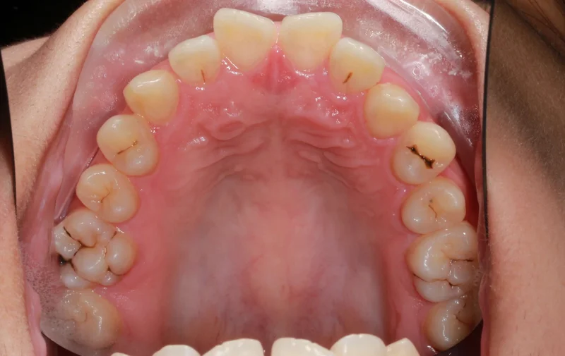
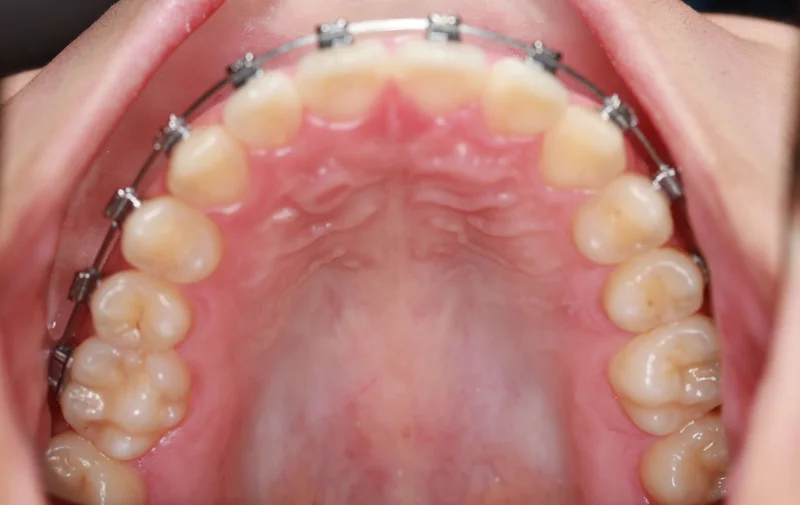
Upper Occlusal View

Upper Occlusal View - Before Treatment
Before
Upper Occlusal View - After Treatment
After

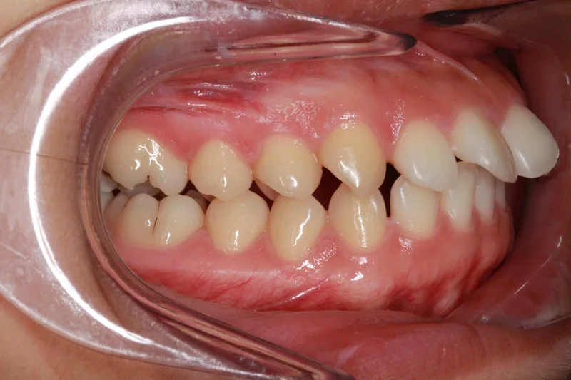
Right Buccal View

Right Buccal View - Before Treatment
Before
Right Buccal View - After Treatment
After

Treatments Used

  • Smile Arc Protection
  • Braces
  • Clear Braces
  • Metal Braces
  • Clear Aligners

*Individual results are not guaranteed and may vary from person to person. Images may contain models.

Dr. Saoly Benson

Dr. Saoly Benson

Free consult · up to 60 min
Children & Teens Clear Aligners Hidden Braces Smile Design Adult Treatment
Las Vegas 5.0 (600+ Google Reviews)
Board-certified | 13+ years | 0% financing | 25+ insurance plans
More about Dr. Benson →
Next available: Loading soonest slot...

When works best?

Pick a day that works

SunMonTueWedThuFriSat

Time with Dr. Benson — built around your case, not a clock.
Your consult ends with a written treatment plan, not a verbal quote.

We'll find you a time.

Call or text. A human being here in Las Vegas takes it from there.

Keep Exploring